PMEPA1 Antikörper
Kurzübersicht für PMEPA1 Antikörper (ABIN6940417)
Target
Alle PMEPA1 Antikörper anzeigenReaktivität
Wirt
Klonalität
Konjugat
Applikation
Klon
-
-
Aufreinigung
- Purified by Protein A/G
-
Immunogen
- Recombinant full-length human PMEPA1 protein
-
Isotyp
- IgG1 kappa
-
-
-
-
Applikationshinweise
-
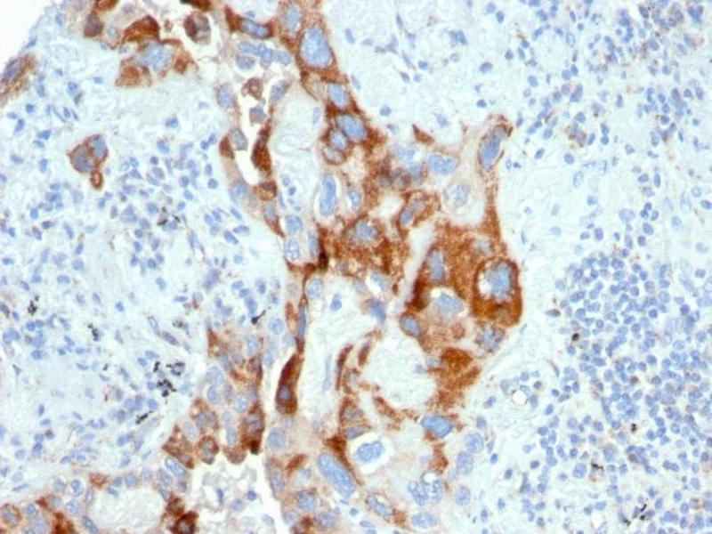
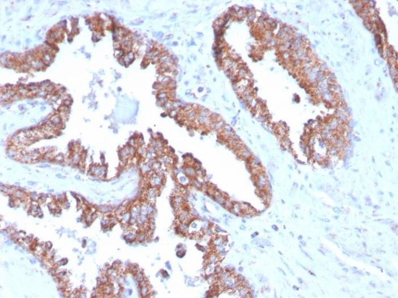
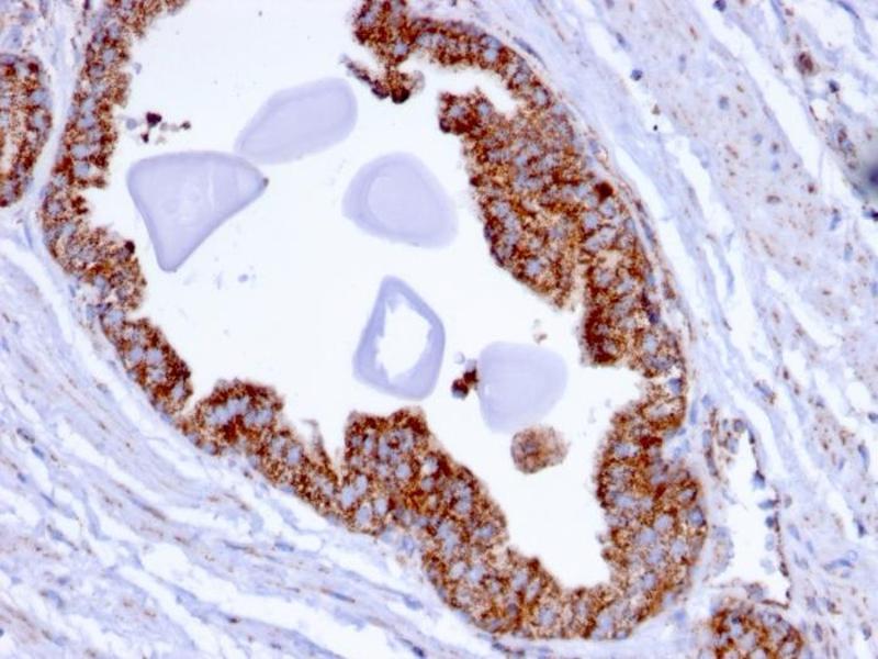
Positive Control: Human prostate, breast or renal cell carcinoma tissue (IHC).
Known Application: Immunohistochemistry (Formalin-fixed) (1-2 μg/mL for 30 minutes at RT)(Staining of formalin-fixed tissues requires boiling tissue sections in 10 mM Citrate Buffer, pH 6.0, for 10-20 min followed by cooling at RT for 20 minutes)Optimal dilution for a specific application should be determined.
-
Beschränkungen
- Nur für Forschungszwecke einsetzbar
-
-
-
Konzentration
- 200 μg/mL
-
Buffer
- 10 mM PBS with 0.05 % BSA & 0.05 % azide.
-
Konservierungsmittel
- Sodium azide
-
Vorsichtsmaßnahmen
- This product contains Sodium azide: a POISONOUS AND HAZARDOUS SUBSTANCE which should be handled by trained staff only.
-
Lagerung
- 4 °C,-80 °C
-
Informationen zur Lagerung
- Antibody with azide - store at 2 to 8°C. Antibody without azide - store at -20 to -80°C. Antibody is stable for 24 months. Non-hazardous. No MSDS required.
-
Haltbarkeit
- 24 months
-
-
- PMEPA1 (Prostate Transmembrane Protein, Androgen Induced 1 (PMEPA1))
-
Andere Bezeichnung
- PMEPA1
-
Hintergrund
- PMEPA1 (prostate transmembrane protein, androgen induced 1 is a 287 amino acid single-pass membrane protein that contains WW-binding motifs and localizes to the cell membrane. Expressed at high levels in prostate, kidney and ovary, PMEPA1 interacts with NEDD4 and may play a role in regulating AR (androgen receptor) levels, specifically in prostate cells. Down regulation of PMEPA1 is observed in prostate tumors, suggesting that PMEPA1 may exhibit activity as a tumor suppressor. Overexpression of this protein may play a role in multiple types of cancer.
-
Molekulargewicht
- 32kDa
-
Gen-ID
- 56937
-
Pathways
- Intracellular Steroid Hormone Receptor Signaling Pathway
Target
-