Telefon:
+49 (0)241 95 163 153
Fax:
+49 (0)241 95 163 155
E-Mail:
orders@antikoerper-online.de

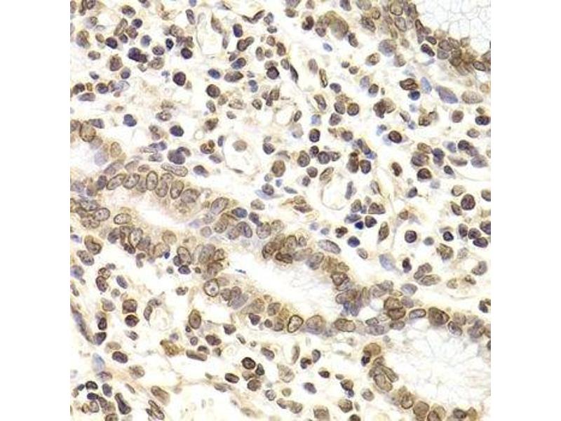
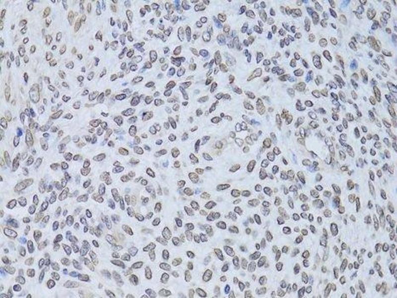
Lamin B2 Antikörper (AA 341-620)

Der Kaninchen Polyklonal anti-Lamin B2 Antikörper (ABIN6143268) detektiert spezifisch Lamin B2 in WB, IHC und IF. Dieser Antikörper reagiert spezifisch mit Proben aus Human.
Produktnummer ABIN6143268
320,00 €
Zzgl. Versandkosten 20,00 € und MwSt
Lieferung nach: Deutschland
Lieferung in 7 bis 9 Werktagen

Kurzübersicht für Lamin B2 Antikörper (AA 341-620) (ABIN6143268)

Target

Alle Lamin B2 (LMNB2) Antikörper anzeigen
Lamin B2 (LMNB2)

Reaktivität

  • 73
  • 52
  • 30
  • 10
  • 5
  • 5
  • 4
  • 4
  • 4
  • 2
  • 2
  • 2
  • 2
  • 2
  • 1
  • 1
  • 1
Human

Wirt

  • 69
  • 20
Kaninchen

Klonalität

  • 54
  • 35
Polyklonal

Konjugat

  • 49
  • 4
  • 3
  • 3
  • 3
  • 3
  • 3
  • 3
  • 3
  • 2
  • 1
  • 1
  • 1
  • 1
  • 1
  • 1
  • 1
  • 1
  • 1
  • 1
  • 1
  • 1
  • 1
Dieser Lamin B2 Antikörper ist unkonjugiert

Applikation

  • 68
  • 28
  • 24
  • 17
  • 16
  • 13
  • 13
  • 11
  • 10
  • 10
  • 8
  • 1
  • 1
  • 1
  • 1
Western Blotting (WB), Immunohistochemistry (IHC), Immunofluorescence (IF)
  • Bindungsspezifität

    • 15
    • 8
    • 6
    • 3
    • 2
    • 2
    • 2
    • 1
    • 1
    • 1
    • 1
    • 1
    • 1
    • 1
    • 1
    • 1
    AA 341-620

    Sequenz

    AMAGERDKFR KMLDAKEQEM TEMRDVMQQQ LAEYQELLDV KLALDMEINA YRKLLEGEEE RLKLSPSPSS RVTVSRATSS SSGSLSATGR LGRSKRKRLE VEEPLGSGPS VLGTGTGGSG GFHLAQQASA SGSVSIEEID LEGKFVQLKN NSDKDQSLGN WRIKRQVLEG EEIAYKFTPK YILRAGQMVT VWAAGAGVAH SPPSTLVWKG QSSWGTGESF RTVLVNADGE EVAMRTVKKS SVMRENENGE EEEEEAEFGE EDLFHQQGDP RTTSRGCYVM

    Kreuzreaktivität

    Human, Maus, Ratte

    Produktmerkmale

    Polyclonal Antibodies

    Immunogen

    Recombinant fusion protein containing a sequence corresponding to amino acids 341-620 of human Lamin B2 (NP_116126.3).

    Isotyp

    IgG
  • Applikationshinweise

    WB,1:500 - 1:2000,IHC,1:50 - 1:200,IF,1:50 - 1:100

    Kommentare

    HIGH QUALITY

    Beschränkungen

    Nur für Forschungszwecke einsetzbar
  • Format

    Liquid

    Buffer

    PBS with 0.02 % sodium azide,50 % glycerol, pH 7.3.

    Konservierungsmittel

    Sodium azide

    Vorsichtsmaßnahmen

    This product contains Sodium azide: a POISONOUS AND HAZARDOUS SUBSTANCE which should be handled by trained staff only.

    Lagerung

    -20 °C

    Informationen zur Lagerung

    Store at -20°C. Avoid freeze / thaw cycles.
  • Target

    Lamin B2 (LMNB2)

    Andere Bezeichnung

    LMNB2

    Hintergrund

    This gene encodes a B type nuclear lamin. The nuclear lamina consists of a two-dimensional matrix of proteins located next to the inner nuclear membrane. The lamin family of proteins make up the matrix and are highly conserved in evolution. During mitosis, the lamina matrix is reversibly disassembled as the lamin proteins are phosphorylated. Lamin proteins are thought to be involved in nuclear stability, chromatin structure and gene expression. Vertebrate lamins consist of two types, A and B. Mutations in this gene are associated with acquired partial lipodystrophy.,LMNB2,EPM9,LAMB2,LMN2,lamin-B2,Epigenetics & Nuclear Signaling,Signal Transduction,Cell Biology & Developmental Biology,Apoptosis,Cytoskeleton,Intermediate Filaments,LMNB2

    Molekulargewicht

    69 kDa

    Gen-ID

    84823

    UniProt

    Q03252

    Pathways

    Apoptose, Caspase Kaskade in der Apoptose
Sie sind hier:
Chat with us!