GMP Synthase Antikörper (AA 108-216)
Kurzübersicht für GMP Synthase Antikörper (AA 108-216) (ABIN574401)
Target
Alle GMP Synthase (GMPS) Antikörper anzeigenReaktivität
Wirt
Klonalität
Konjugat
Applikation
Klon
-
-
Bindungsspezifität
- AA 108-216
-
Aufreinigung
- Purified from ascites by Protein A
-
Immunogen
-
GMPS (NP_003866, 108 a.a. ~ 216 a.a) partial recombinant protein with GST tag. MW of the GST tag alone is 26 KDa.
Type of Immunogen: Recombinant protein -
Isotyp
- IgG1 kappa
-
-
-
-
Applikationshinweise
-
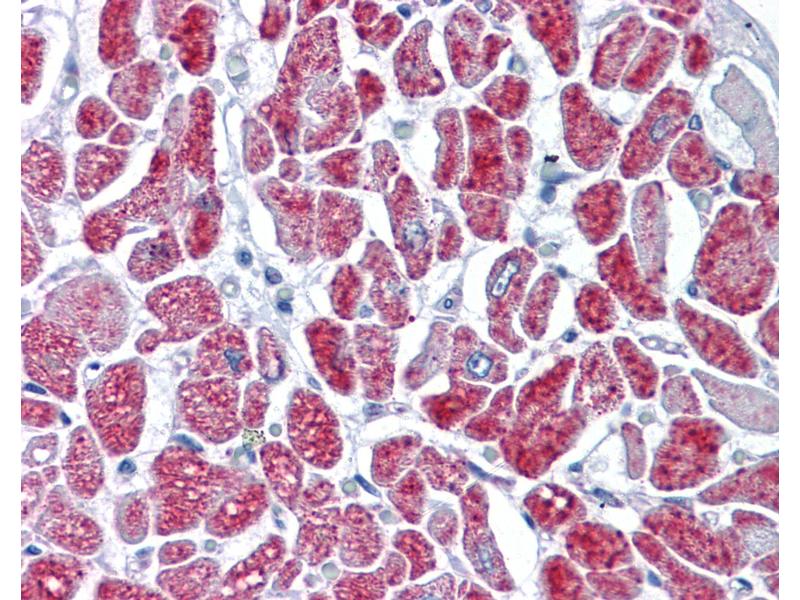
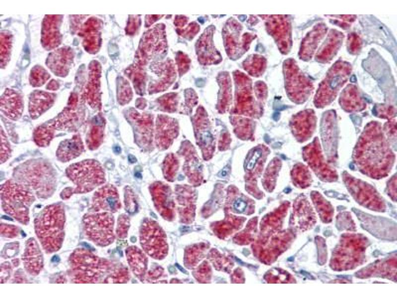
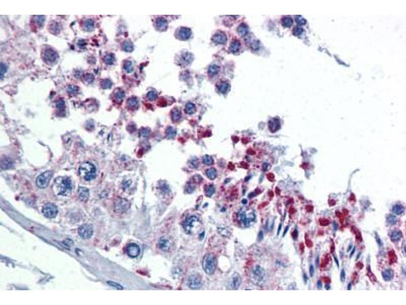
Approved: ELISA, IHC, IHC-P (5 μg/mL), WB
Usage: Western blot performed with the recombinant protein used as the immunogen as the protein source. Sandwich ELISA (Recombinant protein). -
Kommentare
-
Target Species of Antibody: Human
-
Beschränkungen
- Nur für Forschungszwecke einsetzbar
-
-
-
Format
- Liquid
-
Konzentration
- Lot specific
-
Buffer
- PBS, pH 7.4.
-
Handhabung
- Aliquot to Avoid freeze/thaw cycles.
-
Lagerung
- -20 °C
-
Informationen zur Lagerung
- Store at -20°C. Aliquot to avoid freeze/thaw cycles.
-
-
- GMP Synthase (GMPS) (Guanine Monophosphate Synthetase (GMPS))
-
Andere Bezeichnung
- GMPS / GMP Synthase
-
Hintergrund
-
Name/Gene ID: GMPS
Synonyms: GMPS, GMP synthetase, Glutamine amidotransferase, GMP synthase, MLL/GMPS fusion protein -
Gen-ID
- 8833
-
NCBI Accession
- NP_003866
-
UniProt
- P49915
-
Pathways
- Ribonucleoside Biosynthetic Process
Target
-