Telefon:
+49 (0)241 95 163 153
Fax:
+49 (0)241 95 163 155
E-Mail:
orders@antikoerper-online.de

CIRBP Antikörper (C-Term)

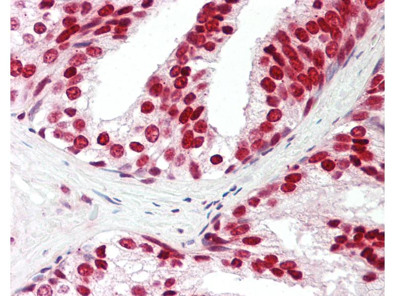
Dieser Kaninchen Polyklonal Antikörper detektiert spezifisch CIRBP in WB, IHC und IHC (p). Es zeigt Reaktivität gegenüber Proben von Human, Meerschweinchen und Affe.
Produktnummer ABIN6755301
512,07 €
Zzgl. Versandkosten 20,00 € und MwSt
100 μL
Lieferung nach: Deutschland
Lieferung in 15 bis 20 Werktagen

Kurzübersicht für CIRBP Antikörper (C-Term) (ABIN6755301)

Target

Alle CIRBP Antikörper anzeigen
CIRBP (Cold Inducible RNA Binding Protein (CIRBP))

Reaktivität

  • 64
  • 29
  • 29
  • 2
  • 2
  • 2
  • 2
  • 1
  • 1
Human, Meerschweinchen, Affe

Wirt

  • 58
  • 5
  • 3
Kaninchen

Klonalität

  • 45
  • 21
Polyklonal

Konjugat

  • 31
  • 4
  • 2
  • 2
  • 2
  • 2
  • 2
  • 2
  • 2
  • 2
  • 1
  • 1
  • 1
  • 1
  • 1
  • 1
  • 1
  • 1
  • 1
  • 1
  • 1
  • 1
  • 1
  • 1
  • 1
Dieser CIRBP Antikörper ist unkonjugiert

Applikation

  • 59
  • 32
  • 22
  • 21
  • 14
  • 14
  • 13
  • 8
  • 7
  • 3
  • 1
  • 1
  • 1
Western Blotting (WB), Immunohistochemistry (IHC), Immunohistochemistry (Paraffin-embedded Sections) (IHC (p))
  • Bindungsspezifität

    • 15
    • 8
    • 4
    • 3
    • 3
    • 2
    • 2
    • 1
    • 1
    C-Term

    Spezifität

    Human CIRBP

    Aufreinigung

    Immunoaffinity purified

    Immunogen

    Synthetic peptide from C-Terminus of human CIRBP (Q14011, NP_001271). Percent identity by BLAST analysis: Human, Chimpanzee, Gorilla, Orangutan, Monkey (100%), Galago, Elephant, Panda, Dog, Bovine, Bat, Pig, Opossum, Turkey, Chicken (92%), Marmoset (85%), Zebra finch, Platypus (84%).

    Type of Immunogen: Synthetic peptide
  • Applikationshinweise

    Approved: IHC, IHC-P (10 μg/mL), WB (0.2 - 1 μg/mL)

    Usage: Western Blot: Suggested dilution at 1 μg/mL in 5 % skim milk / PBS buffer, and HRP conjugated anti-Rabbit IgG should be diluted in 1: 50,000 - 100,000 as secondary antibody.

    Kommentare

    Target Species of Antibody: Human

    Beschränkungen

    Nur für Forschungszwecke einsetzbar
  • Format

    Lyophilized

    Rekonstitution

    Distilled water

    Konzentration

    Lot specific

    Buffer

    Lyophilized from PBS with 2 % sucrose

    Handhabung

    Avoid repeat freeze-thaw cycles.

    Lagerung

    4 °C,-20 °C

    Informationen zur Lagerung

    Long term: -20°C, the use of 50% glycerol is recommended if storing aliquots in -20°C for long term use (up to 1 year)
    Short term (less than 1 week): 4°C. Avoid freeze-thaw cycles.
  • Target

    CIRBP (Cold Inducible RNA Binding Protein (CIRBP))

    Andere Bezeichnung

    CIRP / CIRBP

    Hintergrund

    Name/Gene ID: CIRBP

    Synonyms: CIRBP, A18 hnRNP, A18HNRNP, CIRP

    Gen-ID

    1153

    NCBI Accession

    NP_001271

    Pathways

    Ribonucleoprotein Complex Subunit Organization
Sie sind hier:
Chat with us!