Telefon:
+49 (0)241 95 163 153
Fax:
+49 (0)241 95 163 155
E-Mail:
orders@antikoerper-online.de

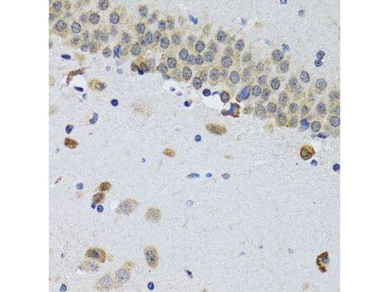
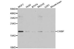
CIRBP Antikörper (AA 1-172)

Der Kaninchen Polyklonal anti-CIRBP Antikörper wird verwendet zum Nachweis von CIRBP in Proben von Human. Er wurde validiert für WB, IHC und IF.
Produktnummer ABIN6138628
385,00 €
Zzgl. Versandkosten 20,00 € und MwSt
Lieferung nach: Deutschland
Lieferung in 7 bis 9 Werktagen

Kurzübersicht für CIRBP Antikörper (AA 1-172) (ABIN6138628)

Target

Alle CIRBP Antikörper anzeigen
CIRBP (Cold Inducible RNA Binding Protein (CIRBP))

Reaktivität

  • 64
  • 29
  • 29
  • 3
  • 2
  • 2
  • 2
  • 1
  • 1
  • 1
Human

Wirt

  • 58
  • 5
  • 3
Kaninchen

Klonalität

  • 45
  • 21
Polyklonal

Konjugat

  • 31
  • 4
  • 2
  • 2
  • 2
  • 2
  • 2
  • 2
  • 2
  • 2
  • 1
  • 1
  • 1
  • 1
  • 1
  • 1
  • 1
  • 1
  • 1
  • 1
  • 1
  • 1
  • 1
  • 1
  • 1
Dieser CIRBP Antikörper ist unkonjugiert

Applikation

  • 59
  • 32
  • 21
  • 21
  • 14
  • 14
  • 13
  • 9
  • 7
  • 3
  • 1
  • 1
  • 1
Western Blotting (WB), Immunohistochemistry (IHC), Immunofluorescence (IF)
  • Bindungsspezifität

    • 15
    • 8
    • 5
    • 3
    • 2
    • 2
    • 2
    • 1
    • 1
    AA 1-172

    Sequenz

    MASDEGKLFV GGLSFDTNEQ SLEQVFSKYG QISEVVVVKD RETQRSRGFG FVTFENIDDA KDAMMAMNGK SVDGRQIRVD QAGKSSDNRS RGYRGGSAGG RGFFRGGRGR GRGFSRGGGD RGYGGNRFES RSGGYGGSRD YYSSRSQSGG YSDRSSGGSY RDSYDSYATH NE

    Kreuzreaktivität

    Human, Maus, Ratte

    Produktmerkmale

    Polyclonal Antibodies

    Aufreinigung

    Affinity purification

    Immunogen

    Recombinant fusion protein containing a sequence corresponding to amino acids 1-172 of human CIRBP (NP_001271.1).

    Isotyp

    IgG
  • Applikationshinweise

    WB,1:500 - 1:2000,IHC,1:50 - 1:100,IF,1:10 - 1:100

    Kommentare

    HIGH QUALITY

    Beschränkungen

    Nur für Forschungszwecke einsetzbar
  • Format

    Liquid

    Buffer

    PBS with 0.02 % sodium azide,50 % glycerol, pH 7.3.

    Konservierungsmittel

    Sodium azide

    Vorsichtsmaßnahmen

    This product contains Sodium azide: a POISONOUS AND HAZARDOUS SUBSTANCE which should be handled by trained staff only.

    Lagerung

    -20 °C

    Informationen zur Lagerung

    Store at -20°C. Avoid freeze / thaw cycles.
  • Target

    CIRBP (Cold Inducible RNA Binding Protein (CIRBP))

    Andere Bezeichnung

    CIRBP

    Hintergrund

    Cold-inducible mRNA binding protein that plays a protective role in the genotoxic stress response by stabilizing transcripts of genes involved in cell survival. Acts as a translational activator. Seems to play an essential role in cold-induced suppression of cell proliferation. Binds specifically to the 3'-untranslated regions (3'-UTRs of stress-responsive transcripts RPA2 and TXN. Acts as a translational repressor (By similarity. Promotes assembly of stress granules (SGs, when overexpressed.,CIRBP,CIRP,Epigenetics & Nuclear Signaling,RNA Binding,Cell Biology & Developmental Biology,Cell Cycle,CIRBP

    Molekulargewicht

    18 kDa/26 kDa/28 kDa

    Gen-ID

    1153

    UniProt

    Q14011

    Pathways

    Ribonucleoprotein Complex Subunit Organization
Sie sind hier:
Chat with us!