Telefon:
+49 (0)241 95 163 153
Fax:
+49 (0)241 95 163 155
E-Mail:
orders@antikoerper-online.de

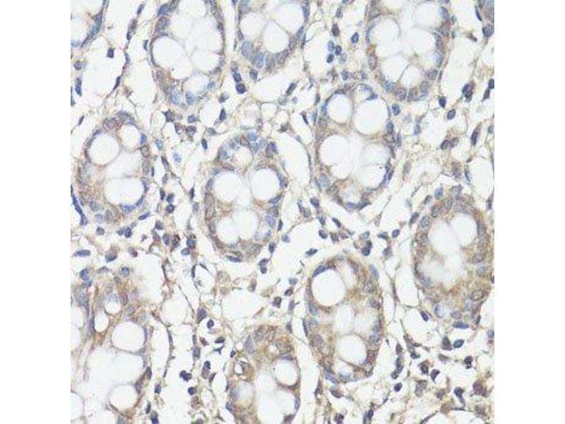
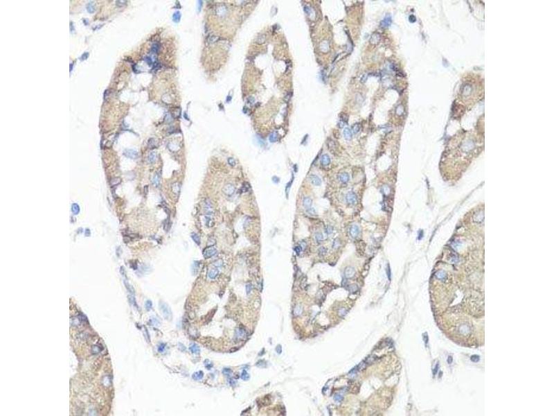
FAK Antikörper (AA 700-800)

Zitiert in 1 Publikation. Der Kaninchen Polyklonal anti-FAK Antikörper (ABIN6146423) detektiert spezifisch FAK in WB, IHC, IF und IP. Dieser Antikörper reagiert spezifisch mit Proben aus Human.
Produktnummer ABIN6146423
320,00 €
Zzgl. Versandkosten 20,00 € und MwSt
Lieferung nach: Deutschland
Lieferung in 7 bis 9 Werktagen

Kurzübersicht für FAK Antikörper (AA 700-800) (ABIN6146423)

Highlights

  • High quality FAK Primärantikörper for the detection of PTK2.
  • Reliable product with high standard validation data

Target

Alle FAK (PTK2) Antikörper anzeigen
FAK (PTK2) (PTK2 Protein tyrosine Kinase 2 (PTK2))

Reaktivität

  • 380
  • 325
  • 256
  • 24
  • 21
  • 17
  • 17
  • 13
  • 8
  • 7
  • 6
  • 4
  • 3
  • 3
  • 2
  • 1
  • 1
  • 1
  • 1
  • 1
Human

Wirt

  • 384
  • 23
  • 3
  • 2
  • 1
  • 1
Kaninchen

Klonalität

  • 333
  • 81
Polyklonal

Konjugat

  • 173
  • 21
  • 16
  • 12
  • 11
  • 11
  • 10
  • 10
  • 10
  • 10
  • 10
  • 10
  • 10
  • 10
  • 10
  • 10
  • 10
  • 10
  • 10
  • 10
  • 10
  • 10
  • 4
  • 4
  • 1
  • 1
Dieser FAK Antikörper ist unkonjugiert

Applikation

  • 342
  • 133
  • 133
  • 132
  • 106
  • 95
  • 71
  • 66
  • 53
  • 40
  • 31
  • 3
  • 2
  • 2
  • 2
  • 2
Western Blotting (WB), Immunohistochemistry (IHC), Immunofluorescence (IF), Immunoprecipitation (IP)
  • Bindungsspezifität

    • 49
    • 44
    • 32
    • 28
    • 25
    • 23
    • 21
    • 21
    • 16
    • 16
    • 13
    • 12
    • 7
    • 5
    • 5
    • 4
    • 4
    • 3
    • 3
    • 3
    • 3
    • 3
    • 2
    • 2
    • 2
    • 2
    • 2
    • 2
    • 2
    • 2
    • 2
    • 2
    • 2
    • 2
    • 2
    • 2
    • 2
    • 2
    • 2
    • 2
    • 1
    • 1
    • 1
    • 1
    • 1
    • 1
    • 1
    • 1
    • 1
    • 1
    AA 700-800

    Sequenz

    TVSWDSGGSD EAPPKPSRPG YPSPRSSEGF YPSPQHMVQT NHYQVSGYPG SHGITAMAGS IYPGQASLLD QTDSWNHRPQ EIAMWQPNVE DSTVLDLRGI G

    Kreuzreaktivität

    Human, Maus, Ratte

    Produktmerkmale

    Polyclonal Antibodies

    Immunogen

    A synthetic peptide corresponding to a sequence within amino acids 700-800 of human FAK (NP_722560.1).

