Telefon:
+49 (0)241 95 163 153
Fax:
+49 (0)241 95 163 155
E-Mail:
orders@antikoerper-online.de

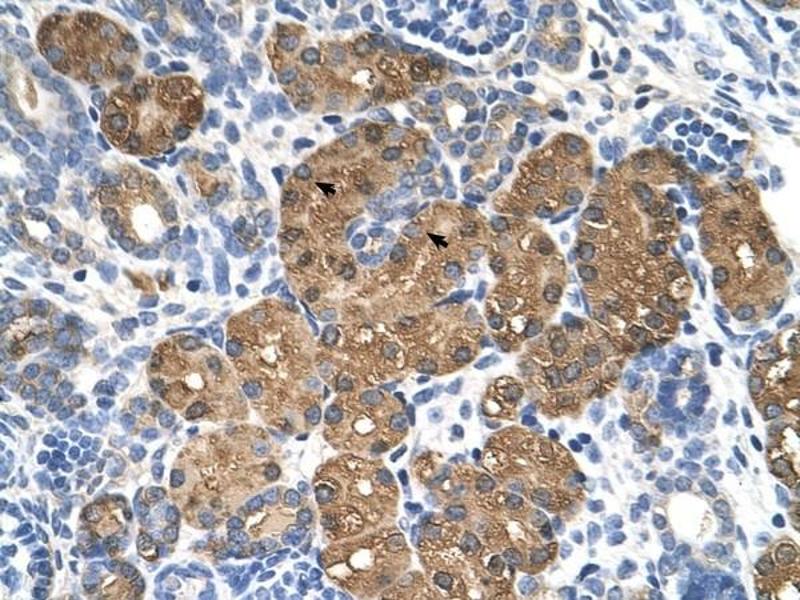
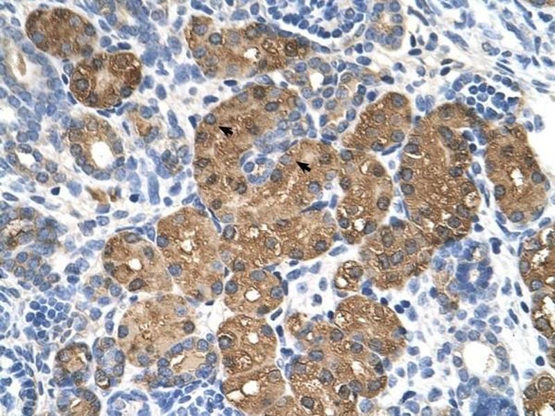
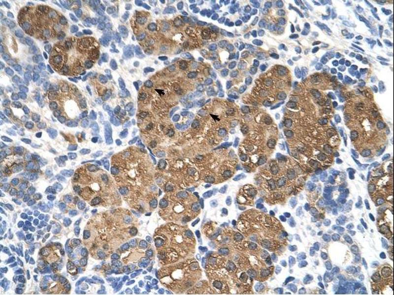
BHMT Antikörper (N-Term)

Der Kaninchen Polyklonal anti-BHMT Antikörper (ABIN629793) detektiert spezifisch BHMT in WB und IHC. Dieser Antikörper reagiert spezifisch mit Proben aus Human, Maus, Ratte und Hund.
Produktnummer ABIN629793
1.075,31 €
Zzgl. Versandkosten 20,00 € und MwSt
100 μg
Lieferung nach: Deutschland
Lieferung in 13 bis 17 Werktagen

Kurzübersicht für BHMT Antikörper (N-Term) (ABIN629793)

Target

Alle BHMT Antikörper anzeigen
BHMT (Betaine--Homocysteine S-Methyltransferase (BHMT))

Reaktivität

  • 45
  • 12
  • 11
  • 6
  • 4
  • 4
  • 4
  • 3
  • 3
  • 3
  • 3
  • 2
  • 1
  • 1
  • 1
Human, Maus, Ratte, Hund

Wirt

  • 39
  • 10
  • 1
Kaninchen

Klonalität

  • 30
  • 20
Polyklonal

Konjugat

  • 38
  • 2
  • 1
  • 1
  • 1
  • 1
  • 1
  • 1
  • 1
  • 1
  • 1
  • 1
Dieser BHMT Antikörper ist unkonjugiert

Applikation

  • 47
  • 30
  • 17
  • 14
  • 9
  • 8
  • 7
  • 7
  • 1
  • 1
Western Blotting (WB), Immunohistochemistry (IHC)
  • Bindungsspezifität

    • 4
    • 4
    • 2
    • 2
    • 1
    • 1
    • 1
    • 1
    • 1
    • 1
    • 1
    • 1
    • 1
    N-Term

    Spezifität

    BHMT antibody was raised against the N terminal of BHMT

    Aufreinigung

    Purified

    Immunogen

    BHMT antibody was raised using the N terminal of BHMT corresponding to a region with amino acids AVEHPEAVRQLHREFLRAGSNVMQTFTFYASEDKLENRGNYVLEKISGQE
  • Applikationshinweise

    WB: 2.5 µg/mL, IHC: 4-8 µg/mL
    Optimal conditions should be determined by the investigator.

    Kommentare

    BHMT Blocking Peptide, (ABIN936975), is also available for use as a blocking control in assays to test for specificity of this BHMT antibody

    Beschränkungen

    Nur für Forschungszwecke einsetzbar
  • Format

    Lyophilized

    Rekonstitution

    Lyophilized powder. Add distilled water for a 1 mg/mL concentration of BHMT antibody in PBS

    Konzentration

    Lot specific

    Buffer

    PBS

    Handhabung

    Avoid repeated freeze/thaw cycles.
    Dilute only prior to immediate use.

    Lagerung

    4 °C/-20 °C

    Informationen zur Lagerung

    Store at 2-8 °C for short periods. For longer periods of storage, store at -20 °C.
  • Target

    BHMT (Betaine--Homocysteine S-Methyltransferase (BHMT))

    Andere Bezeichnung

    BHMT

    Hintergrund

    BHMT is a cytosolic enzyme that catalyzes the conversion of betaine and homocysteine to dimethylglycine and methionine, respectively. Defects in its gene could lead to hyperhomocyst(e)inemia, but such a defect has not yet been observed.Betaine-homocysteine methyltransferase is a cytosolic enzyme that catalyzes the conversion of betaine and homocysteine to dimethylglycine and methionine, respectively. Defects in BHMT could lead to hyperhomocyst(e)inemia,but such a defect has not yet been observed.

    Molekulargewicht

    45 kDa (MW of target protein)

    Pathways

    Methionine Biosynthetic Process
Sie sind hier:
Chat with us!