Telefon:
+49 (0)241 95 163 153
Fax:
+49 (0)241 95 163 155
E-Mail:
orders@antikoerper-online.de

PODXL Antikörper

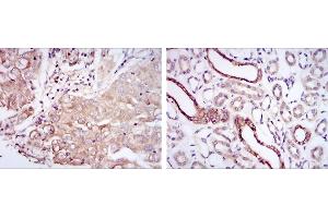
Es gibt 1 Publikation für dieses Produkt. Der Maus Monoklonal anti-PODXL Antikörper wird verwendet zum Nachweis von PODXL in Proben von Human. Er wurde validiert für WB, IHC, ELISA und FACS.
Produktnummer ABIN969356
657,84 €
Zzgl. Versandkosten 20,00 € und MwSt
100 μL
Lieferung nach: Deutschland
Lieferung in 7 bis 10 Werktagen

Kurzübersicht für PODXL Antikörper (ABIN969356)

Target

Alle PODXL Antikörper anzeigen
PODXL (Podocalyxin-Like (PODXL))

Reaktivität

  • 121
  • 27
  • 15
  • 11
  • 1
  • 1
Human

Wirt

  • 75
  • 58
  • 2
  • 1
Maus

Klonalität

  • 88
  • 48
Monoklonal

Konjugat

  • 62
  • 10
  • 9
  • 6
  • 3
  • 3
  • 3
  • 3
  • 3
  • 3
  • 3
  • 3
  • 3
  • 3
  • 3
  • 3
  • 3
  • 3
  • 3
  • 2
  • 1
  • 1
Dieser PODXL Antikörper ist unkonjugiert

Applikation

  • 76
  • 61
  • 40
  • 35
  • 34
  • 28
  • 20
  • 19
  • 10
  • 9
  • 5
  • 4
  • 1
  • 1
  • 1
  • 1
  • 1
  • 1
Western Blotting (WB), Immunohistochemistry (IHC), ELISA, Flow Cytometry (FACS)

Klon

5F5
  • Verwendungszweck

    PODXL Antibody

    Aufreinigung

    Ascitic fluid

    Immunogen

    Purified recombinant fragment of human PODXL expressed in E. Coli.

    Isotyp

    IgG1
  • Applikationshinweise

    ELISA: 1/10000

    FCM: 1/200 - 1/400

    Beschränkungen

    Nur für Forschungszwecke einsetzbar
  • Format

    Liquid

    Buffer

    Ascitic fluid containing 0.03 % sodium azide.

    Konservierungsmittel

    Sodium azide

    Vorsichtsmaßnahmen

    This product contains Sodium azide: a POISONOUS AND HAZARDOUS SUBSTANCE which should be handled by trained staff only.

    Lagerung

    4 °C,-20 °C

    Informationen zur Lagerung

    Store at 4°C short term. Aliquot and store at -20°C long term. Avoid freeze/thaw cycles.
  • Thomas, Schnaar, Konstantopoulos: "Podocalyxin-like protein is an E-/L-selectin ligand on colon carcinoma cells: comparative biochemical properties of selectin ligands in host and tumor cells." in: American journal of physiology. Cell physiology, Vol. 296, Issue 3, pp. C505-13, (2009) (PubMed).

  • Target

    PODXL (Podocalyxin-Like (PODXL))

    Andere Bezeichnung

    PODXL

    Hintergrund

    This gene encodes a member of the sialomucin protein family. The encoded protein was originally identified as an important component of glomerular podocytes. Podocytes are highly differentiated epithelial cells with interdigitating foot processes covering the outer aspect of the glomerular basement membrane. Other biological activities of the encoded protein include: binding in a membrane protein complex with Na+/H+ exchanger regulatory factor to intracellular cytoskeletal elements, playing a role in hematopoetic cell differentiation, and being expressed in vascular endothelium cells and binding to L-selectin. (provided by RefSeq)Tissue specificity: Glomerular epithelium cell (podocyte)

    Molekulargewicht

    49 kDa

    UniProt

    O00592

    Pathways

    Tube Formation
Sie sind hier:
Chat with us!