Telefon:
+49 (0)241 95 163 153
Fax:
+49 (0)241 95 163 155
E-Mail:
orders@antikoerper-online.de

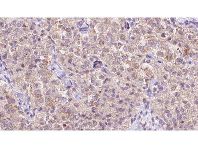
WSB1 Antikörper (Internal Region)

Der Kaninchen Polyklonal anti-WSB1 Antikörper (ABIN6266053) detektiert spezifisch WSB1 in WB, IHC, IF und ICC. Dieser Antikörper reagiert spezifisch mit Proben aus Human und Maus.
Produktnummer ABIN6266053
525,71 €
Zzgl. Versandkosten 20,00 € und MwSt
Lieferung nach: Deutschland
Lieferung in 9 bis 11 Werktagen

Kurzübersicht für WSB1 Antikörper (Internal Region) (ABIN6266053)

Target

Alle WSB1 Antikörper anzeigen
WSB1 (WD Repeat and SOCS Box Containing 1 (WSB1))

Reaktivität

  • 22
  • 3
  • 2
  • 1
  • 1
  • 1
  • 1
  • 1
  • 1
Human, Maus

Wirt

  • 20
  • 2
Kaninchen

Klonalität

  • 20
  • 2
Polyklonal

Konjugat

  • 12
  • 2
  • 1
  • 1
  • 1
  • 1
  • 1
  • 1
  • 1
  • 1
Dieser WSB1 Antikörper ist unkonjugiert

Applikation

  • 11
  • 9
  • 3
  • 2
  • 2
Western Blotting (WB), Immunohistochemistry (IHC), Immunofluorescence (IF), Immunocytochemistry (ICC)
  • Bindungsspezifität

    • 6
    • 2
    • 1
    • 1
    • 1
    • 1
    • 1
    • 1
    • 1
    Internal Region

    Spezifität

    WSB1 Antibody detects endogenous levels of total WSB1.

    Homologie

    Pig,Zebrafish,Bovine,Horse,Rabbit,Dog

    Aufreinigung

    The antiserum was purified by peptide affinity chromatography using SulfoLinkTM Coupling Resin (Thermo Fisher Scientific).

    Immunogen

    A synthesized peptide derived from human WSB1, corresponding to a region within the internal amino acids.

    Isotyp

    IgG
  • Applikationshinweise

    WB 1:500-1:2000, IHC 1:50-1:200, IF/ICC 1:100-1:500

    Beschränkungen

    Nur für Forschungszwecke einsetzbar
  • Format

    Liquid

    Konzentration

    1 mg/mL

    Buffer

    Rabbit IgG in phosphate buffered saline , pH 7.4, 150 mM NaCl, 0.02 % sodium azide and 50 % glycerol.

    Konservierungsmittel

    Sodium azide

    Vorsichtsmaßnahmen

    This product contains Sodium azide: a POISONOUS AND HAZARDOUS SUBSTANCE which should be handled by trained staff only.

    Lagerung

    -20 °C

    Informationen zur Lagerung

    Store at -20 °C. Stable for 12 months from date of receipt.

    Haltbarkeit

    12 months
  • Target

    WSB1 (WD Repeat and SOCS Box Containing 1 (WSB1))

    Andere Bezeichnung

    WSB1

    Hintergrund

    Description: Probable substrate-recognition component of a SCF-like ECS (Elongin-Cullin-SOCS-box protein) E3 ubiquitin ligase complex which mediates the ubiquitination and subsequent proteasomal degradation of target proteins. Recognizes type II iodothyronine deiodinase/DIO2. Confers constitutive instability to HIPK2 through proteasomal degradation.

    Gene: WSB1

    Molekulargewicht

    56 kDa

    Gen-ID

    26118

    UniProt

    Q9Y6I7
Sie sind hier:
Chat with us!