Telefon:
+49 (0)241 95 163 153
Fax:
+49 (0)241 95 163 155
E-Mail:
orders@antikoerper-online.de

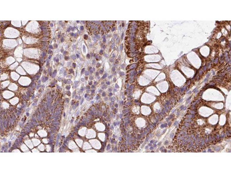
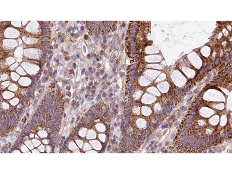
BBS2 Antikörper (C-Term)

Der Kaninchen Polyklonal anti-BBS2 Antikörper (ABIN6260209) detektiert spezifisch BBS2 in WB und IHC. Dieser Antikörper reagiert spezifisch mit Proben aus Human, Maus und Ratte.
Produktnummer ABIN6260209
525,71 €
Zzgl. Versandkosten 20,00 € und MwSt
Lieferung nach: Deutschland
Lieferung in 9 bis 11 Werktagen

Kurzübersicht für BBS2 Antikörper (C-Term) (ABIN6260209)

Target

Alle BBS2 Antikörper anzeigen
BBS2 (Bardet-Biedl Syndrome 2 (BBS2))

Reaktivität

  • 12
  • 5
  • 4
  • 3
  • 3
  • 3
  • 3
  • 3
  • 2
  • 2
  • 1
  • 1
Human, Maus, Ratte

Wirt

  • 10
  • 3
Kaninchen

Klonalität

  • 12
  • 1
Polyklonal

Konjugat

  • 13
Dieser BBS2 Antikörper ist unkonjugiert

Applikation

  • 12
  • 5
  • 3
  • 2
  • 1
Western Blotting (WB), Immunohistochemistry (IHC)
  • Bindungsspezifität

    • 2
    • 2
    • 2
    • 1
    • 1
    • 1
    • 1
    C-Term

    Spezifität

    BBS2 Antibody detects endogenous levels of total BBS2.

    Homologie

    Pig,Bovine,Horse,Sheep,Rabbit,Dog,Chicken

    Aufreinigung

    The antiserum was purified by peptide affinity chromatography using SulfoLinkTM Coupling Resin (Thermo Fisher Scientific).

    Immunogen

    A synthesized peptide derived from human BBS2, corresponding to a region within C-terminal amino acids.

    Isotyp

    IgG
  • Applikationshinweise

    WB 1:500-1:2000, IHC 1:50-1:200

    Beschränkungen

    Nur für Forschungszwecke einsetzbar
  • Format

    Liquid

    Konzentration

    1 mg/mL

    Buffer

    Rabbit IgG in phosphate buffered saline , pH 7.4, 150 mM NaCl, 0.02 % sodium azide and 50 % glycerol.

    Konservierungsmittel

    Sodium azide

    Vorsichtsmaßnahmen

    This product contains Sodium azide: a POISONOUS AND HAZARDOUS SUBSTANCE which should be handled by trained staff only.

    Lagerung

    -20 °C

    Informationen zur Lagerung

    Store at -20 °C. Stable for 12 months from date of receipt.

    Haltbarkeit

    12 months
  • Target

    BBS2 (Bardet-Biedl Syndrome 2 (BBS2))

    Andere Bezeichnung

    BBS2

    Hintergrund

    Description: The BBSome complex is thought to function as a coat complex required for sorting of specific membrane proteins to the primary cilia. The BBSome complex is required for ciliogenesis but is dispensable for centriolar satellite function. This ciliogenic function is mediated in part by the Rab8 GDP/GTP exchange factor, which localizes to the basal body and contacts the BBSome. Rab8(GTP) enters the primary cilium and promotes extension of the ciliary membrane. Firstly the BBSome associates with the ciliary membrane and binds to RAB3IP/Rabin8, the guanosyl exchange factor (GEF) for Rab8 and then the Rab8-GTP localizes to the cilium and promotes docking and fusion of carrier vesicles to the base of the ciliary membrane. The BBSome complex, together with the LTZL1, controls SMO ciliary trafficking and contributes to the sonic hedgehog (SHH) pathway regulation. Required for proper BBSome complex assembly and its ciliary localization.

    Gene: BBS2

    Molekulargewicht

    80 kDa

    Gen-ID

    583

    UniProt

    Q9BXC9

    Pathways

    Hedgehog Signalweg
Sie sind hier:
Chat with us!