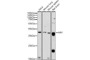
Der Kaninchen Polyklonal anti-MR1 Antikörper (ABIN6143983) detektiert spezifisch MR1 in WB und IF.
Dieser Antikörper reagiert spezifisch mit Proben aus Human.
MR1
Reaktivität: Human
Wirt: Kaninchen
Polyclonal
FITC
Applikationshinweise
WB,1:500 - 1:2000,IF,1:50 - 1:200
Beschränkungen
Nur für Forschungszwecke einsetzbar
Format
Liquid
Buffer
PBS with 0.02 % sodium azide,50 % glycerol, pH 7.3.
Konservierungsmittel
Sodium azide
Vorsichtsmaßnahmen
This product contains Sodium azide: a POISONOUS AND HAZARDOUS SUBSTANCE which should be handled by trained staff only.
Lagerung
-20 °C
Informationen zur Lagerung
Store at -20°C. Avoid freeze / thaw cycles.
Target
MR1
(Major Histocompatibility Complex, Class I-Related (MR1))
Andere Bezeichnung
MR1
Hintergrund
MAIT (mucosal-associated invariant T-cells) lymphocytes represent a small population of T-cells primarily found in the gut. The protein encoded by this gene is an antigen-presenting molecule that presents metabolites of microbial vitamin B to MAITs. This presentation may activate the MAITs to regulate the amounts of specific types of bacteria in the gut. Several transcript variants encoding different isoforms have been found for this gene, and a pseudogene of it has been detected about 36 kbp upstream on the same chromosome.,MR1,HLALS,Immunology & Inflammation,MR1