Telefon:
+49 (0)241 95 163 153
Fax:
+49 (0)241 95 163 155
E-Mail:
orders@antikoerper-online.de

ACTA1/ACTA2A/ACTG2 Antikörper

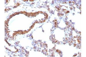
Der Maus Monoklonal anti-ACTA1/ACTA2A/ACTG2 Antikörper wird verwendet zum Nachweis von ACTA1/ACTA2A/ACTG2 in Proben von Human, Kaninchen und Ratte. Er wurde validiert für IHC und WB.
Produktnummer ABIN6941399
639,45 €
Zzgl. Versandkosten 20,00 € und MwSt
Lieferung nach: Deutschland
Lieferung in 6 bis 10 Werktagen

Kurzübersicht für ACTA1/ACTA2A/ACTG2 Antikörper (ABIN6941399)

Target

ACTA1/ACTA2A/ACTG2 (ACTA1 (Skeletal), ACTA2 (Smooth), ACTG2 (Smooth))

Reaktivität

  • 3
  • 3
  • 3
  • 2
  • 2
  • 2
  • 2
Human, Kaninchen, Ratte

Wirt

  • 3
Maus

Klonalität

  • 3
Monoklonal

Konjugat

  • 3
Dieser ACTA1/ACTA2A/ACTG2 Antikörper ist unkonjugiert

Applikation

  • 3
  • 2
  • 2
  • 1
  • 1
Immunohistochemistry (IHC), Western Blotting (WB)

Klon

MSA-953
  • Verwendungszweck

    Actin, Muscle Specific (Muscle Cell Marker) Antibody

    Spezifität

    This antibody recognizes actin of skeletal, cardiac, and smooth muscle cells. It is not reactive with other mesenchymal cells except for myoepithelium. Actin can be resolved on the basis of its isoelectric points into three distinctive components: alpha, beta, and gamma in order of increasing isoelectric point. Anti-muscle specific actin recognizes alpha and gamma isotypes of all muscle groups. Non-muscle cells such as vascular endothelial cells and connective tissues are non-reactive. Also, neoplastic cells of non-muscle-derived tissue such as carcinomas, melanomas, and lymphomas are negative.It stains tumors of smooth muscle (leiomyomas and leiomyosarcomas) as well as skeletal muscle (rhabdomyomas and rhabdomyosarcomas).

    Aufreinigung

    200ug/ml of Ab purified from Bioreactor Concentrate by Protein A/G.

    Immunogen

    Synthetic peptide common among human muscle actins

    Isotyp

    IgG1, kappa
  • Applikationshinweise

    Positive Control: Muscle or sarcoma.

    Known Application: Western Blot (0.5-1.0 μg/mL), Immunohistochemistry (Formalin-fixed) (0.5-1 μg/mL for 30 minutes at RT)(Staining of formalin-fixed tissues requires boiling tissue sections in 10 mM citrate buffer, pH 6.0, for 10-20 min followed by cooling at RT for 20 minutes)Optimal dilution for a specific application should be determined.

    Beschränkungen

    Nur für Forschungszwecke einsetzbar
  • Konzentration

    200 μg/mL

    Buffer

    Prepared in 10 mM PBS with 0.05 % BSA & 0.05 % azide.

    Konservierungsmittel

    Sodium azide

    Vorsichtsmaßnahmen

    This product contains Sodium azide: a POISONOUS AND HAZARDOUS SUBSTANCE which should be handled by trained staff only.

    Lagerung

    4 °C

    Informationen zur Lagerung

    Antibody with azide - store at 2 to 8 °C. Antibody without azide - store at -20 to -80 °C. Antibody is stable for 24 months. Non-hazardous. No MSDS required.

    Haltbarkeit

    24 months
  • Target

    ACTA1/ACTA2A/ACTG2 (ACTA1 (Skeletal), ACTA2 (Smooth), ACTG2 (Smooth))

    Hintergrund

    ACTA, ACTA1, ACTA2, ACTC1, Actin, ACTSA, Alpha-2 actin, alpha skeletal muscle, Alpha-actin-1, Cardiac muscle alpha actin-1, Skeletal muscle alpha actin-1

    Muscle or sarcoma.

    Gen-ID

    58, 59, 70

    UniProt

    P62736, P68032, P68133
Sie sind hier:
Chat with us!