WWP2 Antikörper (Middle Region)
Kurzübersicht für WWP2 Antikörper (Middle Region) (ABIN631357)
Target
Alle WWP2 Antikörper anzeigenReaktivität
Wirt
Klonalität
Konjugat
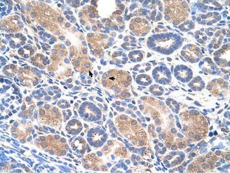
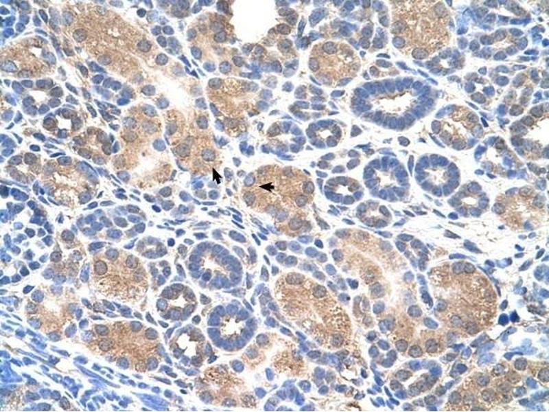
Applikation
-
-
Bindungsspezifität
- Middle Region
-
Spezifität
- WWP2 antibody was raised against the middle region of WWP2
-
Aufreinigung
- Affinity purified
-
Immunogen
- WWP2 antibody was raised using the middle region of WWP2 corresponding to a region with amino acids EMKYTSEGVRYFVDHNTRTTTFKDPRPGFESGTKQGSPGAYDRSFRWKYH
-
-
-
-
Applikationshinweise
-
WB: 1 µg/mL, IHC: 4-8 µg/mL
Optimal conditions should be determined by the investigator. -
Kommentare
-
WWP2 Blocking Peptide, (ABIN937972), is also available for use as a blocking control in assays to test for specificity of this WWP2 antibody
-
Beschränkungen
- Nur für Forschungszwecke einsetzbar
-
-
-
Format
- Lyophilized
-
Rekonstitution
- Lyophilized powder. Add distilled water for a 1 mg/mL concentration of WWP2 antibody in PBS
-
Konzentration
- Lot specific
-
Buffer
- PBS
-
Handhabung
-
Avoid repeated freeze/thaw cycles.
Dilute only prior to immediate use. -
Lagerung
- 4 °C/-20 °C
-
Informationen zur Lagerung
- Store at 2-8 °C for short periods. For longer periods of storage, store at -20 °C.
-
-
- WWP2 (WW Domain Containing E3 Ubiquitin Protein Ligase 2 (WWP2))
-
Andere Bezeichnung
- WWP2
-
Hintergrund
- WWP2 is a member of the NEDD4-like protein family. The family of proteins is known to possess ubiquitin-protein ligase activity. WWP2 contains 4 tandem WW domains. The WW domain is a protein motif consisting of 35 to 40 amino acids and is characterized by 4 conserved aromatic residues. The WW domain may mediate specific protein-protein interactions.
-
Molekulargewicht
- 47 kDa (MW of target protein)
-
Pathways
- Negative Regulation of Transporter Activity
Target
-