Telefon:
+49 (0)241 95 163 153
Fax:
+49 (0)241 95 163 155
E-Mail:
orders@antikoerper-online.de

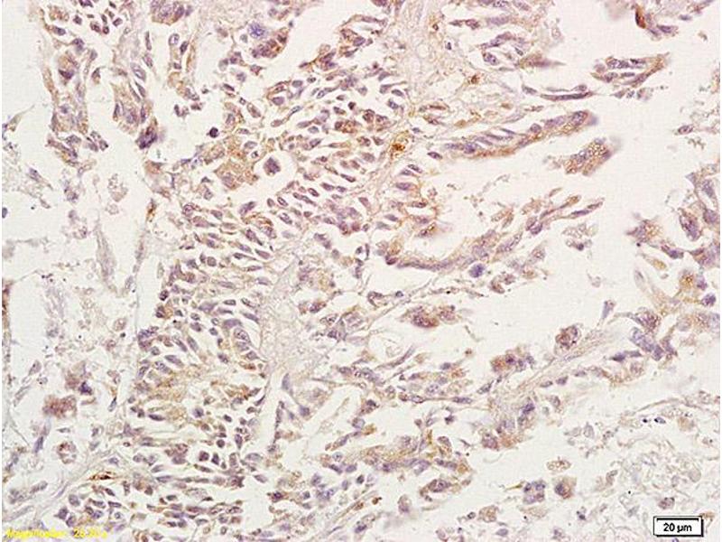
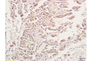
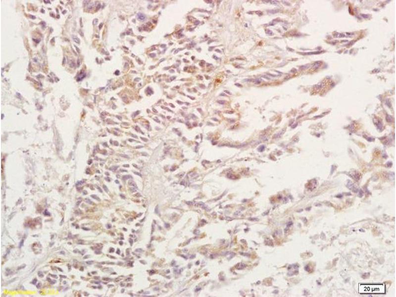
Adenosine A3 Receptor Antikörper (AA 85-180)

Der Kaninchen Polyklonal anti-Adenosine A3 Receptor Antikörper (ABIN673629) detektiert spezifisch Adenosine A3 Receptor in WB, ELISA, FACS, IHC (p), IF (cc), IF (p) und IHC (fro). Dieser Antikörper reagiert spezifisch mit Proben aus Human und Ratte.
Produktnummer ABIN673629
357,70 €
Zzgl. Versandkosten 20,00 € und MwSt
100 μL
Lieferung nach: Deutschland
Lieferung in 8 bis 12 Werktagen

Kurzübersicht für Adenosine A3 Receptor Antikörper (AA 85-180) (ABIN673629)

Target

Alle Adenosine A3 Receptor (ADORA3) Antikörper anzeigen
Adenosine A3 Receptor (ADORA3)

Reaktivität

  • 33
  • 17
  • 6
  • 4
  • 3
  • 2
  • 2
  • 2
  • 1
  • 1
Human, Ratte

Wirt

  • 34
  • 1
  • 1
Kaninchen

Klonalität

  • 35
  • 1
Polyklonal

Konjugat

  • 28
  • 1
  • 1
  • 1
  • 1
  • 1
  • 1
  • 1
  • 1
Dieser Adenosine A3 Receptor Antikörper ist unkonjugiert

Applikation

  • 21
  • 13
  • 10
  • 8
  • 4
  • 2
  • 2
  • 1
  • 1
  • 1
Western Blotting (WB), ELISA, Flow Cytometry (FACS), Immunohistochemistry (Paraffin-embedded Sections) (IHC (p)), Immunofluorescence (Cultured Cells) (IF (cc)), Immunofluorescence (Paraffin-embedded Sections) (IF (p)), Immunohistochemistry (Frozen Sections) (IHC (fro))
  • Bindungsspezifität

    • 6
    • 2
    • 2
    • 2
    • 2
    • 1
    • 1
    • 1
    • 1
    • 1
    • 1
    • 1
    • 1
    • 1
    • 1
    • 1
    • 1
    • 1
    • 1
    AA 85-180

    Kreuzreaktivität

    Human, Ratte

    Homologie

    Mouse,Dog,Cow,Sheep,Pig,Rabbit

    Aufreinigung

    Purified by Protein A.

    Immunogen

    KLH conjugated synthetic peptide derived from human ADORA3

    Isotyp

    IgG
  • Applikationshinweise

    WB 1:300-5000
    ELISA 1:500-1000
    FCM 1:20-100
    IHC-P 1:200-400
    IHC-F 1:100-500
    IF(IHC-P) 1:50-200
    IF(IHC-F) 1:50-200
    IF(ICC) 1:50-200

    Beschränkungen

    Nur für Forschungszwecke einsetzbar
  • Format

    Liquid

    Konzentration

    1 μg/μL

    Buffer

    0.01M TBS( pH 7.4) with 1 % BSA, 0.02 % Proclin300 and 50 % Glycerol.

    Konservierungsmittel

    ProClin

    Vorsichtsmaßnahmen

    This product contains ProClin: a POISONOUS AND HAZARDOUS SUBSTANCE, which should be handled by trained staff only.

    Lagerung

    4 °C,-20 °C

    Informationen zur Lagerung

    Shipped at 4°C. Store at -20°C for one year. Avoid repeated freeze/thaw cycles.

    Haltbarkeit

    12 months
  • Target

    Adenosine A3 Receptor (ADORA3)

    Andere Bezeichnung

    Adenosine A3 Receptor

    Hintergrund

    Synonyms: Adenosine receptor A3, ADORA3, AA3R_HUMAN

    Background: Isoform 2: Receptor for adenosine. The activity of this receptor is mediated by G proteins which inhibits adenylyl cyclase. Isoform 1: Plays a suppressive role in osteosarcoma malignancy by inhibiting NF-kappa-B activity.

    Gen-ID

    140

    UniProt

    P0DMS8

    Pathways

    Hormone Transport, cAMP Metabolic Process, Regulation of Leukocyte Mediated Immunity, Positive Regulation of Immune Effector Process
Sie sind hier:
Chat with us!