Telefon:
+49 (0)241 95 163 153
Fax:
+49 (0)241 95 163 155
E-Mail:
orders@antikoerper-online.de

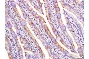
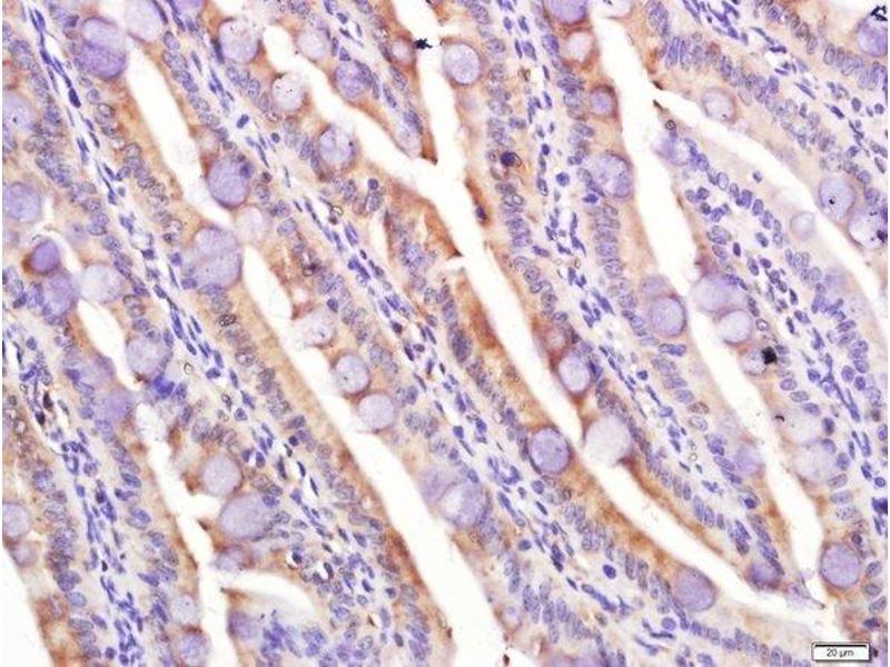
Lipoprotein Lipase Antikörper (AA 401-475)

Der Kaninchen Polyklonal anti-Lipoprotein Lipase Antikörper wird verwendet zum Nachweis von Lipoprotein Lipase in Proben von Human, Ratte und Maus. Er wurde validiert für WB, ELISA, FACS, IHC (p), IF (cc), IF (p) und IHC (fro).
Produktnummer ABIN676133
357,70 €
Zzgl. Versandkosten 20,00 € und MwSt
100 μL
Lieferung nach: Deutschland
Lieferung in 8 bis 12 Werktagen

Kurzübersicht für Lipoprotein Lipase Antikörper (AA 401-475) (ABIN676133)

Target

Alle Lipoprotein Lipase (LPL) Antikörper anzeigen
Lipoprotein Lipase (LPL)

Reaktivität

  • 101
  • 33
  • 28
  • 24
  • 6
  • 6
  • 5
  • 2
  • 2
  • 2
  • 1
  • 1
  • 1
  • 1
  • 1
Human, Ratte, Maus

Wirt

  • 80
  • 27
  • 2
Kaninchen

Klonalität

  • 63
  • 46
  • 1
Polyklonal

Konjugat

  • 51
  • 7
  • 7
  • 4
  • 3
  • 3
  • 3
  • 3
  • 3
  • 3
  • 3
  • 2
  • 2
  • 2
  • 1
  • 1
  • 1
  • 1
  • 1
  • 1
  • 1
  • 1
  • 1
  • 1
  • 1
  • 1
  • 1
  • 1
Dieser Lipoprotein Lipase Antikörper ist unkonjugiert

Applikation

  • 81
  • 35
  • 34
  • 29
  • 20
  • 13
  • 13
  • 12
  • 7
  • 7
  • 4
  • 3
  • 2
  • 2
  • 2
  • 1
  • 1
  • 1
Western Blotting (WB), ELISA, Flow Cytometry (FACS), Immunohistochemistry (Paraffin-embedded Sections) (IHC (p)), Immunofluorescence (Cultured Cells) (IF (cc)), Immunofluorescence (Paraffin-embedded Sections) (IF (p)), Immunohistochemistry (Frozen Sections) (IHC (fro))
  • Bindungsspezifität

    • 15
    • 9
    • 5
    • 4
    • 4
    • 4
    • 4
    • 4
    • 3
    • 3
    • 2
    • 2
    • 1
    • 1
    • 1
    • 1
    AA 401-475

    Kreuzreaktivität

    Human, Maus, Ratte

    Homologie

    Cow,Sheep,Pig,Rabbit,Guinea Pig

    Aufreinigung

    Purified by Protein A.

    Immunogen

    KLH conjugated synthetic peptide derived from human LPL

    Isotyp

    IgG
  • Applikationshinweise

    WB 1:300-5000
    ELISA 1:500-1000
    FCM 1:20-100
    IHC-P 1:200-400
    IHC-F 1:100-500
    IF(IHC-P) 1:50-200
    IF(IHC-F) 1:50-200
    IF(ICC) 1:50-200

    Beschränkungen

    Nur für Forschungszwecke einsetzbar
  • Format

    Liquid

    Konzentration

    1 μg/μL

    Buffer

    0.01M TBS( pH 7.4) with 1 % BSA, 0.02 % Proclin300 and 50 % Glycerol.

    Konservierungsmittel

    ProClin

    Vorsichtsmaßnahmen

    This product contains ProClin: a POISONOUS AND HAZARDOUS SUBSTANCE, which should be handled by trained staff only.

    Lagerung

    4 °C,-20 °C

    Informationen zur Lagerung

    Shipped at 4°C. Store at -20°C for one year. Avoid repeated freeze/thaw cycles.

    Haltbarkeit

    12 months
  • Target

    Lipoprotein Lipase (LPL)

    Andere Bezeichnung

    LPL

    Hintergrund

    Synonyms: LIPD, HDLCQ11, Lipoprotein lipase, LPL

    Background: The primary function of this lipase is the hydrolysis of triglycerides of circulating chylomicrons and very low density lipoproteins (VLDL). Binding to heparin sulfate proteogylcans at the cell surface is vital to the function. The apolipoprotein, APOC2, acts as a coactivator of LPL activity in the presence of lipids on the luminal surface of vascular endothelium (By similarity).

    Gen-ID

    4023

    UniProt

    P06858

    Pathways

    Lipid Metabolism
Sie sind hier:
Chat with us!