Telefon:
+49 (0)241 95 163 153
Fax:
+49 (0)241 95 163 155
E-Mail:
orders@antikoerper-online.de

Nuclear Antigen (Pan-Nuclear Marker) Antikörper

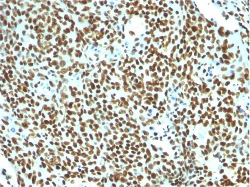
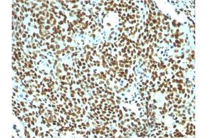
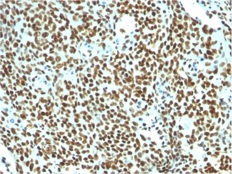
Der Maus Monoklonal anti-Nuclear Antigen (Pan-Nuclear Marker) Antikörper (Klon NM106) (ABIN6941425) detektiert spezifisch Nuclear Antigen (Pan-Nuclear Marker) in IHC, ISt, StM, FACS und IF. Dieser Antikörper reagiert spezifisch mit Proben aus Human, Maus und Ratte.
Produktnummer ABIN6941425
639,45 €
Zzgl. Versandkosten 20,00 € und MwSt
Lieferung nach: Deutschland
Lieferung in 6 bis 10 Werktagen

Kurzübersicht für Nuclear Antigen (Pan-Nuclear Marker) Antikörper (ABIN6941425)

Target

Nuclear Antigen (Pan-Nuclear Marker)

Reaktivität

Human, Maus, Ratte

Wirt

  • 2
  • 1
Maus

Klonalität

  • 3
Monoklonal

Konjugat

  • 3
Unkonjugiert

Applikation

Immunohistochemistry (IHC), Immunostaining (ISt), Staining Methods (StM), Flow Cytometry (FACS), Immunofluorescence (IF)

Klon

NM106
  • Spezifität

    This MAb is an excellent marker for all nuclei in cells in tissues. It is a part of a new panel of reagents, which recognizes subcellular organelles or compartments of cells. These markers may be useful in identification of these organelles in cells, tissues, and biochemical preparations. This MAb recognizes an antigen associated with the nuclei in all cells. It can be used to stain the nuclei in cell or tissue preparations and can be used as a nuclear marker in subcellular fractions. It produces a speckled pattern in normal and malignant cells and may be used to stain the nuclei of cells in fixed or frozen tissue sections. It can also be used with paraformaldehyde fixed frozen tissue or cell preparations.

    Keine Kreuzreaktivität

    Schwein

    Aufreinigung

    Purified by Protein A/G

    Immunogen

    Nuclei of HL60 cells

    Isotyp

    IgG1 kappa
  • Applikationshinweise

    Positive Control: All human cells. Tonsil.

    Known Application: Flow Cytometry (1-2 μg/million cells), Immunofluorescence (1-2 μg/mL), Immunohistochemistry (Formalin-fixed) (1-2 μg/mL for 30 minutes at RT)(Staining of formalin-fixed tissues is enhanced by boiling tissue sections in 10 mM Citrate Buffer, pH 6.0, for 10-20 min followed by cooling at RT for 20 minutes)Optimal dilution for a specific application should be determined.

    Beschränkungen

    Nur für Forschungszwecke einsetzbar
  • Konzentration

    200 μg/mL

    Buffer

    10 mM PBS with 0.05 % BSA & 0.05 % azide.

    Konservierungsmittel

    Sodium azide

    Vorsichtsmaßnahmen

    This product contains Sodium azide: a POISONOUS AND HAZARDOUS SUBSTANCE which should be handled by trained staff only.

    Lagerung

    4 °C,-80 °C

    Informationen zur Lagerung

    Antibody with azide - store at 2 to 8°C. Antibody without azide - store at -20 to -80°C. Antibody is stable for 24 months. Non-hazardous. No MSDS required.

    Haltbarkeit

    24 months
  • Target

    Nuclear Antigen (Pan-Nuclear Marker)
Sie sind hier:
Chat with us!