Telefon:
+49 (0)241 95 163 153
Fax:
+49 (0)241 95 163 155
E-Mail:
orders@antikoerper-online.de

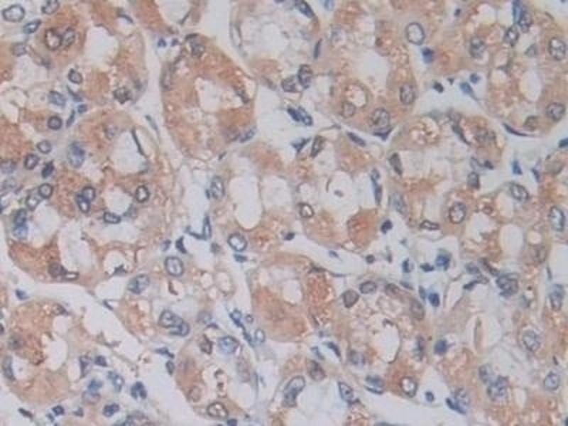
ADAM17 Antikörper (AA 226-473)

Der Maus Monoklonal anti-ADAM17 Antikörper (Klon C7) (ABIN7426310) detektiert spezifisch ADAM17 in WB und IHC. Dieser Antikörper reagiert spezifisch mit Proben aus Human.
Produktnummer ABIN7426310
270,55 €
Zzgl. Versandkosten 20,00 € und MwSt
Lieferung nach: Deutschland
Lieferung in 11 bis 15 Werktagen

Kurzübersicht für ADAM17 Antikörper (AA 226-473) (ABIN7426310)

Target

Alle ADAM17 Antikörper anzeigen
ADAM17 (ADAM Metallopeptidase Domain 17 (ADAM17))

Reaktivität

  • 135
  • 63
  • 58
  • 3
  • 3
  • 3
  • 1
Human

Wirt

  • 100
  • 26
  • 6
  • 5
  • 1
  • 1
Maus

Klonalität

  • 82
  • 57
Monoklonal

Konjugat

  • 66
  • 9
  • 9
  • 8
  • 7
  • 3
  • 3
  • 3
  • 3
  • 3
  • 3
  • 3
  • 2
  • 1
  • 1
  • 1
  • 1
  • 1
  • 1
  • 1
  • 1
  • 1
  • 1
  • 1
  • 1
  • 1
  • 1
  • 1
  • 1
  • 1
Dieser ADAM17 Antikörper ist unkonjugiert

Applikation

  • 97
  • 54
  • 49
  • 24
  • 23
  • 17
  • 15
  • 15
  • 15
  • 11
  • 4
  • 4
  • 3
  • 3
  • 1
Western Blotting (WB), Immunohistochemistry (IHC)

Klon

C7
  • Bindungsspezifität

    • 16
    • 8
    • 8
    • 7
    • 6
    • 5
    • 5
    • 4
    • 3
    • 3
    • 2
    • 2
    • 2
    • 2
    • 2
    • 1
    • 1
    • 1
    • 1
    • 1
    • 1
    • 1
    • 1
    • 1
    • 1
    • 1
    • 1
    • 1
    • 1
    AA 226-473

    Verwendungszweck

    Monoclonal Antibody to A Disintegrin And Metalloprotease 17 (ADAM17)

    Spezifität

    The antibody is a mouse monoclonal antibody raised against ADAM17. It has been selected for its ability to recognize ADAM17 in immunohistochemical staining and western blotting.

    Kreuzreaktivität

    Maus, Ratte

    Aufreinigung

    Protein A + Protein G affinity chromatography

    Immunogen

    Recombinant A Disintegrin And Metalloprotease 17 (ADAM17) corresdonding to Lys226~Arg473 with N-terminal His Tag

    Isotyp

    IgG1 kappa
  • Applikationshinweise

    Western blotting: 0.01-3 μg/mL,Immunohistochemistry: 5-30 μg/mL,Optimal working dilutions must be determined by end user.

    Kommentare

    The thermal stability is described by the loss rate. The loss rate was determined by accelerated thermal degradation test, that is, incubate the protein at 37°C for 48h, and no obvious degradation and precipitation were observed. The loss rate is less than 5% within the expiration date under appropriate storage condition.

    Beschränkungen

    Nur für Forschungszwecke einsetzbar
  • Format

    Liquid

    Konzentration

    1 mg/mL

    Buffer

    PBS, pH 7.4, containing 0.02 % Sodium azide, 50 % glycerol.

    Konservierungsmittel

    Sodium azide

    Vorsichtsmaßnahmen

    This product contains Sodium azide: a POISONOUS AND HAZARDOUS SUBSTANCE which should be handled by trained staff only.

    Lagerung

    4 °C,-20 °C

    Informationen zur Lagerung

    Store at 4°C for frequent use. Stored at -20°C in a manual defrost freezer for two year without detectable loss of activity. Avoid repeated freeze-thaw cycles.

    Haltbarkeit

    24 months
  • Target

    ADAM17 (ADAM Metallopeptidase Domain 17 (ADAM17))

    Andere Bezeichnung

    ADAM17

    Hintergrund

    CD156b, TACE, CSVP, Tumor Necrosis Factor,Alpha,Converting Enzyme, Disintegrin and metalloproteinase domain-containing protein 17, Snake venom-like protease

    UniProt

    P78536

    Pathways

    Notch Signalweg, EGFR Signaling Pathway, Neurotrophin Signalübertragung, Response to Growth Hormone Stimulus
Sie sind hier:
Chat with us!