Telefon:
+49 (0)241 95 163 153
Fax:
+49 (0)241 95 163 155
E-Mail:
orders@antikoerper-online.de

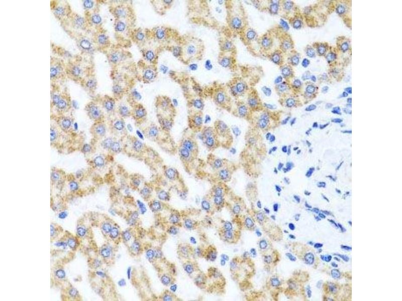
RIPK4 Antikörper (AA 240-520)

Dieser Kaninchen Polyklonal Antikörper detektiert spezifisch RIPK4 in IHC und WB. Es zeigt Reaktivität gegenüber Proben von Human.
Produktnummer ABIN6146969
320,00 €
Zzgl. Versandkosten 20,00 € und MwSt
Lieferung nach: Deutschland
Lieferung in 7 bis 9 Werktagen

Kurzübersicht für RIPK4 Antikörper (AA 240-520) (ABIN6146969)

Target

Alle RIPK4 Antikörper anzeigen
RIPK4 (Receptor-Interacting Serine-threonine Kinase 4 (RIPK4))

Reaktivität

  • 32
  • 18
  • 8
  • 4
  • 3
  • 3
  • 3
  • 2
  • 1
  • 1
  • 1
  • 1
Human

Wirt

  • 28
  • 5
Kaninchen

Klonalität

  • 28
  • 5
Polyklonal

Konjugat

  • 20
  • 2
  • 2
  • 1
  • 1
  • 1
  • 1
  • 1
  • 1
  • 1
  • 1
  • 1
Dieser RIPK4 Antikörper ist unkonjugiert

Applikation

  • 25
  • 17
  • 15
  • 3
  • 2
  • 1
Immunohistochemistry (IHC), Western Blotting (WB)
  • Bindungsspezifität

    • 8
    • 4
    • 3
    • 2
    • 2
    • 1
    • 1
    • 1
    • 1
    • 1
    AA 240-520

    Sequenz

    HRPELPPVCR ARPRACSHLI RLMQRCWQGD PRVRPTFQEI TSETEDLCEK PDDEVKETAH DLDVKSPPEP RSEVVPARLK RASAPTFDND YSLSELLSQL DSGVSQAVEG PEELSRSSSE SKLPSSGSGK RLSGVSSVDS AFSSRGSLSL SFEREPSTSD LGTTDVQKKK LVDAIVSGDT SKLMKILQPQ DVDLALDSGA SLLHLAVEAG QEECAKWLLL NNANPNLSNR RGSTPLHMAV ERRVRGVVEL LLARKISVNA KDEDQWTALH FAAQNGDESS T

    Kreuzreaktivität

    Human, Maus

    Produktmerkmale

    Polyclonal Antibodies

    Immunogen

    Recombinant fusion protein containing a sequence corresponding to amino acids 240-520 of human RIPK4 (NP_065690.2).

    Isotyp

    IgG
  • Applikationshinweise

    WB,1:500 - 1:2000,IHC,1:100 - 1:200

    Kommentare

    HIGH QUALITY

    Beschränkungen

    Nur für Forschungszwecke einsetzbar
  • Format

    Liquid

    Buffer

    PBS with 0.02 % sodium azide,50 % glycerol, pH 7.3.

    Konservierungsmittel

    Sodium azide

    Vorsichtsmaßnahmen

    This product contains Sodium azide: a POISONOUS AND HAZARDOUS SUBSTANCE which should be handled by trained staff only.

    Lagerung

    -20 °C

    Informationen zur Lagerung

    Store at -20°C. Avoid freeze / thaw cycles.
  • Target

    RIPK4 (Receptor-Interacting Serine-threonine Kinase 4 (RIPK4))

    Andere Bezeichnung

    RIPK4

    Hintergrund

    The protein encoded by this gene is a serine/threonine protein kinase that interacts with protein kinase C-delta. The encoded protein can also activate NFkappaB and is required for keratinocyte differentiation. This kinase undergoes autophosphorylation.,RIPK4,ANKK2,ANKRD3,DIK,NKRD3,PKK,PPS2,RIP4,Epigenetics & Nuclear Signaling,Signal Transduction,Kinase,Immunology & Inflammation,NF-kB Signaling Pathway,RIPK4

    Molekulargewicht

    86 kDa/91 kDa

    Gen-ID

    54101

    UniProt

    P57078
Sie sind hier:
Chat with us!