TXNDC15 Antikörper (C-Term)
Kurzübersicht für TXNDC15 Antikörper (C-Term) (ABIN657379)
Target
Alle TXNDC15 Antikörper anzeigenReaktivität
Wirt
Klonalität
Konjugat
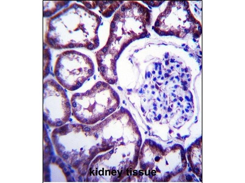
Applikation
Klon
-
-
Bindungsspezifität
- AA 257-285, C-Term
-
Homologie
- M
-
Aufreinigung
- This antibody is purified through a protein A column, followed by peptide affinity purification.
-
Immunogen
- This TXNDC15 antibody is generated from rabbits immunized with a KLH conjugated synthetic peptide between 257-285 amino acids from the C-terminal region of human TXNDC15.
-
Isotyp
- Ig Fraction
-
-
-
-
Applikationshinweise
- WB: 1:1000. IHC-P: 1:10~50
-
Beschränkungen
- Nur für Forschungszwecke einsetzbar
-
-
-
Format
- Liquid
-
Buffer
- Purified polyclonal antibody supplied in PBS with 0.09 % (W/V) sodium azide.
-
Konservierungsmittel
- Sodium azide
-
Vorsichtsmaßnahmen
- This product contains Sodium azide: a POISONOUS AND HAZARDOUS SUBSTANCE which should be handled by trained staff only.
-
Lagerung
- 4 °C,-20 °C
-
Informationen zur Lagerung
- TXNDC15 Antibody (C-term) can be refrigerated at 2-8 °C for up to 6 months. For long term storage, place the at -20 °C.
-
Haltbarkeit
- 6 months
-
-
-