Telefon:
+49 (0)241 95 163 153
Fax:
+49 (0)241 95 163 155
E-Mail:
orders@antikoerper-online.de

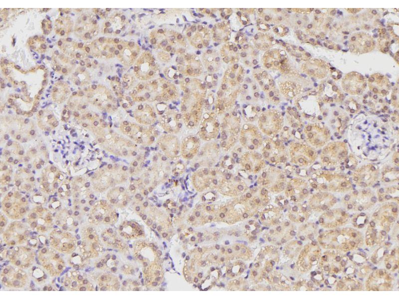
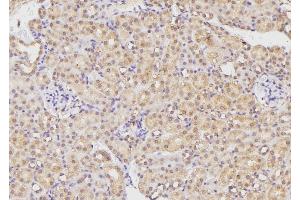
BMX Antikörper (C-Term)

Der Kaninchen Polyklonal anti-BMX Antikörper (ABIN6261616) detektiert spezifisch BMX in WB, IHC, ELISA, IF und ICC. Dieser Antikörper reagiert spezifisch mit Proben aus Human und Maus.
Produktnummer ABIN6261616
630,85 €
Zzgl. Versandkosten 20,00 € und MwSt
Lieferung nach: Deutschland
Lieferung in 9 bis 11 Werktagen

Kurzübersicht für BMX Antikörper (C-Term) (ABIN6261616)

Target

Alle BMX Antikörper anzeigen
BMX (BMX Non-Receptor Tyrosine Kinase (BMX))

Reaktivität

  • 67
  • 57
  • 21
  • 6
  • 1
  • 1
  • 1
  • 1
Human, Maus

Wirt

  • 79
  • 4
Kaninchen

Klonalität

  • 79
  • 4
Polyklonal

Konjugat

  • 44
  • 3
  • 3
  • 3
  • 2
  • 2
  • 2
  • 2
  • 2
  • 2
  • 2
  • 2
  • 2
  • 2
  • 2
  • 1
  • 1
  • 1
  • 1
  • 1
  • 1
  • 1
  • 1
Dieser BMX Antikörper ist unkonjugiert

Applikation

  • 73
  • 37
  • 34
  • 26
  • 26
  • 22
  • 17
  • 7
  • 4
  • 3
  • 2
  • 1
Western Blotting (WB), Immunohistochemistry (IHC), ELISA, Immunofluorescence (IF), Immunocytochemistry (ICC)
  • Bindungsspezifität

    • 25
    • 20
    • 7
    • 5
    • 3
    • 3
    • 2
    • 2
    • 2
    • 1
    • 1
    • 1
    • 1
    • 1
    • 1
    • 1
    • 1
    • 1
    • 1
    • 1
    • 1
    • 1
    • 1
    C-Term

    Spezifität

    BMX Antibody detects endogenous levels of total BMX.

    Homologie

    Pig,Bovine,Horse,Sheep,Rabbit,Dog

    Aufreinigung

    The antiserum was purified by peptide affinity chromatography using SulfoLinkTM Coupling Resin (Thermo Fisher Scientific).

    Immunogen

    A synthesized peptide derived from human BMX, corresponding to a region within C-terminal amino acids.

    Isotyp

    IgG
  • Applikationshinweise

    WB 1:500-1:2000, IHC 1:50-1:200, IF/ICC 1:100-1:500, ELISA(peptide) 1:20000-1:40000

    Beschränkungen

    Nur für Forschungszwecke einsetzbar
  • Format

    Liquid

    Konzentration

    1 mg/mL

    Buffer

    Rabbit IgG in phosphate buffered saline , pH 7.4, 150 mM NaCl, 0.02 % sodium azide and 50 % glycerol.

    Konservierungsmittel

    Sodium azide

    Vorsichtsmaßnahmen

    This product contains Sodium azide: a POISONOUS AND HAZARDOUS SUBSTANCE which should be handled by trained staff only.

    Lagerung

    -20 °C

    Informationen zur Lagerung

    Store at -20 °C. Stable for 12 months from date of receipt.

    Haltbarkeit

    12 months
  • Target

    BMX (BMX Non-Receptor Tyrosine Kinase (BMX))

    Andere Bezeichnung

    BMX

    Hintergrund

    Description: Non-receptor tyrosine kinase that plays central but diverse modulatory roles in various signaling processes involved in the regulation of actin reorganization, cell migration, cell proliferation and survival, cell adhesion, and apoptosis. Participates in signal transduction stimulated by growth factor receptors, cytokine receptors, G-protein coupled receptors, antigen receptors and integrins. Induces tyrosine phosphorylation of BCAR1 in response to integrin regulation. Activation of BMX by integrins is mediated by PTK2/FAK1, a key mediator of integrin signaling events leading to the regulation of actin cytoskeleton and cell motility. Plays a critical role in TNF-induced angiogenesis, and implicated in the signaling of TEK and FLT1 receptors, 2 important receptor families essential for angiogenesis. Required for the phosphorylation and activation of STAT3, a transcription factor involved in cell differentiation. Also involved in interleukin-6 (IL6) induced differentiation. Plays also a role in programming adaptive cytoprotection against extracellular stress in different cell systems, salivary epithelial cells, brain endothelial cells, and dermal fibroblasts. May be involved in regulation of endocytosis through its interaction with an endosomal protein RUFY1. May also play a role in the growth and differentiation of hematopoietic cells, as well as in signal transduction in endocardial and arterial endothelial cells.

    Gene: BMX

    Molekulargewicht

    78kDa

    Gen-ID

    660

    UniProt

    P51813
Sie sind hier:
Chat with us!