Telefon:
+49 (0)241 95 163 153
Fax:
+49 (0)241 95 163 155
E-Mail:
orders@antikoerper-online.de

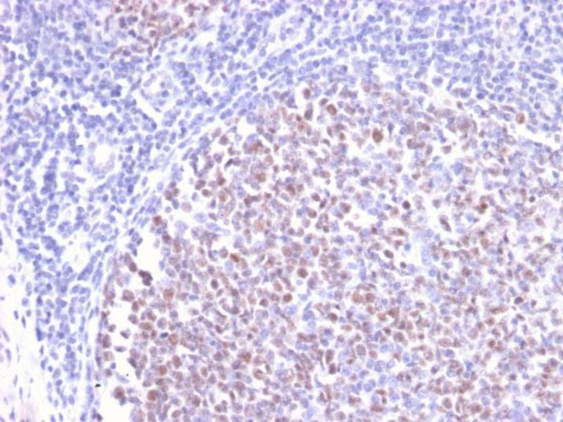
Rekombinanter BCL6 Antikörper (AA 256-389)

Der Kaninchen Monoklonal anti-BCL6 Antikörper (Klon BCL6-2497R) (ABIN6940532) detektiert spezifisch BCL6 in IHC und StM. Dieser Antikörper reagiert spezifisch mit Proben aus Human.
Produktnummer ABIN6940532
639,45 €
Zzgl. Versandkosten 20,00 € und MwSt
Lieferung nach: Deutschland
Lieferung in 6 bis 10 Werktagen

Kurzübersicht für Rekombinanter BCL6 Antikörper (AA 256-389) (ABIN6940532)

Target

Alle BCL6 Antikörper anzeigen
BCL6 (B-Cell CLL/lymphoma 6 (BCL6))

Antikörpertyp

Recombinant Antibody

Reaktivität

  • 173
  • 62
  • 26
  • 9
  • 3
  • 2
  • 1
  • 1
  • 1
  • 1
  • 1
Human

Wirt

  • 104
  • 67
  • 2
  • 1
Kaninchen

Klonalität

  • 111
  • 63
Monoklonal

Konjugat

  • 84
  • 14
  • 7
  • 6
  • 6
  • 6
  • 6
  • 6
  • 6
  • 4
  • 4
  • 4
  • 4
  • 4
  • 4
  • 4
  • 2
  • 1
  • 1
  • 1
Dieser BCL6 Antikörper ist unkonjugiert

Applikation

  • 82
  • 82
  • 39
  • 39
  • 36
  • 35
  • 27
  • 17
  • 12
  • 11
  • 4
  • 2
  • 2
  • 2
  • 1
  • 1
  • 1
  • 1
  • 1
Immunohistochemistry (IHC), Staining Methods (StM)

Klon

BCL6-2497R
  • Bindungsspezifität

    • 60
    • 12
    • 11
    • 7
    • 4
    • 4
    • 3
    • 3
    • 3
    • 3
    • 2
    • 2
    • 1
    • 1
    • 1
    • 1
    • 1
    • 1
    • 1
    • 1
    • 1
    • 1
    • 1
    • 1
    • 1
    • 1
    • 1
    • 1
    • 1
    • 1
    • 1
    • 1
    • 1
    AA 256-389

    Spezifität

    Recognizes a protein of 95 kDa, which is identified as Bcl-6. Antibody to bcl-6 is helpful in a number of diagnostic settings: (1) In the differential diagnosis of small B-cell lymphoma. Follicular lymphoma will show bcl-6 (and CD10) positivity whereas other small B-cell lymphomas are usually negative. (2) Bcl-6 is an important prognostic marker in diffuse large B-cell lymphomas (DLBCL), where CD10, bcl-6 and MUM1/IRF4 are used to identify germinal center and activated B-cell phenotypes. (3) Bcl-6 can be valuable in distinguishing classical Hodgkin lymphoma from nodular lymphocyte predominant Hodgkin lymphoma (NLPHL). The Reed-Sternberg cells of classical Hodgkin lymphoma are bcl-6 negative whereas the large ('LH') cells of NLPHL are bcl-6 positive. In contrast, anti-Bcl-6 rarely stains mantle-cell lymphoma and MALT lymphoma.

    Aufreinigung

    Purified by Protein A/G

    Immunogen

    Recombinant human bcl-6 protein fragment (aa256-389) (exact sequence is proprietary)

    Isotyp

    IgG
  • Applikationshinweise

    Positive Control: Raji or Ramos cells. Tonsil or Hodgkin's lymphoma.

    Known Application: Immunohistochemistry (Formalin-fixed) (1-2 μg/mL for 30 minutes at RT)(Staining of formalin-fixed tissues requires boiling tissue sections in 10 mM Tris with 1 mM EDTA, pH 9.0, for 10-20 min followed by cooling at RT for 20 minutes)Optimal dilution for a specific application should be determined.

    Beschränkungen

    Nur für Forschungszwecke einsetzbar
  • Konzentration

    200 μg/mL

    Buffer

    10 mM PBS with 0.05 % BSA & 0.05 % azide.

    Konservierungsmittel

    Sodium azide

    Vorsichtsmaßnahmen

    This product contains Sodium azide: a POISONOUS AND HAZARDOUS SUBSTANCE which should be handled by trained staff only.

    Lagerung

    4 °C,-80 °C

    Informationen zur Lagerung

    Antibody with azide - store at 2 to 8°C. Antibody without azide - store at -20 to -80°C. Antibody is stable for 24 months. Non-hazardous. No MSDS required.

    Haltbarkeit

    24 months
  • Target

    BCL6 (B-Cell CLL/lymphoma 6 (BCL6))

    Andere Bezeichnung

    BCL6

    Molekulargewicht

    95kDa

    Gen-ID

    604

    UniProt

    P41182

    Pathways

    Chromatin Binding, Regulation of Leukocyte Mediated Immunity, Production of Molecular Mediator of Immune Response, Protein targeting to Nucleus
Sie sind hier:
Chat with us!