Telefon:
+49 (0)241 95 163 153
Fax:
+49 (0)241 95 163 155
E-Mail:
orders@antikoerper-online.de

RENT2/UPF2 Antikörper

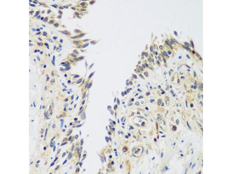
Der Kaninchen Polyklonal anti-RENT2/UPF2 Antikörper wird verwendet zum Nachweis von RENT2/UPF2 in Proben von Human, Ratte und Maus. Er wurde validiert für WB und IHC.
Produktnummer ABIN6570914
449,00 €
Zzgl. Versandkosten 20,00 € und MwSt
Lieferung nach: Deutschland
Lieferung in 10 bis 13 Werktagen

Kurzübersicht für RENT2/UPF2 Antikörper (ABIN6570914)

Target

Alle RENT2/UPF2 (UPF2) Antikörper anzeigen
RENT2/UPF2 (UPF2) (UPF2 Regulator of Nonsense Transcripts 2 (UPF2))

Reaktivität

  • 20
  • 5
  • 5
  • 2
  • 1
  • 1
  • 1
  • 1
  • 1
Human, Ratte, Maus

Wirt

  • 20
Kaninchen

Klonalität

  • 20
Polyklonal

Konjugat

  • 15
  • 1
  • 1
  • 1
  • 1
  • 1
Dieser RENT2/UPF2 Antikörper ist unkonjugiert

Applikation

  • 18
  • 10
  • 9
  • 5
  • 2
  • 2
  • 1
  • 1
Western Blotting (WB), Immunohistochemistry (IHC)
  • Aufreinigung

    Affinity purification

    Immunogen

    Recombinant protein of human UPF2

    Isotyp

    IgG
  • Applikationshinweise

    WB 1:500 - 1:2000 IHC 1:50 - 1:200

    Beschränkungen

    Nur für Forschungszwecke einsetzbar
  • Konzentration

    1 mg/mL

    Buffer

    PBS with 0.02 % sodium azide, 50 % glycerol,  pH 7.3.

    Lagerung

    -20 °C

    Informationen zur Lagerung

    Store at -20°C. Avoid freeze / thaw cycles.
  • Target

    RENT2/UPF2 (UPF2) (UPF2 Regulator of Nonsense Transcripts 2 (UPF2))

    Andere Bezeichnung

    UPF2

    Hintergrund

    Synonyms: DKFZp434D222,hUpf2,KIAA1408,MGC138834,MGC138835,Nonsense mRNA reducing factor 2,Regulator of nonsense transcripts 2,RENT2,RENT2,Smg 3,Smg 3 homolog nonsense mediated mRNA decay factor,Up-frameshift suppressor 2 homolog,UPF2,UPF2 regulator of nonsense transcripts homolog,UROC1,Urocanate hydratase,Yeast Upf2p homolog

    Background: This gene encodes a protein that is part of a post-splicing multiprotein complex involved in both mRNA nuclear export and mRNA surveillance. mRNA surveillance detects exported mRNAs with truncated open reading frames and initiates nonsense-mediated mRNA decay (NMD). When translation ends upstream from the last exon-exon junction, this triggers NMD to degrade mRNAs containing premature stop codons. This protein is located in the perinuclear area. It interacts with translation release factors and the proteins that are functional homologs of yeast Upf1p and Upf3p. Two splice variants have been found for this gene, both variants encode the same protein.

    Molekulargewicht

    Observed_MW: 148kDa

    Calculated_MW: 66kDa/147kDa

    Gen-ID

    26019

    UniProt

    Q9HAU5
Sie sind hier:
Chat with us!