Telefon:
+49 (0)241 95 163 153
Fax:
+49 (0)241 95 163 155
E-Mail:
orders@antikoerper-online.de

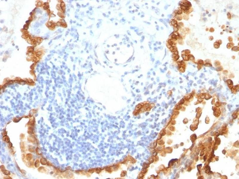
KRT8, KRT18 Antikörper

Der Maus Monoklonal anti-KRT8, KRT18 Antikörper wird verwendet zum Nachweis von KRT8, KRT18 in Proben von Human. Er wurde validiert für IHC und StM.
Produktnummer ABIN6941351
639,45 €
Zzgl. Versandkosten 20,00 € und MwSt
Lieferung nach: Deutschland
Lieferung in 6 bis 10 Werktagen

Kurzübersicht für KRT8, KRT18 Antikörper (ABIN6941351)

Target

KRT8, KRT18

Reaktivität

  • 6
  • 1
  • 1
  • 1
  • 1
Human

Wirt

  • 4
  • 2
Maus

Klonalität

  • 6
Monoklonal

Konjugat

  • 6
Unkonjugiert

Applikation

  • 4
  • 3
  • 3
  • 3
  • 2
  • 2
Immunohistochemistry (IHC), Staining Methods (StM)

Klon

KRT8-803-KRT18-835
  • Spezifität

    Cytokeratin 8 (CK8) belongs to the type II (or B or basic) subfamily of high molecular weight cytokeratins and exists in combination with cytokeratin 18 (CK18). This MAb cocktail recognizes all simple epithelia including glandular epithelium, for example thyroid, female breast, gastrointestinal tract, respiratory tract, and urogenital tract including transitional epithelium. All adenocarcinomas and most squamous carcinomas are positive but keratinizing squamous carcinomas are usually negative. This antibody is useful in demonstrating the presence of Paget cells, there is very little keratin 18 in the normal epidermis so only Paget cells are stained.Immuno-histochemical staining with this MAb is indistinguishable from that obtained with monoclonal antibody 5D3.

    Aufreinigung

    Purified by Protein A/G

    Immunogen

    Recombinant full-length human KRT8 protein (KRT8/803), Recombinant full-length human KRT18 protein (KRT18/835)

    Isotyp

    IgG1 kappa
  • Applikationshinweise

    Positive Control: MCF-7 or A431 cells. Skin, colon, lung or breast carcinoma.

    Known Application: Immunohistochemistry (Formalin-fixed) (0.1-0.2 μg/mL for 30 min at RT)(Staining of formalin-fixed tissues requires boiling tissue sections in 10 mM citrate buffer, pH 6.0, for 10-20 min followed by cooling at RT for 20 minutes)Optimal dilution for a specific application should be determined.

    Beschränkungen

    Nur für Forschungszwecke einsetzbar
  • Konzentration

    200 μg/mL

    Buffer

    10 mM PBS with 0.05 % BSA & 0.05 % azide.

    Konservierungsmittel

    Sodium azide

    Vorsichtsmaßnahmen

    This product contains Sodium azide: a POISONOUS AND HAZARDOUS SUBSTANCE which should be handled by trained staff only.

    Lagerung

    4 °C,-80 °C

    Informationen zur Lagerung

    Antibody with azide - store at 2 to 8°C. Antibody without azide - store at -20 to -80°C. Antibody is stable for 24 months. Non-hazardous. No MSDS required.

    Haltbarkeit

    24 months
  • Target

    KRT8, KRT18

    Andere Bezeichnung

    KRT8 & KRT18

    Molekulargewicht

    52.5kDa (CK8), 45kDa (CK18)

    Gen-ID

    3856, 3875

    UniProt

    P05787, P05783
Sie sind hier:
Chat with us!