Telefon:
+49 (0)241 95 163 153
Fax:
+49 (0)241 95 163 155
E-Mail:
orders@antikoerper-online.de

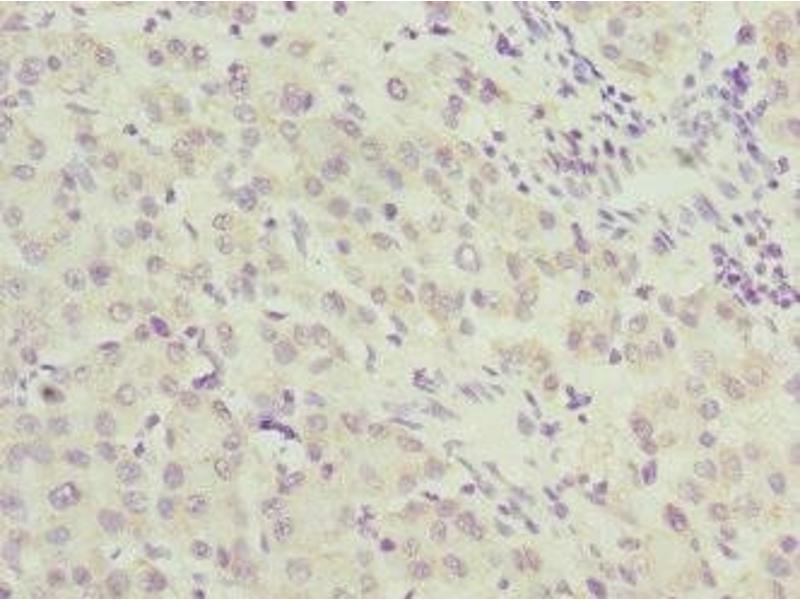
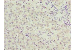
RENT2/UPF2 Antikörper (AA 1153-1272)

Der Kaninchen Polyklonal anti-RENT2/UPF2 Antikörper (ABIN7167643) detektiert spezifisch RENT2/UPF2 in IHC und ELISA. Dieser Antikörper reagiert spezifisch mit Proben aus Human.
Produktnummer ABIN7167643
394,68 €
Zzgl. Versandkosten 20,00 € und MwSt
Lieferung nach: Deutschland
Lieferung in 11 bis 15 Werktagen

Kurzübersicht für RENT2/UPF2 Antikörper (AA 1153-1272) (ABIN7167643)

Target

Alle RENT2/UPF2 (UPF2) Antikörper anzeigen
RENT2/UPF2 (UPF2) (UPF2 Regulator of Nonsense Transcripts 2 (UPF2))

Reaktivität

  • 20
  • 6
  • 6
  • 2
  • 1
  • 1
  • 1
  • 1
  • 1
Human

Wirt

  • 20
Kaninchen

Klonalität

  • 20
Polyklonal

Konjugat

  • 15
  • 1
  • 1
  • 1
  • 1
  • 1
Dieser RENT2/UPF2 Antikörper ist unkonjugiert

Applikation

  • 19
  • 10
  • 8
  • 5
  • 2
  • 2
  • 1
  • 1
Immunohistochemistry (IHC), ELISA
  • Bindungsspezifität

    • 7
    • 2
    • 2
    • 1
    • 1
    • 1
    • 1
    • 1
    • 1
    • 1
    • 1
    AA 1153-1272

    Verwendungszweck

    UPF2 Antibody

    Aufreinigung

    Antigen Affinity Purified

    Immunogen

    Recombinant Human Regulator of nonsense transcripts 2 protein (1153-1272AA)

    Isotyp

    IgG
  • Applikationshinweise

    Optimal working dilution should be determined by the investigator.

    Beschränkungen

    Nur für Forschungszwecke einsetzbar
  • Format

    Liquid

    Buffer

    PBS with 0.02 % sodium azide, 50 % glycerol, pH 7.3.

    Konservierungsmittel

    Sodium azide

    Vorsichtsmaßnahmen

    This product contains Sodium azide: a POISONOUS AND HAZARDOUS SUBSTANCE which should be handled by trained staff only.

    Lagerung

    -20 °C,-80 °C

    Informationen zur Lagerung

    Upon receipt, store at -20°C or -80°C. Avoid repeated freeze.
  • Target

    RENT2/UPF2 (UPF2) (UPF2 Regulator of Nonsense Transcripts 2 (UPF2))

    Andere Bezeichnung

    UPF2

    Hintergrund

    Background: Involved in nonsense-mediated decay (NMD) of mRNAs containing premature stop codons by associating with the nuclear exon junction complex (EJC). Recruited by UPF3B associated with the EJC core at the cytoplasmic side of the nuclear envelope and the subsequent formation of an UPF1-UPF2-UPF3 surveillance complex (including UPF1 bound to release factors at the stalled ribosome) is believed to activate NMD. In cooperation with UPF3B stimulates both ATPase and RNA helicase activities of UPF1. Binds spliced mRNA.

    Aliases: DKFZp434D222 antibody, hUpf2 antibody, KIAA1408 antibody, MGC138834 antibody, MGC138835 antibody, Nonsense mRNA reducing factor 2 antibody, Regulator of nonsense transcripts 2 antibody, RENT2 antibody, RENT2_HUMAN antibody, Smg 3 antibody, Smg 3 homolog nonsense mediated mRNA decay factor antibody, Up-frameshift suppressor 2 homolog antibody, UPF2 antibody, UPF2 regulator of nonsense transcripts homolog antibody, UROC1 antibody, Urocanate hydratase antibody, Yeast Upf2p homolog antibody

    UniProt

    Q9HAU5
Sie sind hier:
Chat with us!