Telefon:
+49 (0)241 95 163 153
Fax:
+49 (0)241 95 163 155
E-Mail:
orders@antikoerper-online.de

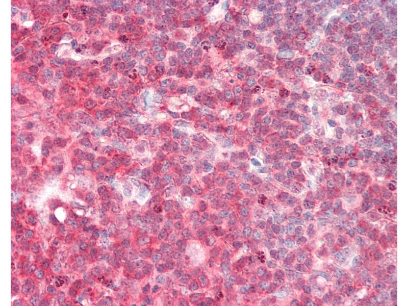
ADA Antikörper (AA 288-337)

Der Kaninchen Polyklonal anti-ADA Antikörper wird verwendet zum Nachweis von ADA in Proben von Human, Maus, Rind (Kuh), Meerschweinchen, Kaninchen, Hamster, Affe und Fledermaus. Er wurde validiert für WB, IHC und IHC (p).
Produktnummer ABIN6755450
512,07 €
Zzgl. Versandkosten 20,00 € und MwSt
100 μL
Lieferung nach: Deutschland
Lieferung in 15 bis 20 Werktagen

Kurzübersicht für ADA Antikörper (AA 288-337) (ABIN6755450)

Target

Alle ADA Antikörper anzeigen
ADA (Adenosine Deaminase (ADA))

Reaktivität

  • 73
  • 33
  • 26
  • 13
  • 2
  • 2
  • 2
  • 2
  • 1
  • 1
  • 1
Human, Maus, Rind (Kuh), Meerschweinchen, Kaninchen, Hamster, Affe, Fledermaus

Wirt

  • 83
  • 19
  • 1
Kaninchen

Klonalität

  • 75
  • 28
Polyklonal

Konjugat

  • 50
  • 9
  • 6
  • 6
  • 4
  • 3
  • 2
  • 2
  • 2
  • 2
  • 2
  • 2
  • 1
  • 1
  • 1
  • 1
  • 1
  • 1
  • 1
  • 1
  • 1
  • 1
  • 1
  • 1
  • 1
Dieser ADA Antikörper ist unkonjugiert

Applikation

  • 91
  • 40
  • 22
  • 21
  • 13
  • 13
  • 12
  • 11
  • 11
  • 6
  • 3
  • 3
  • 2
  • 2
  • 2
  • 1
  • 1
Western Blotting (WB), Immunohistochemistry (IHC), Immunohistochemistry (Paraffin-embedded Sections) (IHC (p))
  • Bindungsspezifität

    • 15
    • 10
    • 8
    • 8
    • 5
    • 4
    • 2
    • 2
    • 2
    • 2
    • 1
    • 1
    • 1
    • 1
    • 1
    • 1
    • 1
    • 1
    AA 288-337

    Spezifität

    Human ADA

    Aufreinigung

    Immunoaffinity purified

    Immunogen

    Synthetic peptide located between aa288-337 of human ADA (P00813, NP_000013). Percent identity by BLAST analysis: Human, Chimpanzee, Gorilla, Gibbon, Monkey, Galago, Marmoset, Mouse, Hamster, Elephant, Bovine, Bat, Rabbit, Guinea pig (100%), Rat, Dog, Horse (92%), Zebra finch, Xenopus (85%).

    Type of Immunogen: Synthetic peptide

    Isotyp

    IgG
  • Applikationshinweise

    Approved: IHC, IHC-P (5 - 10 μg/mL), WB (0.2 - 1 μg/mL)

    Usage: Western Blot: Suggested dilution at 1 μg/mL in 5 % skim milk / PBS buffer, and HRP conjugated anti-Rabbit IgG should be diluted in 1: 50,000 - 100,000 as second antibody. ELISA titer in peptide based assay: 1:62500.

    Kommentare

    Target Species of Antibody: Human

    Beschränkungen

    Nur für Forschungszwecke einsetzbar
  • Format

    Lyophilized

    Rekonstitution

    Distilled water

    Konzentration

    Lot specific

    Buffer

    Lyophilized from PBS with 2 % sucrose

    Handhabung

    Avoid repeat freeze-thaw cycles.

    Lagerung

    4 °C,-20 °C

    Informationen zur Lagerung

    Long term: -20°C, the use of 50% glycerol is recommended if storing aliquots in -20°C for long term use (up to 1 year)
    Short term (less than 1 week): 4°C. Avoid freeze-thaw cycles.
  • Target

    ADA (Adenosine Deaminase (ADA))

    Andere Bezeichnung

    ADA / Adenosine Deaminase

    Hintergrund

    Name/Gene ID: ADA

    Synonyms: ADA, Adenosine deaminase, ADA1, Adenosine aminohydrolase

    Gen-ID

    100

    NCBI Accession

    NP_000013

    Pathways

    Regulation of G-Protein Coupled Receptor Protein Signaling, Ribonucleoside Biosynthetic Process
Sie sind hier:
Chat with us!