Telefon:
+49 (0)241 95 163 153
Fax:
+49 (0)241 95 163 155
E-Mail:
orders@antikoerper-online.de

FOXA2 Antikörper (AA 201-300)

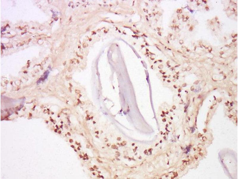
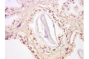
Es sind 2+ Publikationen für dieses Produkt verfügbar. Der Kaninchen Polyklonal anti-FOXA2 Antikörper wird verwendet zum Nachweis von FOXA2 in Proben von Human und Maus. Er wurde validiert für WB, ELISA, FACS, IHC (p), IF (cc), IF (p) und IHC (fro).
Produktnummer ABIN679898
357,70 €
Zzgl. Versandkosten 20,00 € und MwSt
100 μL
Lieferung nach: Deutschland
Lieferung in 8 bis 12 Werktagen

Kurzübersicht für FOXA2 Antikörper (AA 201-300) (ABIN679898)

Target

Alle FOXA2 Antikörper anzeigen
FOXA2 (Forkhead Box A2 (FOXA2))

Reaktivität

  • 103
  • 29
  • 17
  • 6
  • 6
  • 5
  • 4
  • 4
  • 3
  • 3
  • 1
  • 1
Human, Maus

Wirt

  • 90
  • 15
  • 2
Kaninchen

Klonalität

  • 72
  • 35
Polyklonal

Konjugat

  • 56
  • 6
  • 4
  • 4
  • 3
  • 3
  • 3
  • 3
  • 3
  • 3
  • 3
  • 3
  • 1
  • 1
  • 1
  • 1
  • 1
  • 1
  • 1
  • 1
  • 1
  • 1
  • 1
  • 1
  • 1
Dieser FOXA2 Antikörper ist unkonjugiert

Applikation

  • 92
  • 39
  • 35
  • 32
  • 20
  • 19
  • 13
  • 12
  • 11
  • 7
  • 3
  • 2
  • 2
  • 1
  • 1
  • 1
  • 1
  • 1
Western Blotting (WB), ELISA, Flow Cytometry (FACS), Immunohistochemistry (Paraffin-embedded Sections) (IHC (p)), Immunofluorescence (Cultured Cells) (IF (cc)), Immunofluorescence (Paraffin-embedded Sections) (IF (p)), Immunohistochemistry (Frozen Sections) (IHC (fro))
  • Bindungsspezifität

    • 15
    • 10
    • 9
    • 8
    • 8
    • 3
    • 2
    • 2
    • 2
    • 2
    • 1
    • 1
    • 1
    • 1
    • 1
    • 1
    • 1
    • 1
    • 1
    • 1
    • 1
    • 1
    • 1
    • 1
    • 1
    AA 201-300

    Kreuzreaktivität

    Human, Maus

    Homologie

    Rat,Cow,Pig,Horse,Chicken

    Aufreinigung

    Purified by Protein A.

    Immunogen

    KLH conjugated synthetic peptide derived from human HNF 3 beta

    Isotyp

    IgG
  • Applikationshinweise

    WB 1:300-5000
    ELISA 1:500-1000
    FCM 1:20-100
    IHC-P 1:200-400
    IHC-F 1:100-500
    IF(IHC-P) 1:50-200
    IF(IHC-F) 1:50-200
    IF(ICC) 1:50-200

    Beschränkungen

    Nur für Forschungszwecke einsetzbar
  • Format

    Liquid

    Konzentration

    1 μg/μL

    Buffer

    0.01M TBS( pH 7.4) with 1 % BSA, 0.02 % Proclin300 and 50 % Glycerol.

    Konservierungsmittel

    ProClin

    Vorsichtsmaßnahmen

    This product contains ProClin: a POISONOUS AND HAZARDOUS SUBSTANCE, which should be handled by trained staff only.

    Lagerung

    4 °C,-20 °C

    Informationen zur Lagerung

    Shipped at 4°C. Store at -20°C for one year. Avoid repeated freeze/thaw cycles.

    Haltbarkeit

    12 months
  • Yamamizu, Schlessinger, Ko: "SOX9 accelerates ESC differentiation to three germ layer lineages by repressing SOX2 expression through P21 (WAF1/CIP1)." in: Development (Cambridge, England), Vol. 141, Issue 22, pp. 4254-66, (2014) (PubMed).

    Yamamizu, Fujihara, Tachibana, Katayama, Takahashi, Hara, Imai, Shinkai, Yamashita: "Protein kinase A determines timing of early differentiation through epigenetic regulation with G9a." in: Cell stem cell, Vol. 10, Issue 6, pp. 759-70, (2012) (PubMed).

  • Target

    FOXA2 (Forkhead Box A2 (FOXA2))

    Andere Bezeichnung

    FOXA2/HNF 3beta

    Hintergrund

    Synonyms: HNF3B, TCF3B, Hepatocyte nuclear factor 3-beta, HNF-3-beta, HNF-3B, Forkhead box protein A2, Transcription factor 3B, TCF-3B, FOXA2

    Background: Transcription factor that is involved in embryonic development, establishment of tissue-specific gene expression and regulation of gene expression in differentiated tissues. Is thought to act as a 'pioneer' factor opening the compacted chromatin for other proteins through interactions with nucleosomal core histones and thereby replacing linker histones at target enhancer and/or promoter sites. Binds DNA with the consensus sequence 5'-[AC]A[AT]T[AG]TT[GT][AG][CT]T[CT]-3' (By similarity). In embryonic development is required for notochord formation. Involved in the development of multiple endoderm-derived organ systems such as the liver, pancreas and lungs, FOXA1 and FOXA2 seem to have at least in part redundant roles. Originally described as a transcription activator for a number of liver genes such as AFP, albumin, tyrosine aminotransferase, PEPCK, etc. Interacts with the cis-acting regulatory regions of these genes. Involved in glucose homeostasis, regulates the expression of genes important for glucose sensing in pancreatic beta-cells and glucose homeostasis. Involved in regulation of fat metabolism. Binds to fibrinogen beta promoter and is involved in IL6-induced fibrinogen beta transcriptional activation.

    Gen-ID

    3170

    UniProt

    Q9Y261

    Pathways

    Dopaminergic Neurogenesis, Regulation of Carbohydrate Metabolic Process
Sie sind hier:
Chat with us!