Telefon:
+49 (0)241 95 163 153
Fax:
+49 (0)241 95 163 155
E-Mail:
orders@antikoerper-online.de

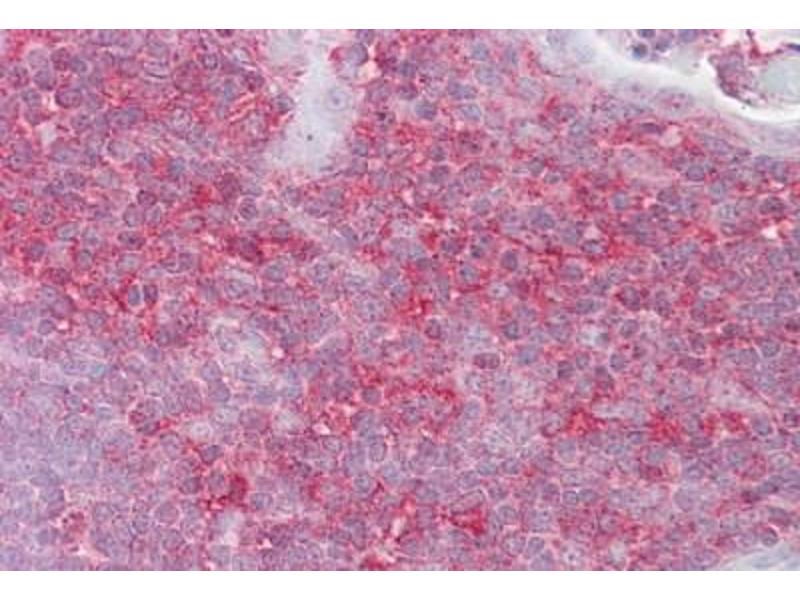
KIF2A Antikörper (AA 72-121)

Der Kaninchen Polyklonal anti-KIF2A Antikörper wird verwendet zum Nachweis von KIF2A in Proben von Human, Maus, Rind (Kuh) und Pferd. Er wurde validiert für IHC, WB und IHC (p).
Produktnummer ABIN6748494
512,07 €
Zzgl. Versandkosten 20,00 € und MwSt
100 μL
Lieferung nach: Deutschland
Lieferung in 15 bis 20 Werktagen

Kurzübersicht für KIF2A Antikörper (AA 72-121) (ABIN6748494)

Target

Alle KIF2A Antikörper anzeigen
KIF2A (Kinesin Heavy Chain Member 2A (KIF2A))

Reaktivität

  • 29
  • 27
  • 27
  • 5
  • 5
  • 4
  • 4
  • 4
  • 3
  • 3
  • 2
  • 2
  • 2
  • 1
  • 1
Human, Maus, Rind (Kuh), Pferd

Wirt

  • 42
  • 2
Kaninchen

Klonalität

  • 42
  • 2
Polyklonal

Konjugat

  • 20
  • 3
  • 2
  • 2
  • 1
  • 1
  • 1
  • 1
  • 1
  • 1
  • 1
  • 1
  • 1
  • 1
  • 1
  • 1
  • 1
  • 1
  • 1
  • 1
  • 1
Dieser KIF2A Antikörper ist unkonjugiert

Applikation

  • 17
  • 13
  • 13
  • 12
  • 8
  • 5
  • 4
  • 3
  • 3
  • 2
  • 1
  • 1
Immunohistochemistry (IHC), Western Blotting (WB), Immunohistochemistry (Paraffin-embedded Sections) (IHC (p))
  • Bindungsspezifität

    • 15
    • 5
    • 3
    • 3
    • 2
    • 1
    • 1
    • 1
    • 1
    • 1
    AA 72-121

    Spezifität

    Human KIF2A

    Homologie

    Percent identity by BLAST analysis: Human (100%) Rat, Dog, Rabbit, Guinea pig (92%) Bovine, Horse (85%).

    Aufreinigung

    Immunoaffinity purified

    Immunogen

    Synthetic peptide located between aa72-121 of human KIF2A (O00139, NP_004511). Percent identity by BLAST analysis: Human (100%), Gorilla, Orangutan, Gibbon, Monkey, Rat, Elephant, Panda, Dog, Bat, Rabbit, Guinea pig (92%), Galago, Marmoset, Bovine, Horse (85%), Mouse (78%).

    Type of Immunogen: Synthetic peptide
  • Applikationshinweise

    Approved: IHC, IHC-P (5 μg/mL), WB (0.2 - 1 μg/mL)

    Usage: Western Blot: Suggested dilution at 1 μg/mL in 5 % skim milk / PBS buffer, and HRP conjugated anti-Rabbit IgG should be diluted in 1: 50,000 - 100,000 as secondary antibody.

    Kommentare

    Target Species of Antibody: Human

    Beschränkungen

    Nur für Forschungszwecke einsetzbar
  • Format

    Lyophilized

    Rekonstitution

    Distilled water

    Konzentration

    Lot specific

    Buffer

    Lyophilized from PBS with 2 % sucrose

    Handhabung

    Avoid freeze-thaw cycles.

    Lagerung

    4 °C,-20 °C

    Informationen zur Lagerung

    Long term: -20°C, the use of 50% glycerol is recommended if storing aliquots in -20°C for long term use (up to 1 year)
    Short term (less than 1 week): 4°C. Avoid freeze-thaw cycles.
  • Target

    KIF2A (Kinesin Heavy Chain Member 2A (KIF2A))

    Andere Bezeichnung

    KIF2A / Kinesin-2

    Hintergrund

    Name/Gene ID: KIF2A

    Synonyms: KIF2A, KNS2, KIF2, Kinesin heavy chain member 2A, Kinesin heavy chain member 2, Kinesin, heavy chain, 2, Kinesin-like protein KIF2A, Kinesin-2

    Gen-ID

    3796

    NCBI Accession

    NP_004511

    UniProt

    O00139

    Pathways

    Microtubule Dynamics, Ribonucleoprotein Complex Subunit Organization
Sie sind hier:
Chat with us!