Telefon:
+49 (0)241 95 163 153
Fax:
+49 (0)241 95 163 155
E-Mail:
orders@antikoerper-online.de

Galectin 3 Antikörper (AA 1-250)

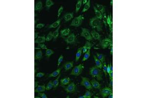
Dieser Kaninchen Polyklonal Antikörper detektiert spezifisch Galectin 3 in WB und IF. Es zeigt Reaktivität gegenüber Proben von Human.
Produktnummer ABIN6143158
385,00 €
Zzgl. Versandkosten 20,00 € und MwSt
Lieferung nach: Deutschland
Lieferung in 7 bis 9 Werktagen

Kurzübersicht für Galectin 3 Antikörper (AA 1-250) (ABIN6143158)

Target

Alle Galectin 3 (LGALS3) Antikörper anzeigen
Galectin 3 (LGALS3)

Reaktivität

  • 235
  • 125
  • 78
  • 6
  • 2
  • 2
  • 2
  • 1
  • 1
  • 1
  • 1
  • 1
Human

Wirt

  • 201
  • 65
  • 17
  • 3
  • 3
  • 1
Kaninchen

Klonalität

  • 155
  • 135
Polyklonal

Konjugat

  • 138
  • 29
  • 18
  • 10
  • 9
  • 8
  • 7
  • 7
  • 6
  • 6
  • 6
  • 6
  • 3
  • 3
  • 3
  • 3
  • 3
  • 3
  • 3
  • 3
  • 3
  • 3
  • 3
  • 3
  • 3
  • 1
Dieser Galectin 3 Antikörper ist unkonjugiert

Applikation

  • 231
  • 118
  • 85
  • 79
  • 52
  • 51
  • 32
  • 29
  • 28
  • 28
  • 14
  • 7
  • 5
  • 5
  • 5
  • 3
  • 2
  • 2
  • 1
  • 1
  • 1
  • 1
  • 1
  • 1
  • 1
  • 1
Western Blotting (WB), Immunofluorescence (IF)
  • Bindungsspezifität

    • 26
    • 17
    • 16
    • 16
    • 15
    • 9
    • 7
    • 7
    • 6
    • 6
    • 6
    • 5
    • 5
    • 4
    • 2
    • 2
    • 2
    • 2
    • 2
    • 2
    • 2
    • 2
    • 1
    • 1
    • 1
    • 1
    • 1
    • 1
    • 1
    • 1
    • 1
    • 1
    AA 1-250

    Sequenz

    MADNFSLHDA LSGSGNPNPQ GWPGAWGNQP AGAGGYPGAS YPGAYPGQAP PGAYPGQAPP GAYPGAPGAY PGAPAPGVYP GPPSGPGAYP SSGQPSATGA YPATGPYGAP AGPLIVPYNL PLPGGVVPRM LITILGTVKP NANRIALDFQ RGNDVAFHFN PRFNENNRRV IVCNTKLDNN WGREERQSVF PFESGKPFKI QVLVEPDHFK VAVNDAHLLQ YNHRVKKLNE ISKLGISGDI DLTSASYTMI

    Kreuzreaktivität

    Human, Maus, Ratte

    Produktmerkmale

    Polyclonal Antibodies

    Immunogen

    Recombinant fusion protein containing a sequence corresponding to amino acids 1-1-250 of human Galectin 3/Galectin 3/LGALS3 (NP_002297.2).

    Isotyp

    IgG
  • Applikationshinweise

    WB,1:500 - 1:2000,IF,1:50 - 1:200

    Beschränkungen

    Nur für Forschungszwecke einsetzbar
  • Format

    Liquid

    Buffer

    PBS with 0.02 % sodium azide,50 % glycerol, pH 7.3.

    Konservierungsmittel

    Sodium azide

    Vorsichtsmaßnahmen

    This product contains Sodium azide: a POISONOUS AND HAZARDOUS SUBSTANCE which should be handled by trained staff only.

    Lagerung

    -20 °C

    Informationen zur Lagerung

    Store at -20°C. Avoid freeze / thaw cycles.
  • Target

    Galectin 3 (LGALS3)

    Andere Bezeichnung

    LGALS3

    Substanzklasse

    Chemical

    Hintergrund

    This gene encodes a member of the galectin family of carbohydrate binding proteins. Members of this protein family have an affinity for beta-galactosides. The encoded protein is characterized by an N-terminal proline-rich tandem repeat domain and a single C-terminal carbohydrate recognition domain. This protein can self-associate through the N-terminal domain allowing it to bind to multivalent saccharide ligands. This protein localizes to the extracellular matrix, the cytoplasm and the nucleus. This protein plays a role in numerous cellular functions including apoptosis, innate immunity, cell adhesion and T-cell regulation. The protein exhibits antimicrobial activity against bacteria and fungi. Alternate splicing results in multiple transcript variants.,LGALS3,CBP35,GAL3,GALBP,GALIG,L31,LGALS2,MAC2,Epigenetics & Nuclear Signaling,RNA Binding,Cell Biology & Developmental Biology,Cell Cycle,Cell differentiation,Cell Adhesion,Neuroscience,LGALS3

    Molekulargewicht

    26 kDa

    Gen-ID

    3958

    UniProt

    P17931

    Pathways

    RTK Signalweg
Sie sind hier:
Chat with us!