Telefon:
+49 (0)241 95 163 153
Fax:
+49 (0)241 95 163 155
E-Mail:
orders@antikoerper-online.de

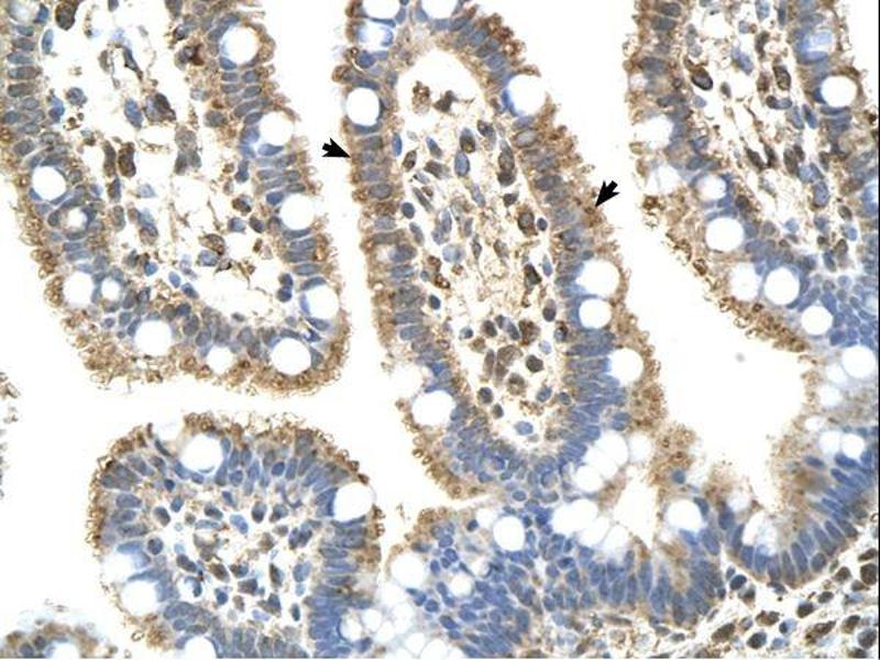
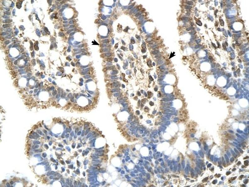
C8B Antikörper (Middle Region)

Der Kaninchen Polyklonal anti-C8B Antikörper wird verwendet zum Nachweis von C8B in Proben von Human. Er wurde validiert für WB und IHC.
Produktnummer ABIN634559
1.218,13 €
Zzgl. Versandkosten 20,00 € und MwSt
100 μL
Lieferung nach: Deutschland
Lieferung in 13 bis 17 Werktagen

Kurzübersicht für C8B Antikörper (Middle Region) (ABIN634559)

Target

Alle C8B Antikörper anzeigen
C8B (Complement Component 8, beta Polypeptide (C8B))

Reaktivität

  • 25
  • 8
  • 5
  • 4
  • 3
  • 3
  • 3
  • 2
  • 2
  • 1
  • 1
Human

Wirt

  • 27
  • 1
Kaninchen

Klonalität

  • 27
  • 1
Polyklonal

Konjugat

  • 23
  • 1
  • 1
  • 1
  • 1
  • 1
Dieser C8B Antikörper ist unkonjugiert

Applikation

  • 25
  • 15
  • 15
  • 6
  • 5
  • 3
  • 1
Western Blotting (WB), Immunohistochemistry (IHC)
  • Bindungsspezifität

    • 9
    • 4
    • 3
    • 2
    • 2
    • 2
    • 1
    • 1
    • 1
    Middle Region

    Spezifität

    Complement C8 b antibody was raised against the middle region of C8

    Aufreinigung

    Affinity purified

    Immunogen

    Complement C8 b antibody was raised using the middle region of C8 corresponding to a region with amino acids WKPGSSGPGSTGSWNSGSSGTGSTGNQNPGSPRPGSTGTWNPGSSERGSA
  • Applikationshinweise

    WB: 0.5 µg/mL, IHC: 4-8 µg/mL
    Optimal conditions should be determined by the investigator.

    Kommentare

    Complement C8b Blocking Peptide, (ABIN5612957), is also available for use as a blocking control in assays to test for specificity of this Complement C8b antibody

    Beschränkungen

    Nur für Forschungszwecke einsetzbar
  • Format

    Lyophilized

    Rekonstitution

    Lyophilized powder. Add distilled water for a 1 mg/mL concentration of C0 antibody in PBS

    Konzentration

    Lot specific

    Buffer

    PBS

    Handhabung

    Avoid repeated freeze/thaw cycles.
    Dilute only prior to immediate use.

    Lagerung

    4 °C/-20 °C

    Informationen zur Lagerung

    Store at 2-8 °C for short periods. For longer periods of storage, store at -20 °C.
  • Target

    C8B (Complement Component 8, beta Polypeptide (C8B))

    Andere Bezeichnung

    Complement C8b

    Hintergrund

    C8 beta is one of the three subunits that comprise the component 8 (C8) of the complement system. C8 participates in the formation of Membrane Attack Complex that results in the lysis of cells. Patients with C8B deficiency are prone to bacteria infection.

    Molekulargewicht

    61 kDa (MW of target protein)

    Pathways

    Komplementsystem
Sie sind hier:
Chat with us!