    Isotyp

    IgG

    Produktspezifische Information

    What can the FAK Antibody ABIN6146423 be used for?
    This polyclonal FAK Antibody detects FAK. The FAK Antibody has been validated for various applications and can be used for the detection of FAK and derivatives by Western Blotting, Immunohistochemistry, Immunofluorescence, Immunoprecipitation.
    What validation data is available for this FAK Antibody?
    The Primärantikörper is referenced in 1 publications and is characterized by a proven, very high reliability. It has currently 7 product images that show its performance in a variety of applications. The product is currently available in 20 μL, 100 μL, 500 μL, 1000 μL quantities. FAK Antibody for the detection of FAK and derivatives.
    What is the function of FAK?
    This gene encodes a cytoplasmic protein tyrosine kinase which is found concentrated in the focal adhesions that form between cells growing in the presence of extracellular matrix constituents. The encoded protein is a member of the FAK subfamily of protein tyrosine kinases but lacks significant sequence similarity to kinases from other subfamilies. Activation of this gene may be an important early step in cell growth and intracellular signal transduction pathways triggered in response to certain neural peptides or to cell interactions with the extracellular matrix. Several transcript variants encoding different isoforms have been found for this gene, but the full-length natures of only three of them have been determined. [provided by RefSeq, Dec 2010].
  • Applikationshinweise

    WB,1:500 - 1:2000,IHC,1:50 - 1:200,IF,1:50 - 1:200,IP,1:50 - 1:100

    Beschränkungen

    Nur für Forschungszwecke einsetzbar
  • Format

    Liquid

    Buffer

    PBS with 0.02 % sodium azide,50 % glycerol, pH 7.3.

    Konservierungsmittel

    Sodium azide

    Vorsichtsmaßnahmen

    This product contains Sodium azide: a POISONOUS AND HAZARDOUS SUBSTANCE which should be handled by trained staff only.

    Lagerung

    -20 °C

    Informationen zur Lagerung

    Store at -20°C. Avoid freeze / thaw cycles.
  • Shen, Sun, Sun, Li, Wu, Li, Chen, Liu, Cui, Zhou: "ARRDC3 suppresses colorectal cancer progression through destabilizing the oncoprotein YAP." in: FEBS letters, Vol. 592, Issue 4, pp. 599-609, (2019) (PubMed).

  • Target

    FAK (PTK2) (PTK2 Protein tyrosine Kinase 2 (PTK2))

    Andere Bezeichnung

    PTK2

    Hintergrund

    This gene encodes a cytoplasmic protein tyrosine kinase which is found concentrated in the focal adhesions that form between cells growing in the presence of extracellular matrix constituents. The encoded protein is a member of the FAK subfamily of protein tyrosine kinases but lacks significant sequence similarity to kinases from other subfamilies. Activation of this gene may be an important early step in cell growth and intracellular signal transduction pathways triggered in response to certain neural peptides or to cell interactions with the extracellular matrix. Several transcript variants encoding different isoforms have been found for this gene.,FADK,FAK,FAK1,FRNK,PPP1R71,p125FAK,pp125FAK,PTK2,Cancer,Signal Transduction,G protein signaling,G2/M DNA Damage Checkpoint,Kinase,Tyrosine kinases,PI3K-Akt Signaling Pathway,ErbB-HER Signaling Pathway,MAPK-Erk Signaling Pathway,Cell Biology & Developmental Biology,Apoptosis,Cytoskeleton,Actins,Extracellular Matrix,Immunology & Inflammation,Cardiovascular,Angiogenesis,PTK2

    Molekulargewicht

    39 kDa/48 kDa/63 kDa/99 kDa/114 kDa/119 kDa/120 kDa

    Gen-ID

    5747

    UniProt

    Q05397

    Pathways

    Response to Growth Hormone Stimulus, CXCR4-mediated Signaling Events, Smooth Muscle Cell Migration, Signaling of Hepatocyte Growth Factor Receptor, VEGF Signaling
Sie sind hier:
Chat with us!