RFC5 Antikörper
Kurzübersicht für RFC5 Antikörper (ABIN634103)
Target
Alle RFC5 Antikörper anzeigenReaktivität
Wirt
Klonalität
Konjugat
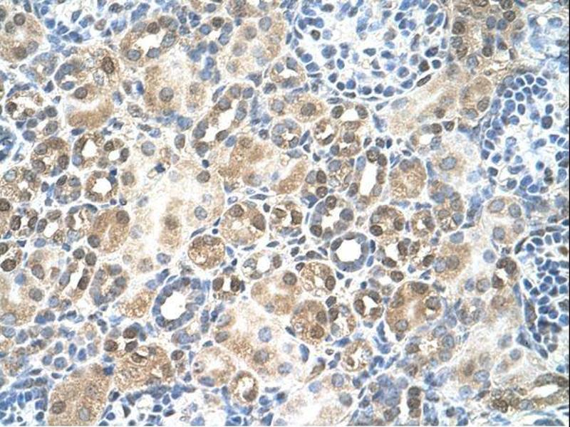
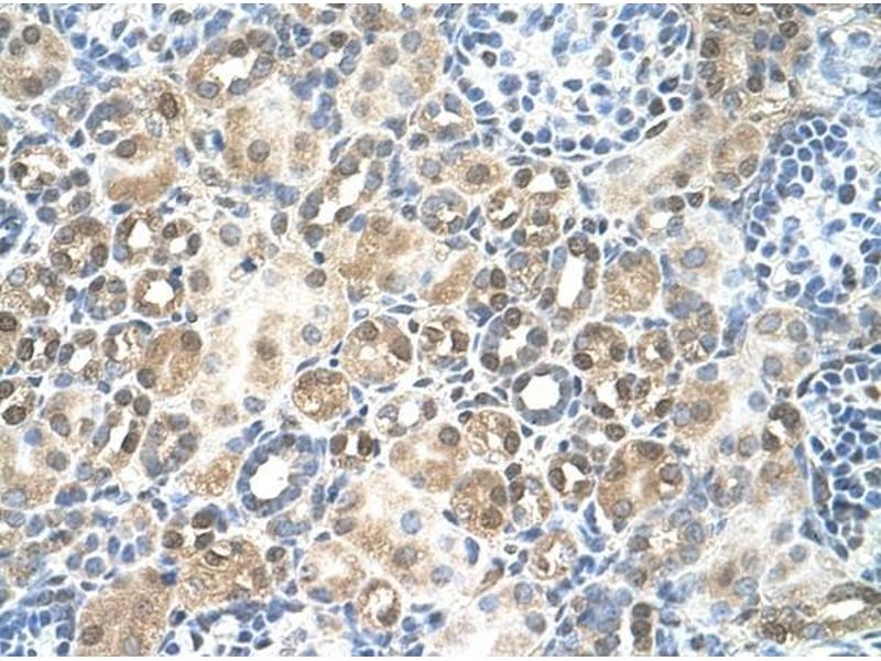
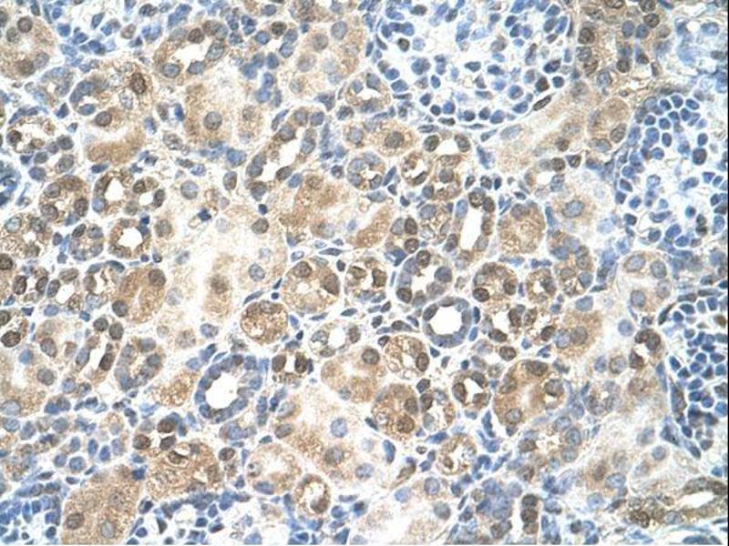
Applikation
-
-
Aufreinigung
- Affinity purified
-
Immunogen
- RFC5 antibody was raised using a synthetic peptide corresponding to a region with amino acids METSALKQQEQPAATKIRNLPWVEKYRPQTLNDLISHQDILSTIQKFINE
-
-
-
-
Applikationshinweise
-
WB: 1 µg/mL, IHC: 4-8 µg/mL
Optimal conditions should be determined by the investigator. -
Kommentare
-
RFC5 Blocking Peptide, (ABIN5615833), is also available for use as a blocking control in assays to test for specificity of this RFC5 antibody
-
Beschränkungen
- Nur für Forschungszwecke einsetzbar
-
-
-
Format
- Lyophilized
-
Rekonstitution
- Lyophilized powder. Add distilled water for a 1 mg/mL concentration of RFC5 antibody in PBS
-
Konzentration
- Lot specific
-
Buffer
- PBS
-
Handhabung
- Avoid repeated freeze/thaw cycles.
-
Lagerung
- 4 °C/-20 °C
-
Informationen zur Lagerung
- Store at 2-8 °C for short periods. For longer periods of storage, store at -20 °C.
-
-
- RFC5 (Replication Factor C (Activator 1) 5, 36.5kDa (RFC5))
-
Andere Bezeichnung
- RFC5
-
Hintergrund
- The elongation of primed DNA templates by DNA polymerase delta and DNA polymerase epsilon requires the accessory proteins proliferating cell nuclear antigen (PCNA) and replication factor C (RFC). RFC, also named activator 1, is a protein complex consisting of five distinct subunits of 140, 40, 38, 37, and 36 kDa. RFC5 is the 36 kDa subunit. This subunit can interact with the C-terminal region of PCNA. It forms a core complex with the 38 and 40 kDa subunits. The core complex possesses DNA-dependent ATPase activity, which was found to be stimulated by PCNA in an in vitro system.
-
Molekulargewicht
- 38 kDa (MW of target protein)
-
Pathways
- Telomere Maintenance, DNA Reparatur, DNA Replication, Synthesis of DNA
Target
-