Telefon:
+49 (0)241 95 163 153
Fax:
+49 (0)241 95 163 155
E-Mail:
orders@antikoerper-online.de

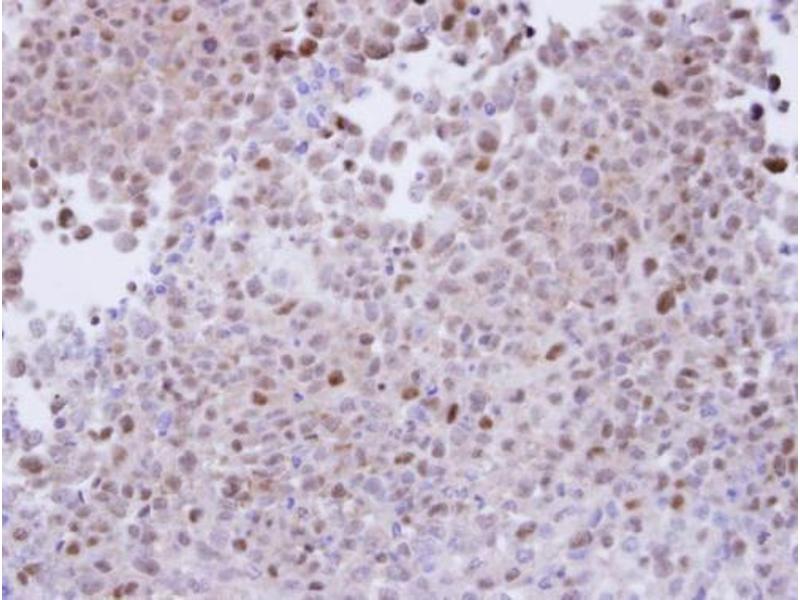
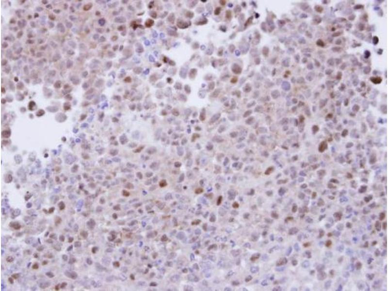
PSMA7 Antikörper (Center)

Der Kaninchen Polyklonal anti-PSMA7 Antikörper (ABIN2855151) detektiert spezifisch PSMA7 in WB und IHC (p). Dieser Antikörper reagiert spezifisch mit Proben aus Human und Maus.
Produktnummer ABIN2855151
583,17 €
Zzgl. Versandkosten 20,00 € und MwSt
100 μL
Lieferung nach: Deutschland
Lieferung in 7 bis 10 Werktagen

Kurzübersicht für PSMA7 Antikörper (Center) (ABIN2855151)

Target

Alle PSMA7 Antikörper anzeigen
PSMA7 (Proteasome Subunit alpha 7 (PSMA7))

Reaktivität

  • 54
  • 26
  • 18
  • 1
Human, Maus

Wirt

  • 46
  • 8
Kaninchen

Klonalität

  • 46
  • 8
Polyklonal

Konjugat

  • 26
  • 5
  • 2
  • 2
  • 1
  • 1
  • 1
  • 1
  • 1
  • 1
  • 1
  • 1
  • 1
  • 1
  • 1
  • 1
  • 1
  • 1
  • 1
  • 1
  • 1
  • 1
  • 1
Dieser PSMA7 Antikörper ist unkonjugiert

Applikation

  • 44
  • 18
  • 16
  • 13
  • 8
  • 8
  • 6
  • 5
  • 2
  • 1
  • 1
Western Blotting (WB), Immunohistochemistry (Paraffin-embedded Sections) (IHC (p))
  • Bindungsspezifität

    • 6
    • 4
    • 3
    • 2
    • 1
    • 1
    • 1
    • 1
    • 1
    • 1
    • 1
    Center

    Kreuzreaktivität

    Huhn, Schwein, Ratte (Rattus), Rind (Kuh), Xenopus tropicalis

    Kreuzreaktivität (Details)

    Chicken (96 %), Pig (98 %), Rat (98 %), Bovine (99 %), Xenopus tropicalis (97 %)

    Produktmerkmale

    Rabbit Polyclonal antibody to PSMA7 (proteasome (prosome, macropain) subunit, alpha type, 7)
    PSMA7 antibody [N1C3]

    Aufreinigung

    Purified by antigen-affinity chromatography.

    Immunogen

    Recombinant protein encompassing a sequence within the center region of human Proteasome 20S alpha 7. The exact sequence is proprietary.

    Isotyp

    IgG
  • Applikationshinweise

    Suggested dilution Reference IHC (Formalin-fixed paraffin-embedded sections) 1:100-1:1000* Western blot 1:500-1:3000* Not tested in other applications. *Optimal dilutions/concentrations should be determined by the researcher.Suggested dilutionReferenceIHC (Formalin-fixed paraffin-embedded sections)1:100-1:1000* Western blot1:500-1:3000*

    Kommentare

    Positive Control: 293T , A431 , H1299 , HeLa , HepG2 , Molt-4 , Raji , mouse brain

    Beschränkungen

    Nur für Forschungszwecke einsetzbar
  • Format

    Liquid

    Konzentration

    0.32 mg/mL

    Buffer

    0.1M Tris, 0.1M Glycine, 10 % Glycerol ( pH 7). 0.01 % Thimerosal was added as a preservative.

    Konservierungsmittel

    Thimerosal (Merthiolate)

    Vorsichtsmaßnahmen

    This product contains Thimerosal (Merthiolate): a POISONOUS AND HAZARDOUS SUBSTANCE which should be handled by trained staff only.

    Lagerung

    -20 °C

    Informationen zur Lagerung

    Keep as concentrated solution. Aliquot and store at -20°C or below. Avoid multiple freeze-thaw cycles.
  • Target

    PSMA7 (Proteasome Subunit alpha 7 (PSMA7))

    Andere Bezeichnung

    PSMA7

    Hintergrund

    The proteasome is a multicatalytic proteinase complex with a highly ordered ring-shaped 20S core structure. The core structure is composed of 4 rings of 28 non-identical subunits, 2 rings are composed of 7 alpha subunits and 2 rings are composed of 7 beta subunits. Proteasomes are distributed throughout eukaryotic cells at a high concentration and cleave peptides in an ATP/ubiquitin-dependent process in a non-lysosomal pathway. An essential function of a modified proteasome, the immunoproteasome, is the processing of class I MHC peptides. This gene encodes a member of the peptidase T1A family, that is a 20S core alpha subunit. This particular subunit has been shown to interact specifically with the hepatitis B virus X protein, a protein critical to viral replication. In addition, this subunit is involved in regulating hepatitis virus C internal ribosome entry site (IRES) activity, an activity essential for viral replication. This core alpha subunit is also involved in regulating the hypoxia-inducible factor-1alpha, a transcription factor important for cellular responses to oxygen tension. Multiple isoforms of this subunit arising from alternative splicing may exist but alternative transcripts for only two isoforms have been defined. A pseudogene has been identified on chromosome 9.

    Cellular Localization: Cytoplasm , Nucleus

    Molekulargewicht

    28 kDa

    Gen-ID

    5688

    Pathways

    Mitotic G1-G1/S Phases, DNA Replication, Synthesis of DNA
Sie sind hier:
Chat with us!