Telefon:
+49 (0)241 95 163 153
Fax:
+49 (0)241 95 163 155
E-Mail:
orders@antikoerper-online.de

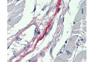
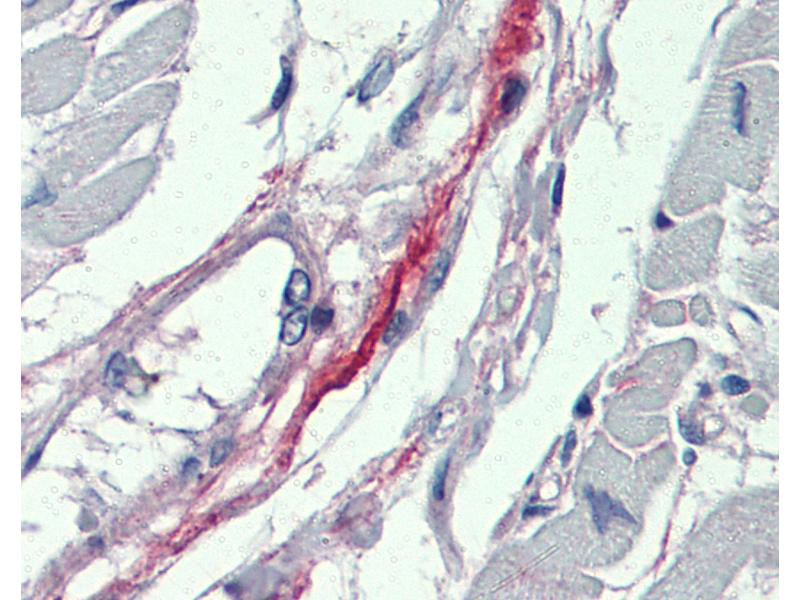
DDAH2 Antikörper (N-Term)

Der Kaninchen Polyklonal anti-DDAH2 Antikörper (ABIN6744442) detektiert spezifisch DDAH2 in WB, IHC und IHC (p). Dieser Antikörper reagiert spezifisch mit Proben aus Human, Maus, Ratte, Hund, Pferd, Kaninchen und Fledermaus.
Produktnummer ABIN6744442
512,07 €
Zzgl. Versandkosten 20,00 € und MwSt
100 μL
Lieferung nach: Deutschland
Lieferung in 15 bis 20 Werktagen

Kurzübersicht für DDAH2 Antikörper (N-Term) (ABIN6744442)

Target

Alle DDAH2 Antikörper anzeigen
DDAH2 (Dimethylarginine Dimethylaminohydrolase 2 (DDAH2))

Reaktivität

Human, Maus, Ratte, Hund, Pferd, Kaninchen, Fledermaus

Wirt

  • 46
  • 4
  • 1
Kaninchen

Klonalität

  • 29
  • 22
Polyklonal

Konjugat

  • 24
  • 4
  • 3
  • 3
  • 3
  • 3
  • 3
  • 3
  • 2
  • 1
  • 1
  • 1
Dieser DDAH2 Antikörper ist unkonjugiert

Applikation

  • 31
  • 13
  • 13
  • 12
  • 7
  • 3
  • 3
  • 2
  • 1
  • 1
  • 1
  • 1
  • 1
Western Blotting (WB), Immunohistochemistry (IHC), Immunohistochemistry (Paraffin-embedded Sections) (IHC (p))
  • Bindungsspezifität

    • 9
    • 3
    • 2
    • 2
    • 1
    • 1
    • 1
    N-Term

    Spezifität

    Human DDAH2

    Homologie

    Percent identity by BLAST analysis: Human, Mouse, Rat, Dog, Horse (100%) Bovine (92%).

    Aufreinigung

    Immunoaffinity purified

    Immunogen

    Synthetic peptide from N-Terminus of human DDAH2 (O95865, NP_039268). Percent identity by BLAST analysis: Human, Chimpanzee, Gorilla, Gibbon, Galago, Marmoset, Mouse, Rat, Panda, Dog, Bat, Horse (100%), Monkey, Bovine (92%), Elephant (85%).

    Type of Immunogen: Synthetic peptide

    Isotyp

    IgG
  • Applikationshinweise

    Approved: IHC, IHC-P (5 μg/mL), WB (1 μg/mL)

    Usage: Immunohistochemistry: This antibody was validated for use in immunohistochemistry on a panel of 21 formalin-fixed, paraffin-embedded (FFPE) human tissues after heat induced antigen retrieval in  pH 6.0 citrate buffer. After incubation with the primary antibody, slides were incubated with biotinylated secondary antibody, followed by alkaline phosphatase-streptavidin and chromogen. The stained slides were evaluated by a pathologist to confirm staining specificity. The optimal working concentration for this antibody was determined to be 5 μg/mL. Western Blot: Suggested dilution at 1 μg/mL in 5 % skim milk / PBS buffer, and HRP conjugated anti-Rabbit IgG should be diluted in 1: 50,000 - 100,000 as second antibody. ELISA titer in peptide based assay: 1:1562500.

    Kommentare

    Target Species of Antibody: Human

    Beschränkungen

    Nur für Forschungszwecke einsetzbar
  • Format

    Lyophilized

    Rekonstitution

    Distilled water

    Konzentration

    Lot specific

    Buffer

    Lyophilized from PBS with 2 % sucrose

    Handhabung

    Avoid repeat freeze-thaw cycles.

    Lagerung

    4 °C,-20 °C

    Informationen zur Lagerung

    Long term: -20°C, the use of 50% glycerol is recommended if storing aliquots in -20°C for long term use (up to 1 year)
    Short term (less than 1 week): 4°C. Avoid freeze-thaw cycles.
  • Target

    DDAH2 (Dimethylarginine Dimethylaminohydrolase 2 (DDAH2))

    Andere Bezeichnung

    DDAH2 / DDAH

    Hintergrund

    Name/Gene ID: DDAH2

    Synonyms: DDAH2, DDAH, DDAH-2, DDAHII, G6a, Alternative name: NG30, G6a, Unknown, Dimethylargininase-2, NG30, Protein G6a, S-phase protein

    Gen-ID

    23564

    NCBI Accession

    NP_039268

    UniProt

    O95865
Sie sind hier:
Chat with us!