Telefon:
+49 (0)241 95 163 153
Fax:
+49 (0)241 95 163 155
E-Mail:
orders@antikoerper-online.de

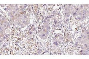
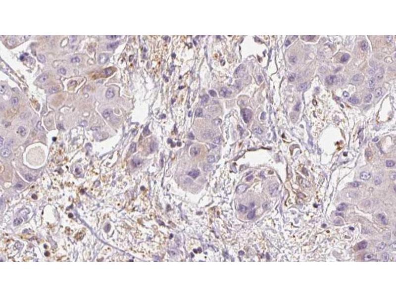
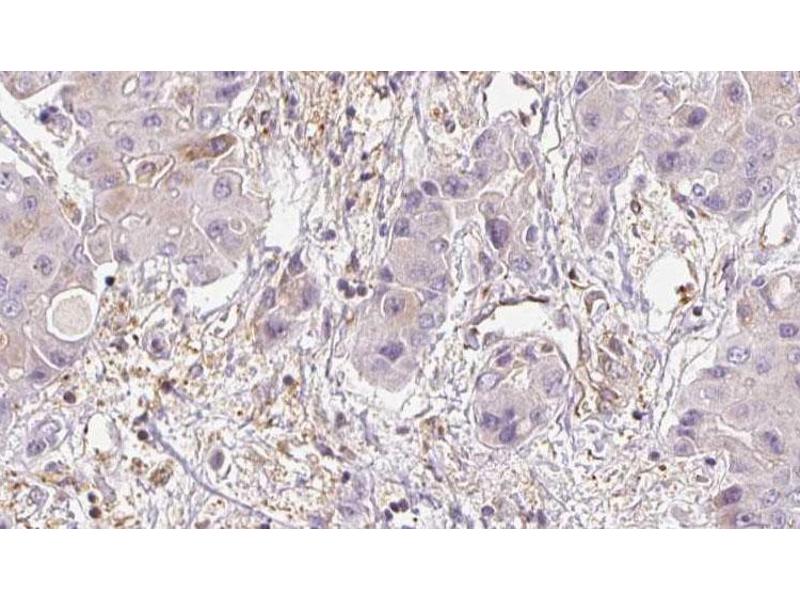
MRGPRD Antikörper (C-Term)

Der Kaninchen Polyklonal anti-MRGPRD Antikörper wird verwendet zum Nachweis von MRGPRD in Proben von Human. Er wurde validiert für WB, IHC und ELISA.
Produktnummer ABIN6256842
525,71 €
Zzgl. Versandkosten 20,00 € und MwSt
Lieferung nach: Deutschland
Lieferung in 9 bis 11 Werktagen

Kurzübersicht für MRGPRD Antikörper (C-Term) (ABIN6256842)

Target

Alle MRGPRD Antikörper anzeigen
MRGPRD (MAS-Related GPR, Member D (MRGPRD))

Reaktivität

  • 28
  • 4
  • 2
  • 1
Human

Wirt

  • 29
  • 1
Kaninchen

Klonalität

  • 30
Polyklonal

Konjugat

  • 9
  • 1
  • 1
  • 1
  • 1
  • 1
  • 1
  • 1
  • 1
  • 1
  • 1
  • 1
  • 1
  • 1
  • 1
  • 1
  • 1
  • 1
  • 1
  • 1
  • 1
  • 1
Dieser MRGPRD Antikörper ist unkonjugiert

Applikation

  • 20
  • 13
  • 13
  • 7
  • 4
  • 4
  • 3
  • 1
  • 1
Western Blotting (WB), Immunohistochemistry (IHC), ELISA
  • Bindungsspezifität

    • 15
    • 2
    • 2
    • 2
    • 1
    • 1
    • 1
    C-Term

    Spezifität

    MRGRD Antibody detects endogenous levels of total MRGRD.

    Aufreinigung

    The antiserum was purified by peptide affinity chromatography using SulfoLinkTM Coupling Resin (Thermo Fisher Scientific).

    Immunogen

    A synthesized peptide derived from human MRGRD, corresponding to a region within C-terminal amino acids.

    Isotyp

    IgG
  • Applikationshinweise

    WB 1:500-1:2000, IHC 1:50-1:200, ELISA(peptide) 1:20000-1:40000

    Beschränkungen

    Nur für Forschungszwecke einsetzbar
  • Format

    Liquid

    Konzentration

    1 mg/mL

    Buffer

    Rabbit IgG in phosphate buffered saline, pH 7.4, 150 mM NaCl, 0.02 % sodium azide and 50 % glycerol.

    Konservierungsmittel

    Sodium azide

    Vorsichtsmaßnahmen

    This product contains Sodium azide: a POISONOUS AND HAZARDOUS SUBSTANCE which should be handled by trained staff only.

    Lagerung

    -20 °C

    Haltbarkeit

    12 months
  • Target

    MRGPRD (MAS-Related GPR, Member D (MRGPRD))

    Andere Bezeichnung

    MRGPRD

    Hintergrund

    Description: May regulate nociceptor function and/or development, including the sensation or modulation of pain. Functions as a specific membrane receptor for beta-alanine. Beta-alanine at micromolar doses specifically evoked Ca2+ influx in cells expressing the receptor. Beta-alanine decreases forskolin-stimulated cAMP production in cells expressing the receptor, suggesting that the receptor couples with G-protein G(q) and G(i).

    Gene: MRGPRD

    Molekulargewicht

    41 kDa,10 % SDS-PAGE

    Gen-ID

    116512

    UniProt

    Q8TDS7
Sie sind hier:
Chat with us!