Telefon:
+49 (0)241 95 163 153
Fax:
+49 (0)241 95 163 155
E-Mail:
orders@antikoerper-online.de

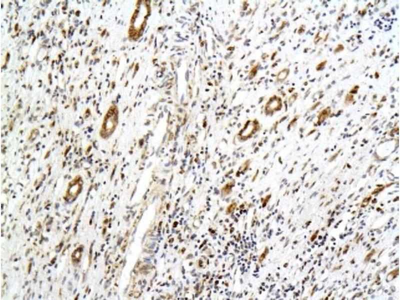
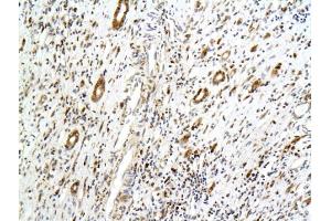
PODXL Antikörper (AA 451-558)

Zitiert in 1 Publikation. Der Kaninchen Polyklonal anti-PODXL Antikörper (ABIN675264) detektiert spezifisch PODXL in WB, ELISA, FACS, IHC (p), IF (p), IHC (fro) und IF (cc). Dieser Antikörper reagiert spezifisch mit Proben aus Human, Ratte und Maus.
Produktnummer ABIN675264
357,70 €
Zzgl. Versandkosten 20,00 € und MwSt
100 μL
Lieferung nach: Deutschland
Lieferung in 8 bis 12 Werktagen

Kurzübersicht für PODXL Antikörper (AA 451-558) (ABIN675264)

Target

Alle PODXL Antikörper anzeigen
PODXL (Podocalyxin-Like (PODXL))

Reaktivität

  • 121
  • 26
  • 15
  • 10
  • 1
  • 1
Human, Ratte, Maus

Wirt

  • 76
  • 57
  • 2
  • 1
Kaninchen

Klonalität

  • 89
  • 47
Polyklonal

Konjugat

  • 62
  • 10
  • 9
  • 6
  • 3
  • 3
  • 3
  • 3
  • 3
  • 3
  • 3
  • 3
  • 3
  • 3
  • 3
  • 3
  • 3
  • 3
  • 3
  • 2
  • 1
  • 1
Dieser PODXL Antikörper ist unkonjugiert

Applikation

  • 76
  • 62
  • 40
  • 35
  • 34
  • 28
  • 20
  • 19
  • 9
  • 9
  • 5
  • 4
  • 1
  • 1
  • 1
Western Blotting (WB), ELISA, Flow Cytometry (FACS), Immunohistochemistry (Paraffin-embedded Sections) (IHC (p)), Immunofluorescence (Paraffin-embedded Sections) (IF (p)), Immunohistochemistry (Frozen Sections) (IHC (fro)), Immunofluorescence (Cultured Cells) (IF (cc))
  • Bindungsspezifität

    • 21
    • 19
    • 9
    • 9
    • 5
    • 4
    • 3
    • 2
    • 2
    • 2
    • 2
    • 2
    • 1
    • 1
    • 1
    • 1
    • 1
    • 1
    • 1
    • 1
    • 1
    • 1
    AA 451-558

    Kreuzreaktivität

    Human, Maus, Ratte

    Aufreinigung

    Purified by Protein A.

    Immunogen

    KLH conjugated synthetic peptide derived from human Podocalyxin

    Isotyp

    IgG
  • Applikationshinweise

    WB 1:300-5000
    ELISA 1:500-1000
    FCM 1:20-100
    IHC-P 1:200-400
    IHC-F 1:100-500
    IF(IHC-P) 1:50-200
    IF(IHC-F) 1:50-200
    IF(ICC) 1:50-200

    Beschränkungen

    Nur für Forschungszwecke einsetzbar
  • Format

    Liquid

    Konzentration

    1 μg/μL

    Buffer

    0.01M TBS( pH 7.4) with 1 % BSA, 0.02 % Proclin300 and 50 % Glycerol.

    Konservierungsmittel

    ProClin

    Vorsichtsmaßnahmen

    This product contains ProClin: a POISONOUS AND HAZARDOUS SUBSTANCE, which should be handled by trained staff only.

    Lagerung

    4 °C,-20 °C

    Informationen zur Lagerung

    Shipped at 4°C. Store at -20°C for one year. Avoid repeated freeze/thaw cycles.

    Haltbarkeit

    12 months
  • Xing, Ye, Chen, Hu, Chen: "Hydrochloride pioglitazone protects diabetic rats against podocyte injury through preserving glomerular podocalyxin expression." in: Arquivos brasileiros de endocrinologia e metabologia, Vol. 58, Issue 6, pp. 630-9, (2014) (PubMed).

  • Target

    PODXL (Podocalyxin-Like (PODXL))

    Andere Bezeichnung

    Podocalyxin

    Hintergrund

    Synonyms: PC, PCLP, Gp2, PCLP-1, Podocalyxin, GCTM-2 antigen, Podocalyxin-like protein 1, PODXL, PCLP1

    Background: Involved in the regulation of both adhesion and cell morphology and cancer progression. Function as an anti-adhesive molecule that maintains an open filtration pathway between neighboring foot processes in the podocyte by charge repulsion. Acts as a pro-adhesive molecule, enhancing the adherence of cells to immobilized ligands, increasing the rate of migration and cell-cell contacts in an integrin-dependent manner. Induces the formation of apical actin-dependent microvilli. Involved in the formation of a preapical plasma membrane subdomain to set up inital epithelial polarization and the apical lumen formation during renal tubulogenesis. Plays a role in cancer development and aggressiveness by inducing cell migration and invasion through its interaction with the actin-binding protein EZR. Affects EZR-dependent signaling events, leading to increased activities of the MAPK and PI3K pathways in cancer cells.

    Gen-ID

    5420

    UniProt

    O00592

    Pathways

    Tube Formation
Sie sind hier:
Chat with us!