Telefon:
+49 (0)241 95 163 153
Fax:
+49 (0)241 95 163 155
E-Mail:
orders@antikoerper-online.de

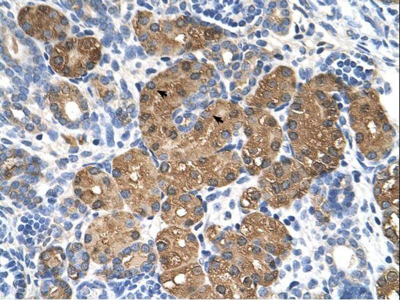
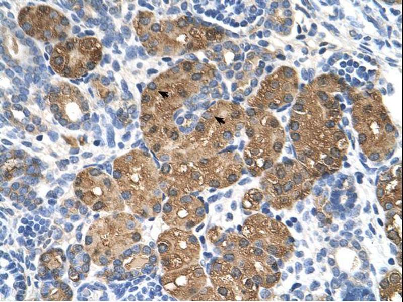
BHMT Antikörper (N-Term)

Es sind 3+ Publikationen für dieses Produkt verfügbar. Der Kaninchen Polyklonal anti-BHMT Antikörper wird verwendet zum Nachweis von BHMT in Proben von Human, Maus, Ratte, Hund, Meerschweinchen, Pferd, Rind (Kuh), Kaninchen und Zebrafisch (Danio rerio). Er wurde validiert für WB und IHC.
Produktnummer ABIN2773785
470,22 €
Zzgl. Versandkosten 20,00 € und MwSt
Lieferung nach: Deutschland
Lieferung in 6 bis 9 Werktagen

Kurzübersicht für BHMT Antikörper (N-Term) (ABIN2773785)

Target

Alle BHMT Antikörper anzeigen
BHMT (Betaine--Homocysteine S-Methyltransferase (BHMT))

Reaktivität

  • 45
  • 12
  • 11
  • 6
  • 4
  • 3
  • 3
  • 3
  • 3
  • 2
  • 2
  • 2
  • 1
  • 1
Human, Maus, Ratte, Hund, Meerschweinchen, Pferd, Rind (Kuh), Kaninchen, Zebrafisch (Danio rerio)

Wirt

  • 39
  • 10
  • 1
Kaninchen

Klonalität

  • 30
  • 20
Polyklonal

Konjugat

  • 38
  • 2
  • 1
  • 1
  • 1
  • 1
  • 1
  • 1
  • 1
  • 1
  • 1
  • 1
Dieser BHMT Antikörper ist unkonjugiert

Applikation

  • 47
  • 30
  • 17
  • 14
  • 9
  • 8
  • 7
  • 7
  • 1
  • 1
Western Blotting (WB), Immunohistochemistry (IHC)
  • Bindungsspezifität

    • 4
    • 4
    • 2
    • 2
    • 1
    • 1
    • 1
    • 1
    • 1
    • 1
    • 1
    • 1
    • 1
    N-Term

    Sequenz

    AVEHPEAVRQ LHREFLRAGS NVMQTFTFYA SEDKLENRGN YVLEKISGQE

    Homologie

    Cow: 100%, Dog: 100%, Guinea Pig: 100%, Horse: 100%, Human: 100%, Mouse: 100%, Rabbit: 100%, Rat: 100%, Zebrafish: 93%

    Produktmerkmale

    This is a rabbit polyclonal antibody against BHMT. It was validated on Western Blot and immunohistochemistry.

    Aufreinigung

    Protein A purified

    Immunogen

    The immunogen is a synthetic peptide directed towards the N terminal region of human BHMT
  • Applikationshinweise

    Optimal working dilutions should be determined experimentally by the investigator.

    Kommentare

    Antigen size: 406 AA

    Beschränkungen

    Nur für Forschungszwecke einsetzbar
  • Format

    Liquid

    Konzentration

    Lot specific

    Buffer

    Liquid. Purified antibody supplied in 1x PBS buffer with 0.09 % (w/v) sodium azide and 2 % sucrose.

    Konservierungsmittel

    Sodium azide

    Vorsichtsmaßnahmen

    This product contains Sodium azide: a POISONOUS AND HAZARDOUS SUBSTANCE which should be handled by trained staff only.

    Handhabung

    Avoid repeated freeze-thaw cycles.

    Lagerung

    -20 °C

    Informationen zur Lagerung

    For short term use, store at 2-8°C up to 1 week. For long term storage, store at -20°C in small aliquots to prevent freeze-thaw cycles.
  • Jiang, Hurt, Breen, Stabler, Allen, Orlicky, Maclean: "Sex-specific dysregulation of cysteine oxidation and the methionine and folate cycles in female cystathionine gamma-lyase null mice: a serendipitous model of the methylfolate trap." in: Biology open, Vol. 4, Issue 9, pp. 1154-62, (2015) (PubMed).

    Hu, Lausted, Yoo, Yan, Brightman, Chen, Wang, Bu, Hood: "Quantitative liver-specific protein fingerprint in blood: a signature for hepatotoxicity." in: Theranostics, Vol. 4, Issue 2, pp. 215-28, (2014) (PubMed).

    Maclean, Jiang, Greiner, Allen, Stabler et al.: "Long-term betaine therapy in a murine model of cystathionine beta-synthase deficient homocystinuria: decreased efficacy over time reveals a significant threshold effect between elevated homocysteine ..." in: Molecular genetics and metabolism, Vol. 105, Issue 3, pp. 395-403, (2012) (PubMed).

  • Target

    BHMT (Betaine--Homocysteine S-Methyltransferase (BHMT))

    Andere Bezeichnung

    BHMT

    Hintergrund

    BHMT is a cytosolic enzyme that catalyzes the conversion of betaine and homocysteine to dimethylglycine and methionine, respectively. Defects in its gene could lead to hyperhomocyst(e)inemia, but such a defect has not yet been observed.Betaine-homocysteine methyltransferase is a cytosolic enzyme that catalyzes the conversion of betaine and homocysteine to dimethylglycine and methionine, respectively. Defects in BHMT could lead to hyperhomocyst(e)inemia,but such a defect has not yet been observed.
    Alias Symbols: BHMT1
    Protein Interaction Partner: BHMT, BBS4, BBS2, BBS1, ALG9, LAMTOR3,
    Protein Size: 406

    Molekulargewicht

    45 kDa

    Gen-ID

    635

    NCBI Accession

    NM_001713, NP_001704

    UniProt

    Q93088

    Pathways

    Methionine Biosynthetic Process
Sie sind hier:
Chat with us!