NOC4L Antikörper
Kurzübersicht für NOC4L Antikörper (ABIN633538)
Target
Reaktivität
Wirt
Klonalität
Konjugat
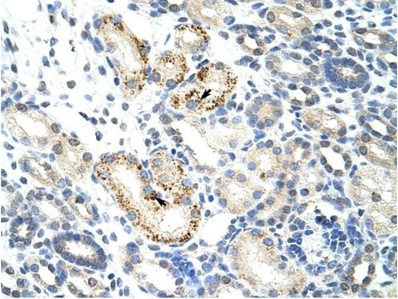
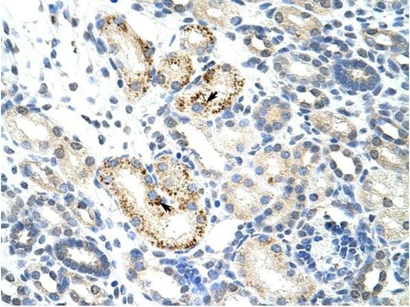
Applikation
-
-
Aufreinigung
- Affinity purified
-
Immunogen
- NOC4 L antibody was raised using a synthetic peptide corresponding to a region with amino acids CRVLVHRPHGPELDADPYDPGEEDPAQSRALESSLWELQALQRHYHPEVS
-
-
-
-
Applikationshinweise
-
WB: 0.25 µg/mL, IHC: 4-8 µg/mL
Optimal conditions should be determined by the investigator. -
Kommentare
-
NOC4L Blocking Peptide, (ABIN937188), is also available for use as a blocking control in assays to test for specificity of this NOC4L antibody
-
Beschränkungen
- Nur für Forschungszwecke einsetzbar
-
-
-
Format
- Lyophilized
-
Rekonstitution
- Lyophilized powder. Add distilled water for a 1 mg/mL concentration of NOC0 antibody in PBS
-
Konzentration
- Lot specific
-
Buffer
- PBS
-
Handhabung
- Avoid repeated freeze/thaw cycles.
-
Lagerung
- 4 °C/-20 °C
-
Informationen zur Lagerung
- Store at 2-8 °C for short periods. For longer periods of storage, store at -20 °C.
-
-
- NOC4L (Nucleolar Complex Associated 4 Homolog (NOC4L))
-
Andere Bezeichnung
- NOC4L
-
Hintergrund
- NOC4L plays a specific role in biogenesis of 40 S subunit of ribosome.
-
Molekulargewicht
- 57 kDa (MW of target protein)
Target
-