Telefon:
+49 (0)241 95 163 153
Fax:
+49 (0)241 95 163 155
E-Mail:
orders@antikoerper-online.de

NAPSA Antikörper (AA 189-299)

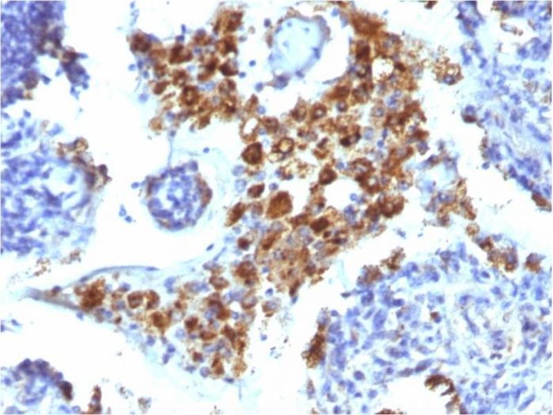
Der Maus Monoklonal anti-NAPSA Antikörper (Klon NAPSA-1238) (ABIN6941161) detektiert spezifisch NAPSA in IHC, WB, IF und FACS. Dieser Antikörper reagiert spezifisch mit Proben aus Human.
Produktnummer ABIN6941161
639,45 €
Zzgl. Versandkosten 20,00 € und MwSt
Lieferung nach: Deutschland
Lieferung in 6 bis 10 Werktagen

Kurzübersicht für NAPSA Antikörper (AA 189-299) (ABIN6941161)

Target

Alle NAPSA Antikörper anzeigen
NAPSA (Napsin A Aspartic Peptidase (NAPSA))

Reaktivität

  • 146
  • 19
  • 12
  • 2
  • 2
  • 1
  • 1
  • 1
  • 1
  • 1
Human

Wirt

  • 77
  • 70
Maus

Klonalität

  • 101
  • 46
Monoklonal

Konjugat

  • 69
  • 12
  • 6
  • 6
  • 6
  • 6
  • 6
  • 6
  • 6
  • 5
  • 3
  • 2
  • 2
  • 2
  • 2
  • 2
  • 2
  • 1
  • 1
  • 1
  • 1
Dieser NAPSA Antikörper ist unkonjugiert

Applikation

  • 105
  • 85
  • 45
  • 28
  • 18
  • 18
  • 11
  • 8
  • 7
  • 1
  • 1
  • 1
Immunohistochemistry (IHC), Western Blotting (WB), Immunofluorescence (IF), Flow Cytometry (FACS)

Klon

NAPSA-1238
  • Bindungsspezifität

    • 59
    • 9
    • 8
    • 6
    • 6
    • 5
    • 4
    • 4
    • 3
    • 2
    • 2
    • 2
    • 1
    • 1
    • 1
    • 1
    • 1
    • 1
    • 1
    AA 189-299

    Verwendungszweck

    Napsin A (Lung Adenocarcinoma Marker) Antibody

    Spezifität

    Napsin is a pepsin-like aspartic proteinase connected with maturation of surfactant protein B.There are two closely related napsins, napsin A and napsin B. Napsin A is expressed as a single chain protein. Immunohistochemical studies revealed high expression levels of napsin A in human lung and kidney but low expression in spleen. Napsin A is expressed in type II pneumocytes and in adenocarcinomas of lung. The high specificity expression of napsin A in adenocarcinomas of lung is useful to distinguish primary lung adenocarcinomas from adenocarcinomas of other organs.

    Aufreinigung

    200ug/ml of Ab Purified from rabbit anti-serum by Protein A.

    Immunogen

    Recombinant human Napsin-A protein fragment (around aa189-299) (exact sequence is proprietary)

    Isotyp

    IgG1, kappa
  • Applikationshinweise

    Positive Control: Lung adenocarcinoma.

    Known Application: Flow Cytometry (0.5-1 μg/million cells), Immunofluorescence (1-2 μg/mL), Western Blot (1-2 μg/mL for 60 minutes at RT), Immunohistochemistry (Formalin-fixed) (1-2 μg/mL for 30 minutes at RT)(Staining of formalin-fixed tissues requires boiling tissue sections in 10 mM Citrate buffer, pH 6.0, for 10-20 min followed by cooling at RT for 20 minutes)Optimal dilution for a specific application should be determined.

    Beschränkungen

    Nur für Forschungszwecke einsetzbar
  • Konzentration

    200 μg/mL

    Buffer

    Prepared in 10 mM PBS with 0.05 % BSA & 0.05 % azide.

    Konservierungsmittel

    Sodium azide

    Vorsichtsmaßnahmen

    This product contains Sodium azide: a POISONOUS AND HAZARDOUS SUBSTANCE which should be handled by trained staff only.

    Lagerung

    4 °C

    Informationen zur Lagerung

    Antibody with azide - store at 2 to 8°C. Antibody without azide - store at -20 to -80°C. Antibody is stable for 24 months. Non-hazardous. No MSDS required.

    Haltbarkeit

    24 months
  • Target

    NAPSA (Napsin A Aspartic Peptidase (NAPSA))

    Andere Bezeichnung

    NAPSA

    Hintergrund

    ASP4, Aspartyl protease 4, KAP, Kidney derived aspartic protease like protein (Kdap), NAP1, NAPA, Napsa, napsin A aspartic peptidase, Pronapsin A, SNAPA

    Lung adenocarcinoma.

    Molekulargewicht

    37kDa

    Gen-ID

    9476, 512843

    UniProt

    O96009

    Pathways

    Tube Formation, Asymmetric Protein Localization, Embryonic Body Morphogenesis
Sie sind hier:
Chat with us!