Telefon:
+49 (0)241 95 163 153
Fax:
+49 (0)241 95 163 155
E-Mail:
orders@antikoerper-online.de

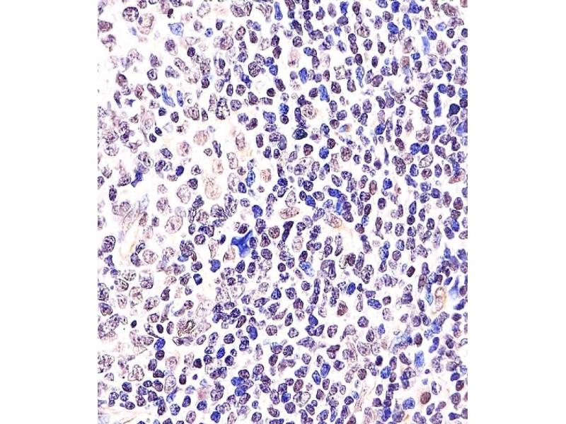
BCL6 Antikörper (AA 364-395)

Der Kaninchen Polyklonal anti-BCL6 Antikörper (Klon RB43648) (ABIN6243067) detektiert spezifisch BCL6 in WB und IHC (p). Dieser Antikörper reagiert spezifisch mit Proben aus Human und Maus.
Produktnummer ABIN6243067
434,77 €
Zzgl. Versandkosten 20,00 € und MwSt
Lieferung nach: Deutschland
Lieferung in 14 bis 17 Werktagen

Kurzübersicht für BCL6 Antikörper (AA 364-395) (ABIN6243067)

Target

Alle BCL6 Antikörper anzeigen
BCL6 (B-Cell CLL/lymphoma 6 (BCL6))

Reaktivität

  • 173
  • 61
  • 26
  • 9
  • 3
  • 2
  • 1
  • 1
  • 1
  • 1
  • 1
Human, Maus

Wirt

  • 104
  • 67
  • 2
  • 1
Kaninchen

Klonalität

  • 112
  • 62
Polyklonal

Konjugat

  • 84
  • 14
  • 7
  • 6
  • 6
  • 6
  • 6
  • 6
  • 6
  • 4
  • 4
  • 4
  • 4
  • 4
  • 4
  • 4
  • 2
  • 1
  • 1
  • 1
Dieser BCL6 Antikörper ist unkonjugiert

Applikation

  • 83
  • 81
  • 39
  • 39
  • 36
  • 35
  • 27
  • 17
  • 11
  • 11
  • 5
  • 2
  • 2
  • 2
  • 1
  • 1
  • 1
  • 1
  • 1
Western Blotting (WB), Immunohistochemistry (Paraffin-embedded Sections) (IHC (p))

Klon

RB43648
  • Bindungsspezifität

    • 61
    • 12
    • 11
    • 7
    • 4
    • 4
    • 3
    • 3
    • 3
    • 3
    • 2
    • 2
    • 1
    • 1
    • 1
    • 1
    • 1
    • 1
    • 1
    • 1
    • 1
    • 1
    • 1
    • 1
    • 1
    • 1
    • 1
    • 1
    • 1
    • 1
    • 1
    • 1
    AA 364-395

    Aufreinigung

    This antibody is purified through a protein A column, followed by peptide affinity purification.

    Immunogen

    This BCL6 antibody is generated from a rabbit immunized with a KLH conjugated synthetic peptide between 364-395 amino acids from the Central region of human BCL6.

    Isotyp

    Ig Fraction
  • Applikationshinweise

    WB: 1:1000. IHC-P: 1:25

    Beschränkungen

    Nur für Forschungszwecke einsetzbar
  • Format

    Liquid

    Buffer

    Purified polyclonal antibody supplied in PBS with 0.09 % (W/V) sodium azide.

    Konservierungsmittel

    Sodium azide

    Vorsichtsmaßnahmen

    This product contains Sodium azide: a POISONOUS AND HAZARDOUS SUBSTANCE which should be handled by trained staff only.

    Lagerung

    4 °C,-20 °C

    Haltbarkeit

    6 months
  • Target

    BCL6 (B-Cell CLL/lymphoma 6 (BCL6))

    Andere Bezeichnung

    BCL6

    Hintergrund

    Transcriptional repressor mainly required for germinal center (GC) formation and antibody affinity maturation which has different mechanisms of action specific to the lineage and biological functions. Forms complexes with different corepressors and histone deacetylases to repress the transcriptional expression of different subsets of target genes. Represses its target genes by binding directly to the DNA sequence 5'-TTCCTAGAA-3' (BCL6- binding site) or indirectly by repressing the transcriptional activity of transcription factors. In GC B-cells, represses genes that function in differentiation, inflammation, apoptosis and cell cycle control, also autoregulates its transcriptional expression and up-regulates, indirectly, the expression of some genes important for GC reactions, such as AICDA, through the repression of microRNAs expression, like miR155. An important function is to allow GC B-cells to proliferate very rapidly in response to T-cell dependent antigens and tolerate the physiological DNA breaks required for immunglobulin class switch recombination and somatic hypermutation without inducing a p53/TP53-dependent apoptotic response. In follicular helper CD4(+) T-cells (T(FH) cells), promotes the expression of T(FH)-related genes but inhibits the differentiation of T(H)1, T(H)2 and T(H)17 cells. Also required for the establishment and maintenance of immunological memory for both T- and B-cells. Suppresses macrophage proliferation through competition with STAT5 for STAT-binding motifs binding on certain target genes, such as CCL2 and CCND2. In response to genotoxic stress, controls cell cycle arrest in GC B-cells in both p53/TP53- dependedent and -independent manners. Besides, also controls neurogenesis through the alteration of the composition of NOTCH- dependent transcriptional complexes at selective NOTCH targets, such as HES5, including the recruitment of the deacetylase SIRT1 and resulting in an epigenetic silencing leading to neuronal differentiation.

    Molekulargewicht

    78846

    UniProt

    P41182

    Pathways

    Chromatin Binding, Regulation of Leukocyte Mediated Immunity, Production of Molecular Mediator of Immune Response, Protein targeting to Nucleus
Sie sind hier:
Chat with us!