ADH1B Antikörper
Kurzübersicht für ADH1B Antikörper (ABIN629844)
Target
Alle ADH1B Antikörper anzeigenReaktivität
Wirt
Klonalität
Konjugat
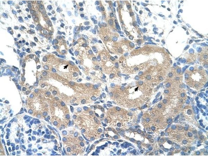
Applikation
-
-
Aufreinigung
- Purified
-
Immunogen
- ADH1 B antibody was raised using a synthetic peptide corresponding to a region with amino acids NLSINPMLLLTGRTWKGAVYGGFKSKEGIPKLVADFMAKKFSLDALITHV
-
-
-
-
Applikationshinweise
-
WB: 1.25 µg/mL, IHC: 4-8 µg/mL
Optimal conditions should be determined by the investigator. -
Kommentare
-
ADH1B Blocking Peptide, (ABIN5611948), is also available for use as a blocking control in assays to test for specificity of this ADH1B antibody
-
Beschränkungen
- Nur für Forschungszwecke einsetzbar
-
-
-
Format
- Lyophilized
-
Rekonstitution
- Lyophilized powder. Add distilled water for a 1 mg/mL concentration of ADH0 antibody in PBS
-
Konzentration
- Lot specific
-
Buffer
- PBS
-
Handhabung
- Avoid repeated freeze/thaw cycles.
-
Lagerung
- 4 °C/-20 °C
-
Informationen zur Lagerung
- Store at 2-8 °C for short periods. For longer periods of storage, store at -20 °C.
-
-
- ADH1B (Alcohol Dehydrogenase 1B (Class I), beta Polypeptide (ADH1B))
-
Andere Bezeichnung
- ADH1B
-
Hintergrund
- ADH1B is a member of the alcohol dehydrogenase family. Members of this enzyme family metabolize a wide variety of substrates, including ethanol, retinol, other aliphatic alcohols, hydroxysteroids, and lipid peroxidation products. This protein, consisting of several homo- and heterodimers of alpha, beta, and gamma subunits, exhibits high activity for ethanol oxidation and plays a major role in ethanol catabolism.
-
Molekulargewicht
- 41 kDa (MW of target protein)
Target
-