XPA Antikörper (Internal Region)
Kurzübersicht für XPA Antikörper (Internal Region) (ABIN6266063)
Target
Alle XPA Antikörper anzeigenReaktivität
Wirt
Klonalität
Konjugat
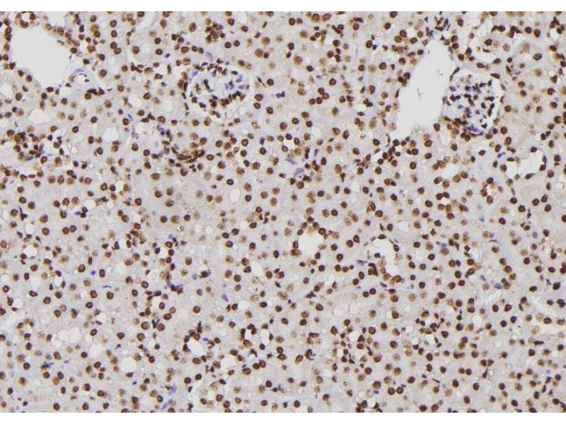
Applikation
-
-
Bindungsspezifität
- Internal Region
-
Spezifität
- XPA Antibody detects endogenous levels of total XPA.
-
Homologie
- Pig,Zebrafish,Bovine,Horse,Sheep,Dog,Xenopus
-
Aufreinigung
- The antiserum was purified by peptide affinity chromatography using SulfoLinkTM Coupling Resin (Thermo Fisher Scientific).
-
Immunogen
- A synthesized peptide derived from human XPA, corresponding to a region within the internal amino acids.
-
Isotyp
- IgG
-
-
-
-
Applikationshinweise
- WB 1:500-1:2000, IHC 1:50-1:200, IF/ICC 1:100-1:500, ELISA(peptide) 1:20000-1:40000
-
Beschränkungen
- Nur für Forschungszwecke einsetzbar
-
-
-
Format
- Liquid
-
Konzentration
- 1 mg/mL
-
Buffer
- Rabbit IgG in phosphate buffered saline , pH 7.4, 150 mM NaCl, 0.02 % sodium azide and 50 % glycerol.
-
Konservierungsmittel
- Sodium azide
-
Vorsichtsmaßnahmen
- This product contains Sodium azide: a POISONOUS AND HAZARDOUS SUBSTANCE which should be handled by trained staff only.
-
Lagerung
- -20 °C
-
Informationen zur Lagerung
- Store at -20 °C. Stable for 12 months from date of receipt.
-
Haltbarkeit
- 12 months
-
-
- XPA (Xeroderma Pigmentosum, Complementation Group A (XPA))
-
Andere Bezeichnung
- XPA
-
Hintergrund
-
Description: Involved in DNA excision repair. Initiates repair by binding to damaged sites with various affinities, depending on the photoproduct and the transcriptional state of the region. Required for UV-induced CHEK1 phosphorylation and the recruitment of CEP164 to cyclobutane pyrimidine dimmers (CPD), sites of DNA damage after UV irradiation.
Gene: XPA
-
Molekulargewicht
- 31kDa
-
Gen-ID
- 7507
-
UniProt
- P23025
-
Pathways
- DNA Reparatur
Target
-