Telefon:
+49 (0)241 95 163 153
Fax:
+49 (0)241 95 163 155
E-Mail:
orders@antikoerper-online.de

MLL3 Antikörper (N-Term)

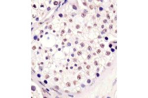
Der Kaninchen Polyklonal anti-MLL3 Antikörper (Klon RB52487) (ABIN6242809) detektiert spezifisch MLL3 in IHC (p). Dieser Antikörper reagiert spezifisch mit Proben aus Human.
Produktnummer ABIN6242809
434,77 €
Zzgl. Versandkosten 20,00 € und MwSt
Lieferung nach: Deutschland
Lieferung in 14 bis 17 Werktagen

Kurzübersicht für MLL3 Antikörper (N-Term) (ABIN6242809)

Target

MLL3 (KMT2C) (Histone-lysine N-methyltransferase 2C (KMT2C))

Reaktivität

Human

Wirt

  • 9
  • 4
Kaninchen

Klonalität

  • 9
  • 4
Polyklonal

Konjugat

  • 6
  • 1
  • 1
  • 1
  • 1
  • 1
  • 1
  • 1
Dieser MLL3 Antikörper ist unkonjugiert

Applikation

  • 2
  • 2
  • 2
  • 1
  • 1
  • 1
Immunohistochemistry (Paraffin-embedded Sections) (IHC (p))

Klon

RB52487
Sie sind hier:
Chat with us!