Telefon:
+49 (0)241 95 163 153
Fax:
+49 (0)241 95 163 155
E-Mail:
orders@antikoerper-online.de

KRT77, KRT76 Antikörper

Dieser Maus Monoklonal Antikörper detektiert spezifisch KRT77, KRT76 in FACS, IF, IHC, StM und WB. Es zeigt Reaktivität gegenüber Proben von Human, Ratte, Huhn, Rind (Kuh), Hund, Affe, Maus und Kaninchen.
Produktnummer ABIN6941403
639,45 €
Zzgl. Versandkosten 20,00 € und MwSt
Lieferung nach: Deutschland
Lieferung in 6 bis 10 Werktagen

Kurzübersicht für KRT77, KRT76 Antikörper (ABIN6941403)

Target

KRT77, KRT76

Reaktivität

Human, Ratte, Huhn, Rind (Kuh), Hund, Affe, Maus, Kaninchen

Wirt

  • 5
  • 3
Maus

Klonalität

  • 7
  • 1
Monoklonal

Konjugat

  • 6
  • 1
  • 1
Unkonjugiert

Applikation

  • 4
  • 4
  • 3
  • 3
  • 3
  • 2
  • 2
Flow Cytometry (FACS), Immunofluorescence (IF), Immunohistochemistry (IHC), Staining Methods (StM), Western Blotting (WB)

Klon

SPM115-SPM116
  • Spezifität

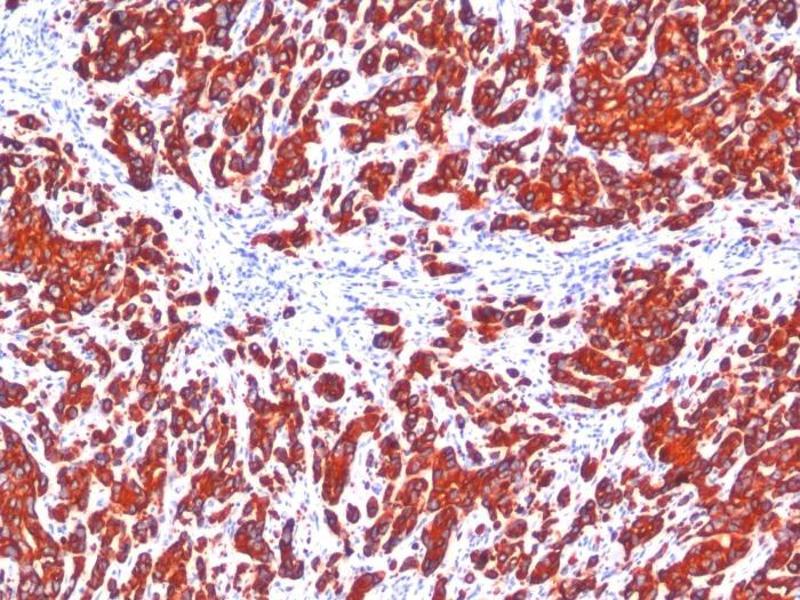
    Twenty human keratins are resolved with two-dimensional gel electrophoresis into acidic (pI 6.0) subfamilies. This antibody cocktail recognizes acidic (Type I or LMW) and basic (Type II or HMW) cytokeratins, which 67 kDa (CK1), 64 kDa (CK3), 59 kDa (CK4), 58 kDa (CK5), 56 kDa (CK6), 52 kDa (CK8), 56.5 kDa (CK10), 50 kDa (CK14), 50 kDa (CK15), 48 kDa (CK16), 40 kDa (CK19). Many studies have shown the usefulness of keratins as markers in cancer research and tumor diagnosis. AE-1/AE-3 is a broad spectrum anti pan-cytokeratin antibody cocktail, which differentiates epithelial tumors from non-epithelial tumors e.g. squamous vs. adenocarcinoma of the lung, liver carcinoma, breast cancer, and esophageal cancer. It has been used to characterize the source of various neoplasms and to study the distribution of cytokeratin containing cells in epithelia during normal development and during the development of epithelial neoplasms. This antibody stains cytokeratins present in normal and abnormal human tissues and has shown high sensitivity in the recognition of epithelial cells and carcinomas.

    Aufreinigung

    Purified by Protein A/G

    Immunogen

    Human epidermal keratin

    Isotyp

    IgG1 kappa
  • Applikationshinweise

    Positive Control: Skin, Adeno- or Squamous carcinomas.

    Known Application: Flow Cytometry (0.5-1 μg/million cells), Immunofluorescence (1-2 μg/mL), Western Blot (0.5-1 μg/mL for 2 hours at RT), Immunohistochemistry (Formalin-fixed) (0.5-1 μg/mL for 30 min at RT)(Staining of formalin-fixed tissues requires boiling tissue sections in 10 mM citrate buffer, pH 6.0, for 10-20 min followed by cooling at RT for 20 minutes)Optimal dilution for a specific application should be determined.

    Beschränkungen

    Nur für Forschungszwecke einsetzbar
  • Konzentration

    200 μg/mL

    Buffer

    10 mM PBS with 0.05 % BSA & 0.05 % azide.

    Konservierungsmittel

    Sodium azide

    Vorsichtsmaßnahmen

    This product contains Sodium azide: a POISONOUS AND HAZARDOUS SUBSTANCE which should be handled by trained staff only.

    Lagerung

    4 °C,-80 °C

    Informationen zur Lagerung

    Antibody with azide - store at 2 to 8°C. Antibody without azide - store at -20 to -80°C. Antibody is stable for 24 months. Non-hazardous. No MSDS required.

    Haltbarkeit

    24 months
  • Target

    KRT77, KRT76

    Andere Bezeichnung

    KRT77 & KRT76

    Molekulargewicht

    67kDa (CK1), 64kDa (CK3), 59kDa (CK4), 58kDa (CK5), 56kDa (CK6), 52kDa (CK8), 56.5kDa (CK10), 50kDa (CK14), 50kDa (CK15), 48kDa (CK16), 40kDa (CK19)

    Gen-ID

    374454, 51350

    UniProt

    Q7Z794, Q01546
Sie sind hier:
Chat with us!