Telefon:
+49 (0)241 95 163 153
Fax:
+49 (0)241 95 163 155
E-Mail:
orders@antikoerper-online.de

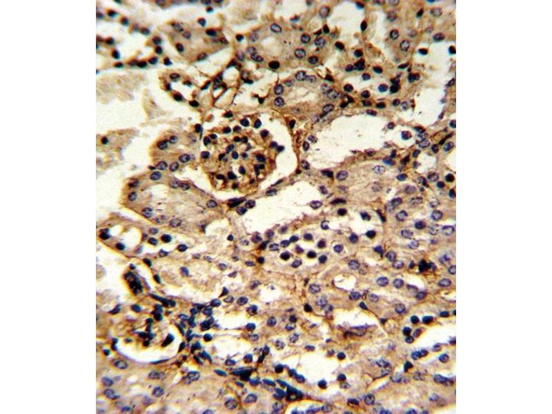
GMP Synthase Antikörper (AA 296-325)

Der Kaninchen Polyklonal anti-GMP Synthase Antikörper wird verwendet zum Nachweis von GMP Synthase in Proben von Human. Er wurde validiert für WB, FACS und IHC (p).
Produktnummer ABIN652553
434,77 €
Zzgl. Versandkosten 20,00 € und MwSt
Lieferung nach: Deutschland
Lieferung in 14 bis 17 Werktagen

Kurzübersicht für GMP Synthase Antikörper (AA 296-325) (ABIN652553)

Target

Alle GMP Synthase (GMPS) Antikörper anzeigen
GMP Synthase (GMPS) (Guanine Monophosphate Synthetase (GMPS))

Reaktivität

  • 51
  • 17
  • 14
  • 4
  • 4
  • 3
  • 2
  • 2
  • 2
  • 1
  • 1
  • 1
  • 1
  • 1
Human

Wirt

  • 47
  • 5
Kaninchen

Klonalität

  • 50
  • 2
Polyklonal

Konjugat

  • 31
  • 2
  • 1
  • 1
  • 1
  • 1
  • 1
  • 1
  • 1
  • 1
  • 1
  • 1
  • 1
  • 1
  • 1
  • 1
  • 1
  • 1
  • 1
  • 1
  • 1
Dieser GMP Synthase Antikörper ist unkonjugiert

Applikation

  • 41
  • 13
  • 13
  • 12
  • 8
  • 7
  • 5
  • 4
  • 3
  • 2
  • 1
Western Blotting (WB), Flow Cytometry (FACS), Immunohistochemistry (Paraffin-embedded Sections) (IHC (p))

Klon

RB20727
  • Bindungsspezifität

    • 15
    • 4
    • 3
    • 3
    • 2
    • 2
    • 2
    • 2
    • 2
    • 1
    • 1
    • 1
    • 1
    • 1
    • 1
    AA 296-325

    Homologie

    M

    Aufreinigung

    This antibody is prepared by Saturated Ammonium Sulfate (SAS) precipitation followed by dialysis against PBS.

    Immunogen

    This GMPS antibody is generated from rabbits immunized with a KLH conjugated synthetic peptide between 296-325 amino acids from the Central region of human GMPS.

    Isotyp

    Ig Fraction
  • Applikationshinweise

    WB: 1:1000. IHC-P: 1:10~50. FC: 1:10~50

    Beschränkungen

    Nur für Forschungszwecke einsetzbar
  • Format

    Liquid

    Buffer

    Purified polyclonal antibody supplied in PBS with 0.09 % (W/V) sodium azide.

    Konservierungsmittel

    Sodium azide

    Vorsichtsmaßnahmen

    This product contains Sodium azide: a POISONOUS AND HAZARDOUS SUBSTANCE which should be handled by trained staff only.

    Lagerung

    4 °C,-20 °C

    Informationen zur Lagerung

    Maintain refrigerated at 2-8 °C for up to 6 months. For long term storage store at -20 °C in small aliquots to prevent freeze-thaw cycles.

    Haltbarkeit

    6 months
  • Target

    GMP Synthase (GMPS) (Guanine Monophosphate Synthetase (GMPS))

    Andere Bezeichnung

    GMPS

    Hintergrund

    GMPS is involved in the de novo synthesis of guanine nucleotides which are not only essential for DNA and RNA synthesis, but also provide GTP, which is involved in a number of cellular processes important for cell division.

    Molekulargewicht

    76715

    Gen-ID

    8833

    NCBI Accession

    NP_003866

    UniProt

    P49915

    Pathways

    Ribonucleoside Biosynthetic Process
Sie sind hier:
Chat with us!