Telefon:
+49 (0)241 95 163 153
Fax:
+49 (0)241 95 163 155
E-Mail:
orders@antikoerper-online.de

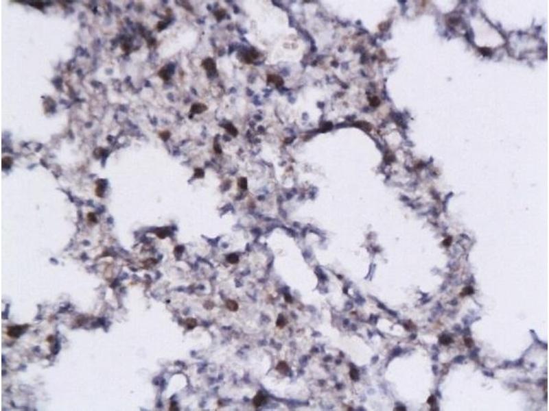
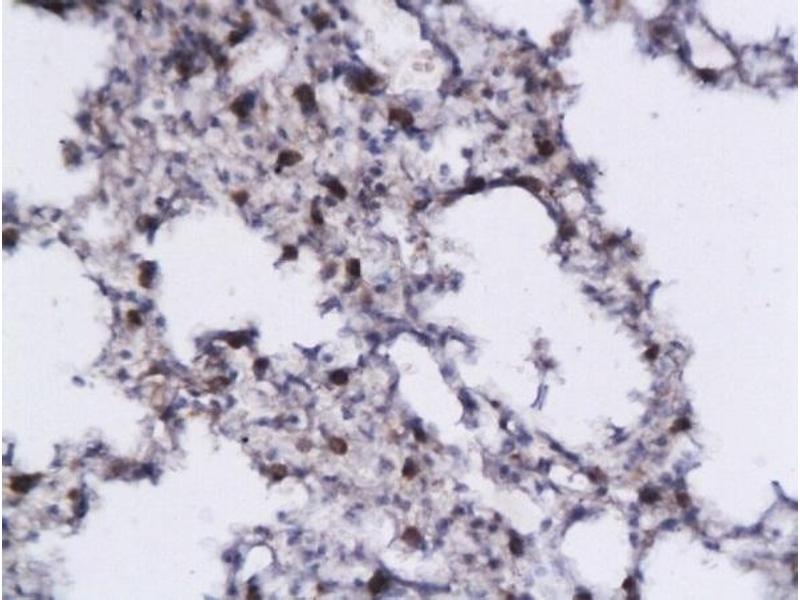
IL-5 Antikörper (AA 56-132)

Der Kaninchen Polyklonal anti-IL-5 Antikörper (ABIN674904) detektiert spezifisch IL-5 in WB, ELISA, IF (cc), IF (p), IHC (p) und IHC (fro). Dieser Antikörper reagiert spezifisch mit Proben aus Human, Maus und Ratte.
Produktnummer ABIN674904
357,70 €
Zzgl. Versandkosten 20,00 € und MwSt
100 μL
Lieferung nach: Deutschland
Lieferung in 8 bis 12 Werktagen

Kurzübersicht für IL-5 Antikörper (AA 56-132) (ABIN674904)

Target

Alle IL-5 (IL5) Antikörper anzeigen
IL-5 (IL5) (Interleukin 5 (IL5))

Reaktivität

  • 96
  • 49
  • 19
  • 9
  • 6
  • 4
  • 4
  • 3
  • 3
  • 2
  • 2
  • 1
  • 1
  • 1
  • 1
  • 1
Human, Maus, Ratte

Wirt

  • 52
  • 45
  • 25
  • 12
  • 2
Kaninchen

Klonalität

  • 82
  • 50
  • 3
Polyklonal

Konjugat

  • 85
  • 15
  • 8
  • 7
  • 4
  • 3
  • 1
  • 1
  • 1
  • 1
  • 1
  • 1
  • 1
  • 1
  • 1
  • 1
  • 1
  • 1
  • 1
Dieser IL-5 Antikörper ist unkonjugiert

Applikation

  • 70
  • 52
  • 27
  • 24
  • 21
  • 15
  • 14
  • 12
  • 12
  • 11
  • 7
  • 6
  • 5
  • 5
  • 4
  • 4
  • 4
  • 3
  • 3
  • 3
  • 2
  • 2
  • 1
  • 1
  • 1
  • 1
Western Blotting (WB), ELISA, Immunofluorescence (Cultured Cells) (IF (cc)), Immunofluorescence (Paraffin-embedded Sections) (IF (p)), Immunohistochemistry (Paraffin-embedded Sections) (IHC (p)), Immunohistochemistry (Frozen Sections) (IHC (fro))
  • Bindungsspezifität

    • 14
    • 14
    • 2
    • 2
    • 1
    • 1
    • 1
    • 1
    • 1
    • 1
    • 1
    • 1
    AA 56-132

    Kreuzreaktivität

    Human, Maus, Ratte

    Aufreinigung

    Purified by Protein A.

    Immunogen

    KLH conjugated synthetic peptide derived from mouse IL-5

    Isotyp

    IgG
  • Applikationshinweise

    WB 1:300-5000
    ELISA 1:500-1000
    IHC-P 1:200-400
    IHC-F 1:100-500
    IF(IHC-P) 1:50-200
    IF(IHC-F) 1:50-200
    IF(ICC) 1:50-200

    Beschränkungen

    Nur für Forschungszwecke einsetzbar
  • Format

    Liquid

    Konzentration

    1 μg/μL

    Buffer

    0.01M TBS( pH 7.4) with 1 % BSA, 0.02 % Proclin300 and 50 % Glycerol.

    Konservierungsmittel

    ProClin

    Vorsichtsmaßnahmen

    This product contains ProClin: a POISONOUS AND HAZARDOUS SUBSTANCE, which should be handled by trained staff only.

    Lagerung

    4 °C,-20 °C

    Informationen zur Lagerung

    Shipped at 4°C. Store at -20°C for one year. Avoid repeated freeze/thaw cycles.

    Haltbarkeit

    12 months
  • Target

    IL-5 (IL5) (Interleukin 5 (IL5))

    Andere Bezeichnung

    IL-5

    Hintergrund

    Synonyms: Il-5, Interleukin-5, B-cell growth factor II, BCGF-II, Cytotoxic T-lymphocyte inducer, Eosinophil differentiation factor, T-cell replacing factor, TRF, Il5

    Background: Factor that induces terminal differentiation of late-developing B-cells to immunoglobulin secreting cells.

    Gen-ID

    16191

    UniProt

    P04401

    Pathways

    JAK-STAT Signalweg, Positive Regulation of Peptide Hormone Secretion, Production of Molecular Mediator of Immune Response, Feeding Behaviour
Sie sind hier:
Chat with us!