Telefon:
+49 (0)241 95 163 153
Fax:
+49 (0)241 95 163 155
E-Mail:
orders@antikoerper-online.de

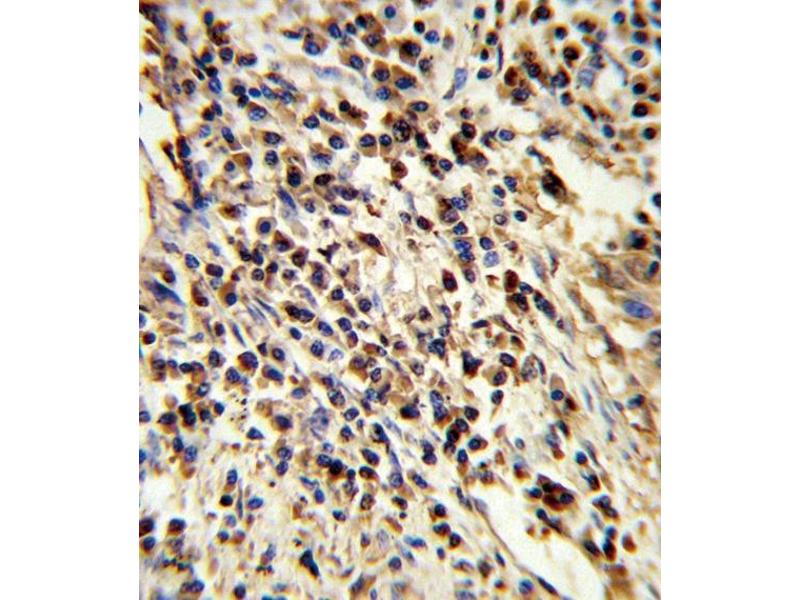
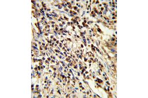
PSMA7 Antikörper (AA 100-126)

Dieser Kaninchen Polyklonal Antikörper detektiert spezifisch PSMA7 in WB und IHC (p). Es zeigt Reaktivität gegenüber Proben von Human und Maus.
Produktnummer ABIN652603
434,77 €
Zzgl. Versandkosten 20,00 € und MwSt
Lieferung nach: Deutschland
Lieferung in 14 bis 17 Werktagen

Kurzübersicht für PSMA7 Antikörper (AA 100-126) (ABIN652603)

Target

Alle PSMA7 Antikörper anzeigen
PSMA7 (Proteasome Subunit alpha 7 (PSMA7))

Reaktivität

  • 54
  • 26
  • 18
  • 1
Human, Maus

Wirt

  • 46
  • 8
Kaninchen

Klonalität

  • 46
  • 8
Polyklonal

Konjugat

  • 26
  • 5
  • 2
  • 2
  • 1
  • 1
  • 1
  • 1
  • 1
  • 1
  • 1
  • 1
  • 1
  • 1
  • 1
  • 1
  • 1
  • 1
  • 1
  • 1
  • 1
  • 1
  • 1
Dieser PSMA7 Antikörper ist unkonjugiert

Applikation

  • 44
  • 18
  • 16
  • 13
  • 8
  • 8
  • 6
  • 5
  • 2
  • 1
  • 1
Western Blotting (WB), Immunohistochemistry (Paraffin-embedded Sections) (IHC (p))

Klon

RB21043
  • Bindungsspezifität

    • 6
    • 3
    • 3
    • 2
    • 1
    • 1
    • 1
    • 1
    • 1
    • 1
    • 1
    • 1
    AA 100-126

    Homologie

    X, B, Rat

    Aufreinigung

    This antibody is purified through a protein A column, followed by peptide affinity purification.

    Immunogen

    This PSMA7 antibody is generated from rabbits immunized with a KLH conjugated synthetic peptide between 100-126 amino acids from the Central region of human PSMA7.

    Isotyp

    Ig Fraction
  • Applikationshinweise

    WB: 1:1000. IHC-P: 1:10~50

    Beschränkungen

    Nur für Forschungszwecke einsetzbar
  • Format

    Liquid

    Buffer

    Purified polyclonal antibody supplied in PBS with 0.09 % (W/V) sodium azide.

    Konservierungsmittel

    Sodium azide

    Vorsichtsmaßnahmen

    This product contains Sodium azide: a POISONOUS AND HAZARDOUS SUBSTANCE which should be handled by trained staff only.

    Lagerung

    4 °C,-20 °C

    Informationen zur Lagerung

    Maintain refrigerated at 2-8 °C for up to 6 months. For long term storage store at -20 °C in small aliquots to prevent freeze-thaw cycles.

    Haltbarkeit

    6 months
  • Target

    PSMA7 (Proteasome Subunit alpha 7 (PSMA7))

    Andere Bezeichnung

    PSMA7

    Hintergrund

    The proteasome is a multicatalytic proteinase complex with a highly ordered ring-shaped 20S core structure. The core structure is composed of 4 rings of 28 non-identical subunits, 2 rings are composed of 7 alpha subunits and 2 rings are composed of 7 beta subunits. Proteasomes are distributed throughout eukaryotic cells at a high concentration and cleave peptides in an ATP/ubiquitin-dependent process in a non-lysosomal pathway. An essential function of a modified proteasome, the immunoproteasome, is the processing of class I MHC peptides. PSMA7 is a member of the peptidase T1A family, that is a 20S core alpha subunit. This particular subunit has been shown to interact specifically with the hepatitis B virus X protein, a protein critical to viral replication. In addition, this subunit is involved in regulating hepatitis virus C internal ribosome entry site (IRES) activity, an activity essential for viral replication. This core alpha subunit is also involved in regulating the hypoxia-inducible factor-1alpha, a transcription factor important for cellular responses to oxygen tension.

    Molekulargewicht

    27887

    Gen-ID

    5688

    NCBI Accession

    NP_002783

    UniProt

    O14818

    Pathways

    Mitotic G1-G1/S Phases, DNA Replication, Synthesis of DNA
Sie sind hier:
Chat with us!