Telefon:
+49 (0)241 95 163 153
Fax:
+49 (0)241 95 163 155
E-Mail:
orders@antikoerper-online.de

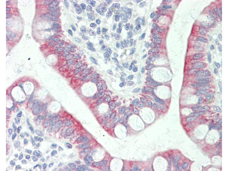
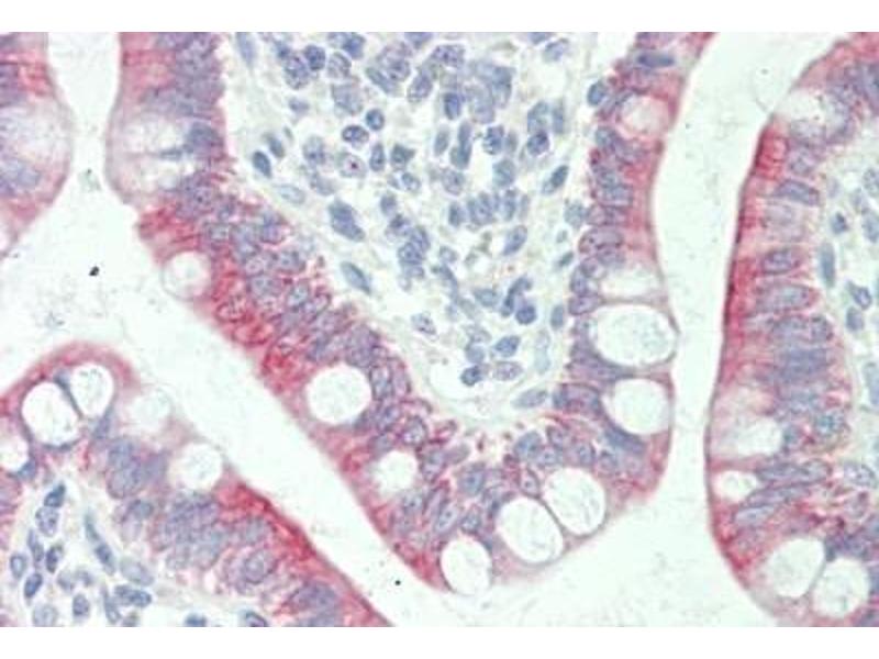
SLC41A1 Antikörper (AA 36-85)

Der Kaninchen Polyklonal anti-SLC41A1 Antikörper (ABIN6752965) detektiert spezifisch SLC41A1 in WB, IHC und IHC (p). Dieser Antikörper reagiert spezifisch mit Proben aus Human, Maus, Ratte, Hund, Meerschweinchen, Pferd, Affe und Schwein.
Produktnummer ABIN6752965
512,07 €
Zzgl. Versandkosten 20,00 € und MwSt
100 μL
Lieferung nach: Deutschland
Lieferung in 15 bis 20 Werktagen

Kurzübersicht für SLC41A1 Antikörper (AA 36-85) (ABIN6752965)

Target

Alle SLC41A1 Antikörper anzeigen
SLC41A1 (Solute Carrier Family 41, Member 1 (SLC41A1))

Reaktivität

  • 8
  • 4
  • 3
  • 1
  • 1
  • 1
  • 1
  • 1
  • 1
Human, Maus, Ratte, Hund, Meerschweinchen, Pferd, Affe, Schwein

Wirt

  • 8
Kaninchen

Klonalität

  • 8
Polyklonal

Konjugat

  • 5
  • 1
  • 1
  • 1
Dieser SLC41A1 Antikörper ist unkonjugiert

Applikation

  • 5
  • 3
  • 1
  • 1
Western Blotting (WB), Immunohistochemistry (IHC), Immunohistochemistry (Paraffin-embedded Sections) (IHC (p))
  • Bindungsspezifität

    • 4
    • 2
    AA 36-85

    Spezifität

    Human SLC41A1

    Aufreinigung

    Immunoaffinity purified

    Immunogen

    Synthetic peptide located between aa36-85 of human SLC41A1 (Q8IVJ1, NP_776253). Percent identity by BLAST analysis: Human, Chimpanzee, Gorilla, Orangutan, Gibbon, Monkey, Galago, Marmoset, Mouse, Rat, Elephant, Dog, Horse, Pig, Opossum, Guinea pig (100%), Panda, Bovine, Rabbit, Turkey, Zebra finch, Chicken (92%), Seabass, Zebrafish (91%), Platypus (84%).

    Type of Immunogen: Synthetic peptide

    Isotyp

    IgG
  • Applikationshinweise

    Approved: IHC, IHC-P (10 μg/mL), WB (0.2 - 1 μg/mL)

    Usage: Western Blot: Suggested dilution at 1 μg/mL in 5 % skim milk / PBS buffer, and HRP conjugated anti-Rabbit IgG should be diluted in 1: 50,000 - 100,000 as second antibody. ELISA titer in peptide based assay: 1:312500.

    Kommentare

    Target Species of Antibody: Human

    Beschränkungen

    Nur für Forschungszwecke einsetzbar
  • Format

    Lyophilized

    Rekonstitution

    Distilled water

    Konzentration

    Lot specific

    Buffer

    Lyophilized from PBS with 2 % sucrose

    Handhabung

    Avoid repeat freeze-thaw cycles.

    Lagerung

    4 °C,-20 °C

    Informationen zur Lagerung

    Long term: -20°C, the use of 50% glycerol is recommended if storing aliquots in -20°C for long term use (up to 1 year)
    Short term (less than 1 week): 4°C. Avoid freeze-thaw cycles.
  • Target

    SLC41A1 (Solute Carrier Family 41, Member 1 (SLC41A1))

    Andere Bezeichnung

    SLC41A1

    Hintergrund

    Name/Gene ID: SLC41A1

    Synonyms: SLC41A1, MgtE

    Gen-ID

    254428

    NCBI Accession

    NP_776253
Sie sind hier:
Chat with us!