Telefon:
+49 (0)241 95 163 153
Fax:
+49 (0)241 95 163 155
E-Mail:
orders@antikoerper-online.de

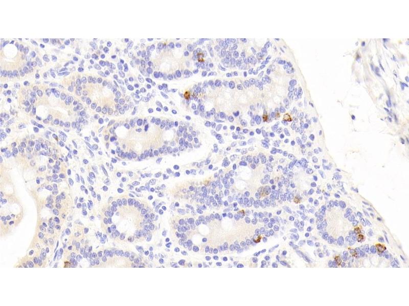
CTGF Antikörper (AA 248-349)

Dieser Kaninchen Polyklonal Antikörper detektiert spezifisch CTGF in WB, IHC, IP und ICC. Es zeigt Reaktivität gegenüber Proben von Human.
Produktnummer ABIN7430348
263,88 €
Zzgl. Versandkosten 20,00 € und MwSt
Lieferung nach: Deutschland
Lieferung in 11 bis 15 Werktagen

Kurzübersicht für CTGF Antikörper (AA 248-349) (ABIN7430348)

Target

Alle CTGF Antikörper anzeigen
CTGF (Connective Tissue Growth Factor (CTGF))

Reaktivität

  • 125
  • 58
  • 51
  • 8
  • 4
  • 3
  • 2
  • 1
Human

Wirt

  • 120
  • 44
  • 3
  • 3
  • 2
Kaninchen

Klonalität

  • 123
  • 49
Polyklonal

Konjugat

  • 89
  • 28
  • 19
  • 6
  • 6
  • 5
  • 2
  • 1
  • 1
  • 1
  • 1
  • 1
  • 1
  • 1
  • 1
  • 1
  • 1
  • 1
  • 1
  • 1
  • 1
  • 1
  • 1
  • 1
Dieser CTGF Antikörper ist unkonjugiert

Applikation

  • 132
  • 82
  • 54
  • 40
  • 35
  • 18
  • 18
  • 16
  • 13
  • 13
  • 13
  • 5
  • 3
  • 3
  • 3
  • 3
  • 3
  • 2
  • 1
Western Blotting (WB), Immunohistochemistry (IHC), Immunoprecipitation (IP), Immunocytochemistry (ICC)
  • Bindungsspezifität

    • 16
    • 13
    • 8
    • 7
    • 6
    • 6
    • 6
    • 5
    • 4
    • 4
    • 3
    • 3
    • 3
    • 3
    • 2
    • 2
    • 2
    • 2
    • 2
    • 2
    • 2
    • 2
    • 2
    • 1
    • 1
    • 1
    • 1
    • 1
    • 1
    • 1
    AA 248-349

    Verwendungszweck

    Polyclonal Antibody to Connective Tissue Growth Factor (CTGF)

    Spezifität

    The antibody is a rabbit polyclonal antibody raised against CTGF. It has been selected for its ability to recognize CTGF in immunohistochemical staining and western blotting.

    Kreuzreaktivität

    Maus, Schwein, Ratte

    Aufreinigung

    Antigen-specific affinity chromatography followed by Protein A affinity chromatography

    Immunogen

    Recombinant Connective Tissue Growth Factor (CTGF) corresdonding to Glu248~Ala349 (Accession # P29279)

    Isotyp

    IgG
  • Applikationshinweise

    Western blotting: 0.01-2 μg/mL,Immunohistochemistry: 5-20 μg/mL,Immunocytochemistry: 5-20 μg/mL,Optimal working dilutions must be determined by end user.

    Kommentare

    The thermal stability is described by the loss rate. The loss rate was determined by accelerated thermal degradation test, that is, incubate the protein at 37°C for 48h, and no obvious degradation and precipitation were observed. The loss rate is less than 5% within the expiration date under appropriate storage condition.

    Beschränkungen

    Nur für Forschungszwecke einsetzbar
  • Format

    Liquid

    Konzentration

    0.32 mg/mL

    Buffer

    PBS, pH 7.4, containing 0.02 % Sodium azide, 50 % glycerol.

    Konservierungsmittel

    Sodium azide

    Vorsichtsmaßnahmen

    This product contains Sodium azide: a POISONOUS AND HAZARDOUS SUBSTANCE which should be handled by trained staff only.

    Lagerung

    4 °C,-20 °C

    Informationen zur Lagerung

    Store at 4°C for frequent use. Stored at -20°C in a manual defrost freezer for two year without detectable loss of activity. Avoid repeated freeze-thaw cycles.

    Haltbarkeit

    24 months
  • Target

    CTGF (Connective Tissue Growth Factor (CTGF))

    Andere Bezeichnung

    CTGF

    Hintergrund

    CCN2, HCS24, IGFBP8, NOV2, Insulin-Like Growth Factor-Binding Protein 8, Hypertrophic Chondrocyte-Specific Protein 24, CCN Family Member 2

    UniProt

    P29279

    Pathways

    Regulation of Lipid Metabolism by PPARalpha, Positive Regulation of Endopeptidase Activity, Growth Factor Binding
Sie sind hier:
Chat with us!