Telefon:
+49 (0)241 95 163 153
Fax:
+49 (0)241 95 163 155
E-Mail:
orders@antikoerper-online.de

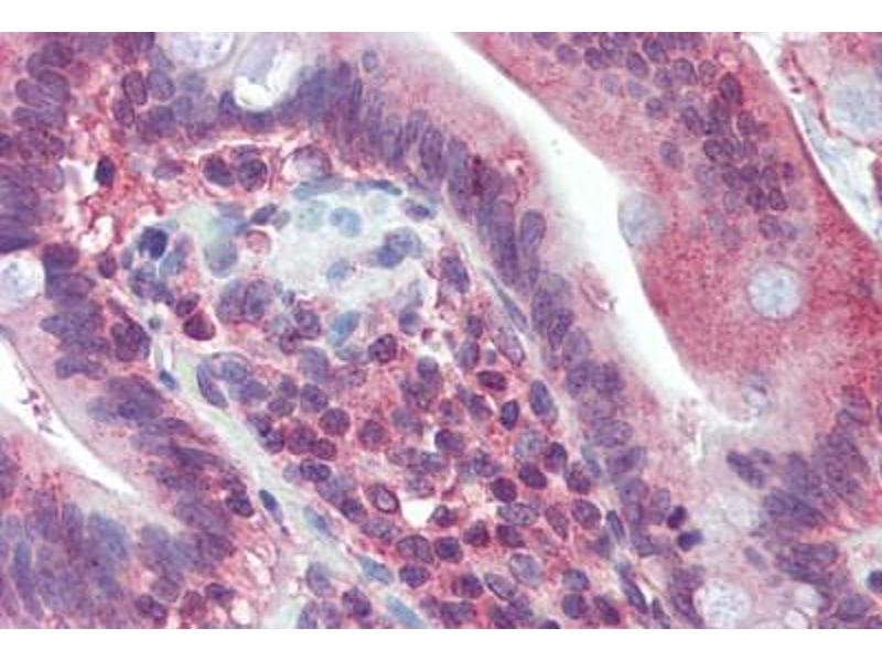
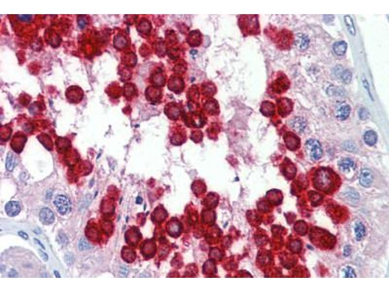
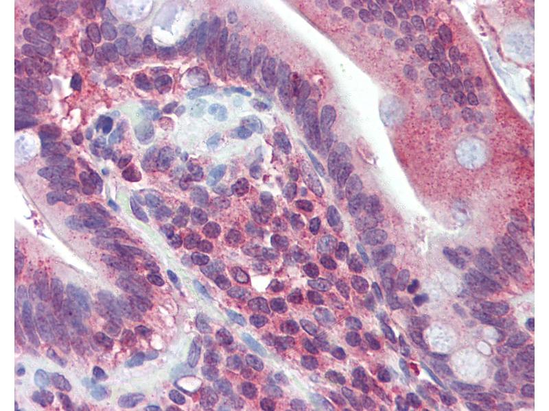
JAZF1 Antikörper (C-Term)

Dieser Kaninchen Polyklonal Antikörper detektiert spezifisch JAZF1 in WB, IHC und IHC (p). Es zeigt Reaktivität gegenüber Proben von Human, Maus, Zebrafisch (Danio rerio), Ratte, Meerschweinchen, Pferd, Kaninchen, Hund, Huhn, Rind (Kuh), Affe, Fledermaus, Schwein und Xenopus laevis.
Produktnummer ABIN6741585
512,07 €
Zzgl. Versandkosten 20,00 € und MwSt
100 μL
Lieferung nach: Deutschland
Lieferung in 15 bis 20 Werktagen

Kurzübersicht für JAZF1 Antikörper (C-Term) (ABIN6741585)

