PTAFR Antikörper (AA 231-342)
Kurzübersicht für PTAFR Antikörper (AA 231-342) (ABIN687127)
Target
Alle PTAFR Antikörper anzeigenReaktivität
Wirt
Klonalität
Konjugat
Applikation
-
-
Bindungsspezifität
- AA 231-342
-
Kreuzreaktivität
- Human, Maus, Ratte
-
Homologie
- Dog,Cow,Chicken,Rabbit
-
Aufreinigung
- Purified by Protein A.
-
Immunogen
- KLH conjugated synthetic peptide derived from human PAFR
-
Isotyp
- IgG
-
-
-
-
Applikationshinweise
-
WB 1:300-5000
ELISA 1:500-1000
FCM 1:20-100
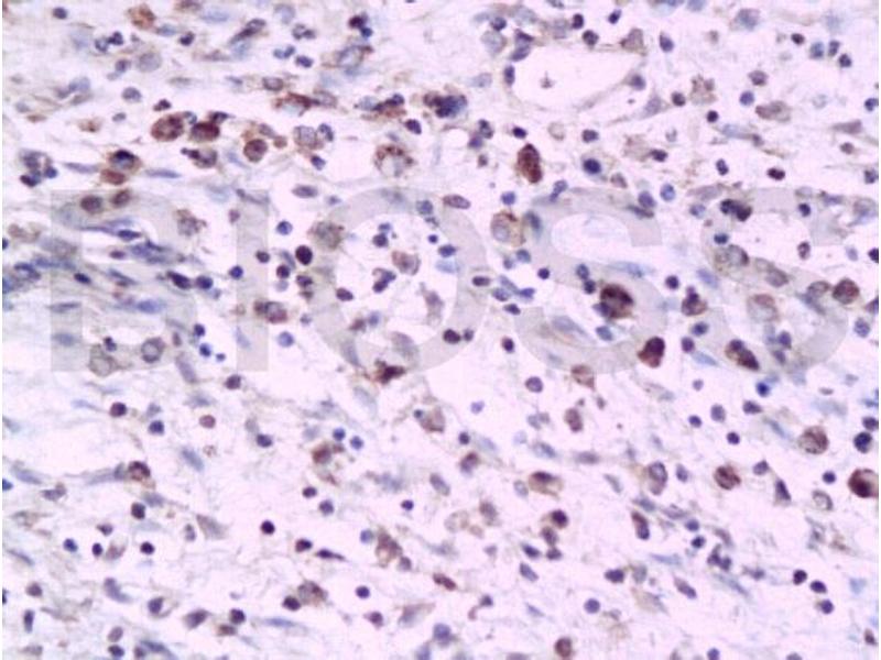
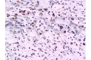
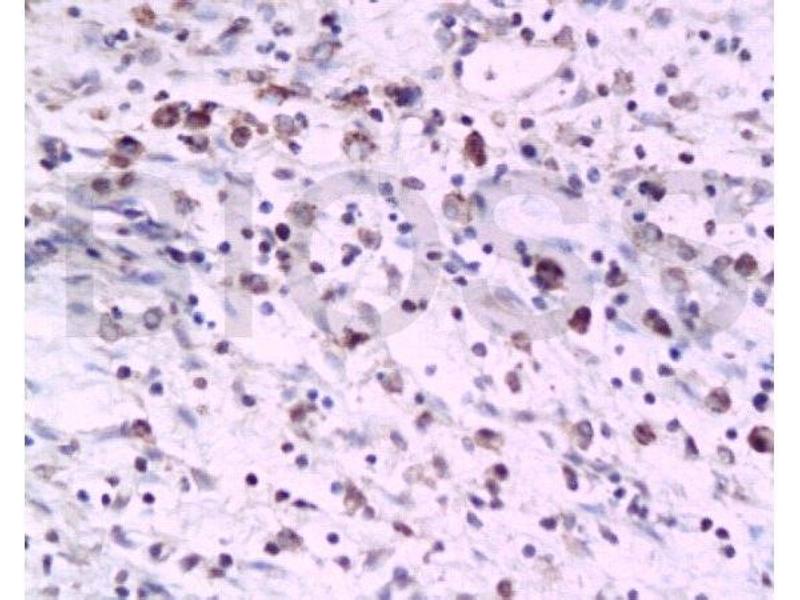
IHC-P 1:200-400
IHC-F 1:100-500
IF(IHC-P) 1:50-200
IF(IHC-F) 1:50-200
IF(ICC) 1:50-200 -
Beschränkungen
- Nur für Forschungszwecke einsetzbar
-
-
-
Format
- Liquid
-
Konzentration
- 1 μg/μL
-
Buffer
- 0.01M TBS( pH 7.4) with 1 % BSA, 0.02 % Proclin300 and 50 % Glycerol.
-
Konservierungsmittel
- ProClin
-
Vorsichtsmaßnahmen
- This product contains ProClin: a POISONOUS AND HAZARDOUS SUBSTANCE, which should be handled by trained staff only.
-
Lagerung
- 4 °C,-20 °C
-
Informationen zur Lagerung
- Shipped at 4°C. Store at -20°C for one year. Avoid repeated freeze/thaw cycles.
-
Haltbarkeit
- 12 months
-
-
-
: "Platelet Activating Factor Enhances Synaptic Vesicle Exocytosis Via PKC, Elevated Intracellular Calcium, and Modulation of Synapsin 1 Dynamics and Phosphorylation." in: Frontiers in cellular neuroscience, Vol. 9, pp. 505, (2016) (PubMed).
-
: "Platelet Activating Factor Enhances Synaptic Vesicle Exocytosis Via PKC, Elevated Intracellular Calcium, and Modulation of Synapsin 1 Dynamics and Phosphorylation." in: Frontiers in cellular neuroscience, Vol. 9, pp. 505, (2016) (PubMed).
-
- PTAFR (Platelet-Activating Factor Receptor (PTAFR))
-
Andere Bezeichnung
- PAFR
-
Hintergrund
-
Synonyms: PAFR, Platelet-activating factor receptor, PAF-R, PTAFR
Background: Receptor for platelet activating factor, a chemotactic phospholipid mediator that possesses potent inflammatory, smooth-muscle contractile and hypotensive activity. Seems to mediate its action via a G protein that activates a phosphatidylinositol-calcium second messenger system.
-
Gen-ID
- 5724
-
UniProt
- P25105
-
Pathways
- Activation of Innate immune Response, Cellular Response to Molecule of Bacterial Origin
Target
-