ADH1B Antikörper (AA 301-350)
Kurzübersicht für ADH1B Antikörper (AA 301-350) (ABIN203498)
Target
Alle ADH1B Antikörper anzeigenReaktivität
Wirt
Klonalität
Konjugat
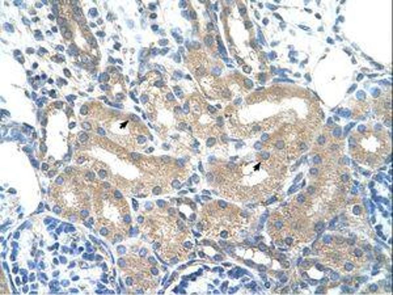
Applikation
-
-
Bindungsspezifität
- AA 301-350
-
Spezifität
- Human ADH1B
-
Homologie
- Percent identity by BLAST analysis: Human (100%).
-
Aufreinigung
- Protein A purified
-
Immunogen
-
Synthetic peptide located between aa301-350 of human ADH1B (P00325, NP_000659). Percent identity by BLAST analysis: Human, Chimpanzee, Gorilla, Gibbon (100%), Baboon, Monkey (92%), Orangutan, Marmoset (85%), Mouse, Rat (78%).
Type of Immunogen: Synthetic peptide -
Isotyp
- IgG
-
-
-
-
Applikationshinweise
- Approved: IHC, IHC-P, WB (1.25 μg/mL)
-
Kommentare
-
Target Species of Antibody: Human
-
Beschränkungen
- Nur für Forschungszwecke einsetzbar
-
-
-
Format
- Lyophilized
-
Rekonstitution
- After adding water, will consist of PBS buffer with 2 % sucrose
-
Konzentration
- Lot specific
-
Buffer
- Lyophilized from PBS with 2 % sucrose
-
Handhabung
- Avoid repeat freeze-thaw cycles.
-
Lagerung
- 4 °C,-20 °C
-
Informationen zur Lagerung
-
Long term: -20°C, the use of 50% glycerol is recommended if storing aliquots in -20°C for long term use (up to 1 year)
Short term (less than 1 week): 4°C. Avoid freeze-thaw cycles.
-
-
-