Target

Alle JAZF1 Antikörper anzeigen
JAZF1 (JAZF Zinc Finger 1 (JAZF1))

Reaktivität

Human, Maus, Zebrafisch (Danio rerio), Ratte, Meerschweinchen, Pferd, Kaninchen, Hund, Huhn, Rind (Kuh), Affe, Fledermaus, Schwein, Xenopus laevis

Wirt

  • 20
  • 4
Kaninchen

Klonalität

  • 23
  • 1
Polyklonal

Konjugat

  • 17
  • 1
  • 1
  • 1
  • 1
  • 1
  • 1
  • 1
Dieser JAZF1 Antikörper ist unkonjugiert

Applikation

  • 16
  • 3
  • 3
  • 2
  • 1
  • 1
  • 1
Western Blotting (WB), Immunohistochemistry (IHC), Immunohistochemistry (Paraffin-embedded Sections) (IHC (p))
  • Bindungsspezifität

    • 4
    • 4
    • 2
    • 1
    • 1
    • 1
    • 1
    • 1
    C-Term

    Spezifität

    Human JAZF1

    Homologie

    Percent identity by BLAST analysis: Human, Mouse, Rat, Dog, Bovine, Rabbit, Horse, Pig, Guinea pig, Chicken, Zebrafish (100%).

    Aufreinigung

    Immunoaffinity purified

    Immunogen

    Synthetic peptide from C-Terminus of human JAZF1 (Q86VZ6, NP_778231). Percent identity by BLAST analysis: Human, Chimpanzee, Gorilla, Orangutan, Gibbon, Monkey, Galago, Marmoset, Mouse, Rat, Elephant, Dog, Bovine, Bat, Rabbit, Horse, Pig, Opossum, Guinea pig, Turkey, Zebra finch, Chicken, Platypus, Xenopus, Pufferfish, Zebrafish (100%).

    Type of Immunogen: Synthetic peptide

    Isotyp

    IgG
  • Applikationshinweise

    Approved: IHC, IHC-P (5 - 7.5 μg/mL), WB (0.2 - 1 μg/mL)

    Usage: Immunohistochemistry: This antibody was validated for use in immunohistochemistry on a panel of 21 formalin-fixed, paraffin-embedded (FFPE) human tissues after heat induced antigen retrieval in  pH 6.0 citrate buffer. After incubation with the primary antibody, slides were incubated with biotinylated secondary antibody, followed by alkaline phosphatase-streptavidin and chromogen. The stained slides were evaluated by a pathologist to confirm staining specificity. The optimal working concentration for this antibody was determined to be 10 μg/mL. ELISA titer using peptide based assay: 1:312500. Western Blot: Suggested dilution at 1 μg/mL in 5 % skim milk / PBS buffer, and HRP conjugated anti-Rabbit IgG should be diluted in 1:50000 - 100000 as second antibody.

    Kommentare

    Target Species of Antibody: Human

    Beschränkungen

    Nur für Forschungszwecke einsetzbar
  • Format

    Lyophilized

    Rekonstitution

    Distilled Water.

    Konzentration

    Lot specific

    Buffer

    Lyophilized from PBS with 2 % sucrose

    Handhabung

    Avoid repeat freeze-thaw cycles.

    Lagerung

    4 °C,-20 °C

    Informationen zur Lagerung

    Long term: -20°C, the use of 50% glycerol is recommended if storing aliquots in -20°C for long term use (up to 1 year)
    Short term (less than 1 week): 4°C. Avoid freeze-thaw cycles.
  • Target

    JAZF1 (JAZF Zinc Finger 1 (JAZF1))

    Andere Bezeichnung

    JAZF1

    Hintergrund

    Name/Gene ID: JAZF1

    Synonyms: JAZF1, ZNF802, TIP27, Zinc finger protein 802, JAZF zinc finger 1, TAK1-interacting protein 27

    Gen-ID

    221895

    NCBI Accession

    NP_778231

    UniProt

    Q86VZ6
Sie sind hier:
Chat with us!